Các mảng bám vôi răng là nguyên nhân chủ yếu dẫn đến bệnh viêm nướu răng. Bên cạnh đó còn có các nguyên nhân khác như thói quen răng miệng kém, hút thuốc lá, sự thay đổi nội tiết trong thai kỳ, suy yếu miễn dịch, tác dụng phụ của một số loại thuốc…
Các loại thuốc trị viêm nướu răng cần được sử dụng dưới sự chỉ định của Bác sĩ, dùng đúng loại, đúng liều, đúng cách để đảm bảo an toàn, hiệu quả. Không nên tự ý mua thuốc uống khi bị viêm nướu răng.
Nguyên nhân và triệu chứng của bệnh viêm nướu răng
Trước tiên, chúng ta cần tìm hiểu nguyên nhân gây viêm nướu răng, nhằm có cách phòng ngừa hiệu quả, tránh tái diễn sau khi sử dụng thuốc trị viêm nướu răng.
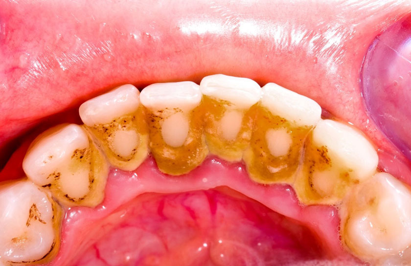
Vôi răng chính là nguyên nhân hàng đầu dẫn đến bệnh viêm nướu. Vôi răng hình thành do các mảng bám thức ăn phản ứng với các chất khoáng trong nước bọt dẫn đến vôi hóa, trở nên cứng và bám chặt vào chân răng răng, kẽ nướu.

Vôi răng là nguyên nhân chủ yếu gây viêm nướu răng
Bên cạnh đó thói quen vệ sinh răng miệng sai cách;
- Nghiện thuốc lá;
- Sự thay đổi nội tiết tố do thai kỳ hay sau mãn kinh;
- Sự suy giảm miễn dịch do các bệnh lý ung thư, tiểu đường…;
- Giảm tiết nước bọt do tác dụng phụ của một số thuốc kháng histamin, thuốc chống trầm cảm,…
cũng tạo môi trường thuận lợi cho vi khuẩn xâm nhập gây viêm nướu răng.
Nướu khỏe mạnh sẽ có màu hồng nhạt, đàn hồi. Khi bị viêm nướu răng, nướu sẽ bị kích ứng và xuất hiện các triệu chứng gồm:
- Nướu răng bị sưng đỏ, đau;
- Chảy máu chân răng khi có các tác động kích thích như đánh răng, ăn đồ cứng…;
- Hôi miệng, thiếu đàn hồi, có thể hình thành các ổ mủ bên dưới nướu và chảy mủ.
Viêm nướu răng kéo dài sẽ tiến triển thành viêm nha chu, gây tiêu xương hàm, tụt nướu, phá vỡ liên kết giữa các mô quanh chân răng, làm răng bị lung lay và mất răng.

Nướu bị sưng đỏ khi bị viêm
Xem thêm: Trị viêm nướu răng tại nhà hiệu quả bằng mẹo dân gian
Cách dùng thuốc trị viêm nướu răng an toàn, hiệu quả
Thuốc trị viêm nướu răng giúp loại bỏ vi khuẩn, điều trị các triệu chứng viêm nướu. Các loại thuốc trị viêm nướu răng bao gồm:
- Thuốc giảm đau: giúp người bị viêm nướu răng cảm thấy dễ chịu hơn, giảm đau, ăn uống, vệ sinh răng miệng dễ dàng hơn. Các loại thuốc giảm đau thường dùng như paracetamol, Ibuprofen.

Paracetamol là loại thuốc giảm đau được sử dụng phổ biến
- Thuốc chống viêm Corticosteroid: kháng viêm, cải thiện tình trạng nướu răng bị sưng, đau nhức… Thuốc kháng viêm phổ biến có thể kể đến như prednisolon và dexamethason. Lưu ý: chỉ sử dụng trong thời gian ngắn, thận trọng với trẻ sơ sinh và trẻ nhỏ, sử dụng dưới sự chỉ định của Bác sĩ.
- Thuốc kháng sinh: Nhóm thuốc trị viêm nướu răng có thể bao gồm kháng sinh nếu tình trạng viêm nướu nghiêm trọng, không đáp ứng các loại thuốc điều trị khác.
- Các loại chất sát trùng như nước súc miệng chứa các thành phần chlorhexidine, chlorine dioxide…: hỗ trợ làm sạch khoang miệng, giảm vi khuẩn, tăng hiệu quả điều trị.
- Thuốc bôi hỗ trợ: một số loại gel bôi tê, tinh dầu… bôi vào vị trí nướu răng bị sưng có tác dụng giảm sưng đau, sát khuẩn.
Các loại thuốc trị viêm nướu răng đều có những lưu ý, thận trọng khi sử dụng trên một số đối tượng như trẻ em, bệnh nhân suy giảm miễn dịch, bệnh nhân bị viêm loét dạ dày, suy thận…
Do đó, để đảm bảo an toàn, hiệu quả khi dùng thuốc, bạn cần liên hệ thăm khám với nha sĩ giỏi để được kê đúng đơn, đúng liều lượng và sử dụng theo đơn, không nên tự ý mua thuốc uống nếu không có chỉ định của Bác sĩ.

Cần sử dụng thuốc trị viêm nướu răng dưới sự chỉ định của Bác sĩ
Điều trị viêm nướu răng tại phòng khám nha khoa
Cách tốt nhất để chữa viêm nướu răng chính là thăm khám và điều trị tại phòng khám nha khoa uy tín. Tại nha khoa, Bác sĩ sẽ kiểm tra và cho bệnh nhân làm các chẩn đoán cần thiết để xác định chính xác nguyên nhân và tình trạng viêm nướu, từ đó đưa ra phác đồ điều trị thích hợp.

Bác sĩ tư vấn điều trị viêm nướu răng tại nha khoa
Ở mức độ viêm nướu nhẹ, Bác sĩ sẽ tiến hành vệ sinh răng miệng, cạo vôi răng để loại bỏ ổ vi khuẩn, giảm sưng đau nướu, cho nướu răng chắc khỏe, hồng hào.
Mức độ nặng hơn, bên cạnh cạo vôi răng, Bác sĩ sẽ cân nhắc một số loại thuốc trị viêm nướu răng phù hợp với sức khỏe, độ tuổi, tình trạng của bệnh nhân.
Ngoài việc sử dụng thuốc trị viêm nướu răng, bệnh nhân cần xây dựng thói quen vệ sinh răng miệng đúng cách, hạn chế thuốc lá, sử dụng thực phẩm tốt cho răng miệng.
Khám răng định kỳ tại phòng khám răng gần nhất … để giúp phòng ngừa hiệu quả bệnh viêm nướu răng cũng như các bệnh lý răng miệng khác.




