Phương pháp niềng răng mắc cài
Niềng răng mắc cài là phương pháp chỉnh nha sử dụng lực tạo ra từ mắc cài, dây cung để nắn chỉnh răng về vị trí chuẩn của nó. Niềng răng mắc cài có nhiều loại, mỗi loại đều có những ưu nhược điểm riêng biệt. Cho nên, bạn cần tìm hiểu rõ từng loại để lựa chọn được loại phù hợp với mình.
Niềng răng mắc cài kim loại
Ưu điểm:
Mắc cài kim loại cho hiệu quả chỉnh nha cao, ổn định, dài lâu, đảm bảo tính thẩm mỹ và chức năng ăn nhai của răng sau khi niềng xong. Loại mắc cài này thường có giá rẻ nhất trong tất cả các loại, ngoài ra còn sử dụng dây thun nhiều màu sắc để cố định dây cung trong mắc cài nên khiến trẻ em thích thú.
Nhược điểm:
Niềng răng mắc cài kim loại không đảm bảo tính thẩm mỹ khi đeo niềng vì mắc cài dễ bị lộ, có thể gây kích ứng răng miệng với một số Bệnh nhân bị dị ứng với kim loại.

Niềng răng mắc cài kim loại
Niềng răng mắc cài sứ
Ưu điểm:
Loại niềng răng này được làm từ sứ nha khoa chuyên dụng nên có màu sắc trắng ngà gần giống với màu răng thật, đảm bảo tính thẩm mỹ khi đeo niềng.
Hơn nữa, chất liệu sứ an toàn với răng miệng, không gây kích ứng. Với sự phát triển của nha khoa hiện đại thì niềng răng mắc cài sứ ngày càng được cải tiến và có độ bền cao, khó bị vỡ.
Nhược điểm:
Mắc cài sứ có giá đắt hơn mắc cài kim loại thông thường, kích cỡ mắc cài cũng lớn hơn do đặc trưng về chất liệu. Ngoài ra, mắc cài có thể bị xỉn màu gây ảnh hưởng đến toàn răng nếu không được vệ sinh răng miệng cẩn thận.

Niềng răng mắc cài sứ
Niềng răng mắc cài tự khóa
Ưu điểm:
Mắc cài tự khóa không cần sử dụng thun buộc bởi mắc cài có một hệ thống nắp trượt hoặc cánh kim loại để đậy và giữ dây trong mắc cài, làm giảm lực ma sát, giúp Bác sĩ điều chỉnh và kiểm soát lực cố định hàm tốt hơn, sử dụng lực nhẹ hơn, dây ít bị biến dạng. Hơn nữa, thời gian điều trị bằng loại niềng răng này cũng rất nhanh chóng.
Nhược điểm:
Độ dày của mắc cài lớn gây khó chịu cho người sử dụng, chi phí cao hơn khá nhiều so với các loại mắc cài truyền thống, đòi hỏi sự tinh vi khi thiết kế và sản xuất, hơn nữa Bác sĩ phải có trình độ chuyên môn cao, giàu kinh nghiệm mới có thể thực hiện được.
Phương pháp niềng răng không mắc cài Invisalign
Niềng răng không mắc cài Invisalign hiện đang là phương pháp niềng răng thẩm mỹ được nhiều người ưa chuộng.
Phương pháp này sử dụng những khay cài trong suốt, gần như vô hình để nắn chỉnh lại các răng mọc lệch lạc, răng hô, móm,… về đúng vị trí, chuẩn khớp cắn, bảo đảm chức năng ăn nhai tốt mà không cần sử dụng mắc cài hay dây kim loại thông thường.
Ưu điểm:
- Mang lại tính thẩm mỹ cao ngay cả khi đang niềng răng bởi các khay niềng trong suốt gần như vô hình, có màu tương đồng với màu sắc của răng tự nhiên. Do đó, bạn có thể hoàn toàn tự tin và không cần phải lo sợ người khác biết mình đang niềng răng.
- Khắc phục được hầu hết những khiếm khuyết của răng như: răng hô, móm, vẩu, mọc lệch lạc,… mang lại một hàm răng đều, đẹp, chuẩn khớp cắn.
- Bảo đảm an toàn cho răng miệng bởi các khay niềng được chế tạo bằng nhựa nha khoa chuyên dụng, rất lành tính, không gây nên tình trạng kích ứng nướu.
- Phương pháp này còn tạo nên sự thoải mái, không hề có cảm giác vướng víu khi đeo niềng, đồng thời có thể tự do ăn uống nhờ các khay niềng được thiết kế ôm sát và khít vào mặt răng.
- Có thể tháo lắp một cách dễ dàng, giúp bạn vệ sinh răng miệng sạch sẽ, hạn chế được các bệnh lý về răng miệng.
- Hơn nữa, các khay niềng được bảo quản một cách tối ưu do được chế tác từ nhựa nha khoa rất tốt, không xảy ra tình trạng gãy vỡ, hư hỏng như các loại mắc cài khác.

Niềng răng không mắc cài Invisalign
Nhược điểm:
Đối với những trường hợp khiếm khuyết nặng thì niềng răng không mắc cài Invisalign khó có thể mang lại hiệu quả như mong muốn. Hơn nữa, chi phí cao hơn các loại niềng răng khác.
Tham khảo: Cách chăm sóc răng miệng khi mới đeo niềng răng
Cách lựa chọn phương pháp niềng răng phù hợp?
Qua những thông tin trên, bạn đã thấy được mỗi phương pháp niềng răng sẽ có thế mạnh và hạn chế riêng.
Tuy nhiên, bạn cũng có thể căn cứ vào một số vấn đề cơ bản dưới đây để quyết định nên lựa chọn giải pháp chỉnh nha nào:
- Tình trạng răng của bạn ở mức độ nào: Nếu hàm răng của bạn lệch lạc, khấp khểnh nhiều thì nên lựa chọn phương pháp niềng răng mắc cài thay vì niềng răng bằng khay niềng Invisalign.
- Có mong muốn về thẩm mỹ khi đeo niềng: Nếu bạn muốn trong thời gian đeo niềng mà vẫn đảm bảo tình thẩm mỹ thì nên lựa chọn phương pháp niềng răng mắc cài, niềng răng không mắc cài.
- Căn cứ vào tình trạng kinh tế của bản thân: Nếu thu nhập của bạn ở mức trung bình thì có thể lựa chọn niềng răng mắc cài kim loại, còn nếu điều kiện kinh tế khá hơn thì có thể lựa chọn các phương pháp niềng răng khác.


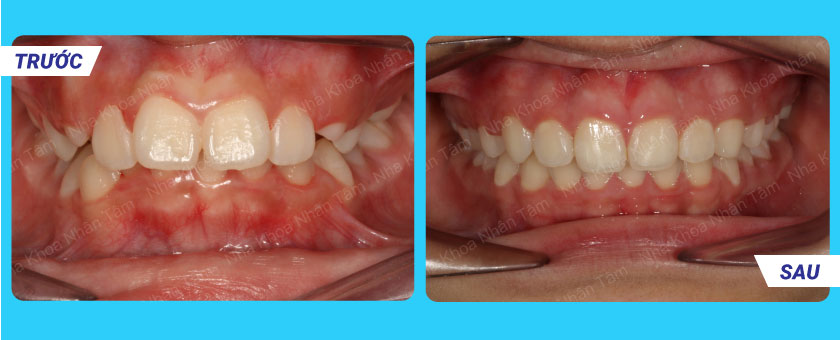
Khách hàng niềng răng tại Nha khoa Nhân Tâm
Để biết chính xác mình phù hợp với phương pháp niềng răng nào, tốt nhất là bạn nên tìm đến địa chỉ nha khoa gần đây uy tín để các Nha sĩ thăm khám và tư vấn phương pháp phù hợp với nhất với tình trạng răng miệng cũng như điều kiện kinh tế của bạn. Bạn có thể ghé qua Nha khoa Nhân Tâm để được các Bác sĩ giỏi, trình độ chuyên sâu và có nhiều kinh nghiệm khám và tư vấn miễn phí.



