Bọc răng sứ bị hỏng có thể xảy ra do quá trình chăm sóc, vệ sinh răng không đúng cách, kỹ thuật bọc sứ không chuẩn hoặc do chất lượng sứ không tốt. Lúc này, bạn cần tới nha khoa để bác sĩ thăm khám, đánh giá và đưa ra biện pháp xử lý phù hợp. Thông thường, thay răng sứ mới là biện pháp sẽ được chỉ định.
Bọc răng sứ bị hỏng nguyên nhân do đâu?
Mặc dù răng sứ có độ bền chắc cao, tuổi thọ lâu dài nhưng vẫn có những lý do khiến cho răng bọc sứ bị hư hại trong quá trình sử dụng như:
Cách vệ sinh chăm sóc răng miệng
Độ cứng chắc của răng sứ ở mức cao nhưng tính đàn hồi lại không bằng, do vậy nếu người sử dụng thường xuyên ăn thực phẩm dai, cứng thì sẽ có nguy cơ khiến răng sứ bị sứt mẻ, giảm tuổi thọ răng.
Đặc biệt nếu việc vệ sinh, chăm sóc răng hàng ngày không được chú trọng thì sẽ khiến răng bị mài mòn, dẫn đến hư hỏng răng sứ.
Kỹ thuật bọc sứ
Bọc răng sứ bị hỏng còn có thể là do tay nghề của bác sĩ không tốt, có sai sót trong quá trình điều trị khiến mão răng sứ không sát khít với cùi răng, tạo ra khe hở, ảnh hưởng rất lớn đến độ bền chắc và tính thẩm mỹ của răng.
Chất lượng răng sứ
Trường hợp khách hàng lựa chọn nhầm nha khoa kém uy tín, sử dụng răng sứ không có nguồn gốc rõ ràng, kém chất lượng thì sau một thời gian sử dụng, việc hư hỏng răng sứ là điều rất khó tránh khỏi.
Bọc răng sứ bị hỏng có thay được không?

Bọc răng sứ bị hỏng có thay được không?
Với kỹ thuật nha khoa tiên tiến hiện nay thì tình trạng hư hỏng răng sứ hoàn toàn có thể khắc phục được. Sau khi thăm khám, đánh giá tình trạng răng, mức độ hư hỏng, bác sĩ sẽ đưa ra phương án xử lý phù hợp.
Tuy nhiên thực tế thì trong phần lớn các trường hợp, khách hàng cần phải thực hiện thay mới răng sứ. Biện pháp này sẽ giúp giải quyết triệt để những vấn đề mà răng bọc sứ cũ của bạn đang mắc phải.
Lời khuyên mà các bác sĩ đưa ra cho bạn là nên chọn lựa các sản phẩm răng sứ chất lượng cao, có nguồn gốc rõ ràng cùng thẻ bảo hành chính hãng tại những trung tâm nha khoa tốt, uy tín, được nhiều khách hàng đánh giá cao.
Cần thay mới răng sứ trong trường hợp nào?
Nếu bạn bọc răng sứ bị hỏng và dẫn đến những vấn đề sau đây thì biện pháp tối ưu nhất chính là thay răng sứ mới.
- Sứt mẻ răng: Tình trạng này có dấu hiệu là xuất hiện các vết nứt hay sứt mẻ trên bề mặt mão sứ. Lúc đầu chúng có thể chỉ là các vết nứt nhỏ nhưng nếu không có biện pháp khắc phục sớm thì sẽ khiến vết nứt lớn và ảnh hưởng tiêu cực tới răng thật bên trong.
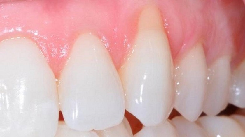
- Tụt lợi sau khi bọc sứ: Tụt lượi hay hở nướu là tình trạng tương đối phổ biến. Khi bị tụt lợi, giữa răng và nướu sẽ xuất hiện một kẽ hở, nặng nề hơn còn có thể lộ ra cả cùi răng thật phía trong.

Hiện tượng tụt lợi khi bọc răng sứ bị hỏng
- Viêm nhiễm tại vị trí bọc sứ: Nếu khu vực răng bọc sứ của bạn có dấu hiệu viêm, đau nhức thì bạn cần tới nha khoa để thăm khám trong thời gian sớm nhất. Hiện tượng này có thể xuất phát từ việc chế tác mão sứ không chuẩn hoặc kỹ thuật gắn không chính xác. Hay cũng có thể do không điều trị triệt để bệnh viêm tủy trước khi bọc.
- Đen viền nướu: Khách hàng sử dụng răng sứ kim loại sẽ khó tránh khỏi hiện tượng đen viền nướu sau một thời gian. Hiện tượng này tuy không ảnh hưởng đến sức khỏe nhưng lại làm giảm đi tính thẩm mỹ. Khi đó, bạn nên tới nha khoa để bọc lại răng sứ mới.
Có thể bạn quan tâm: Giá bọc răng sứ Titan bao nhiêu là phù hợp?
Như vậy, các thông tin về bọc răng sứ bị hỏng đã được đề cập chi tiết trong bài viết phía trên. Mong rằng những thông tin này sẽ hữu ích đối với bạn. Hãy liên hệ với Nha khoa Nhân Tâm nếu bạn còn vấn đề gì cần được giải đáp nhé.



