Bệnh nha chu
Bệnh nha chu là tình trạng viêm nhiễm của tổ chức quanh răng, ảnh hưởng đến cấu trúc nâng đỡ răng, khiến răng mất liên kết với tổ chức nâng đỡ này. Bệnh nha chu ban đầu chỉ ảnh hưởng đến phần mô mềm – nướu răng Viêm nướu) – sau có thể phát triển ảnh hưởng đến cả xương ổ răng (Viêm nha chu) có vai trò quan trọng trong việc giữ răng.
Bệnh nha chu gây ra bởi nguyên nhân chính là các mảng bám răng. Mảng bám răng là những màng sinh học cứng chắc có chứa các vi khuẩn có hại, hình thành trong miệng của bất cứ cá nhân nào. Nếu các mảng bám không được loại bỏ, có thể dẫn đến nướu tụt ra khỏi răng, hình thành nên những túi nha chu có mủ. Nếu không được phát hiện và điều trị kịp thời, bệnh nha chu sẽ tiến triển nghiêm trọng hơn và phá hủy toàn bộ tổ chức nâng đỡ cho răng, thậm chí là ảnh hướng đến tận xương ổ răng.
Bệnh nha chu là gì?
Tiến sĩ. Bác sĩ Võ Văn Nhân cho biết, nha chu là căn bệnh xảy ra ở các tổ chức xung quanh răng như viêm nhiễm mãn tính ở mô nướu và mô nâng đỡ của răng. Bệnh diễn biến qua 2 giai đoạn, viêm nướu và viêm nha chu:
Trong đó, viêm nướu là giai đoạn đầu tiên của viêm nha chu, nếu được phát hiện và điều trị kịp thời, bệnh có thể được chữa khỏi, việc điều trị cũng không quá khó khăn và tốn kém.
Còn khi bệnh viêm nướu tiến triển thành viêm nha chu thì lúc này mô liên kết giữa nướu và răng bị phá hủy, xuất hiện túi mủ trên nướu, vi khuẩn có hại tiếp tục tấn công khiến nướu dễ bị hoại tử, nguy cơ cao dẫn đến mất răng.

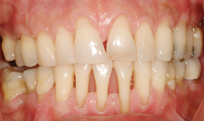
Bệnh viêm nha chu.
Xem thêm: Viêm nướu và những tác hại nghiêm trọng
Bệnh nha chu có nguy hiểm không?
Bác sĩ Nhân chia sẻ, tất cả các bệnh về răng miệng đều tiềm ẩn nhiều nguy hiểm, đặc biệt là bệnh nha chu. Nếu không được điều trị sớm, bệnh sẽ ảnh hưởng đến sức khỏe người bệnh, có nguy cơ mất một hay nhiều răng, làm ảnh hưởng đến khả năng ăn nhai cũng như thẩm mỹ của hàm răng.
Khi đang ở giai đoạn đầu, nếu chỉ là viêm nướu thì việc điều trị khá dễ dàng, nhưng khi chuyển sang viêm nha chu nặng thì có thể phải tiến hành phẫu thuật, làm việc điều trị khó khăn hơn, đôi khi kết quả sẽ không được như mong muốn.
Không những vậy, ở giai đoạn viêm nha chu, nếu không điều trị thì bệnh sẽ có những biến chứng nguy hiểm, ảnh hưởng trực tiếp đến sức khỏe và tính mạng của Bệnh nhân như: mất răng, tiêu xương, nhiễm trùng máu, tiểu đường, bệnh tim mạch, đột quỵ, các bệnh về hô hấp, phụ nữ đang mang thai có khả năng sinh con non và nhẹ cân…
Để phòng ngừa bệnh nha chu, mọi người nên chải răng đều đặn 2 - 3 lần mỗi ngày, đặc biệt là sau bữa ăn để loại bỏ mảng bám. Sử dụng chỉ tơ nha khoa để làm sạch các mặt bên của răng. Ăn uống cân bằng, đủ chất, tránh các thức ăn ngọt. Khám răng định kỳ 4-6 tháng tại các trung tâm nha khoa uy tín để kiểm tra sức khỏe răng miệng và cạo vôi răng nếu cần thiết. Việc cạo vôi răng sẽ giúp loại bỏ mảng bám và phòng ngừa được bệnh nha chu, giúp bạn có hàm răng sáng bóng, đẹp, tự tin trong giao tiếp.

Điều trị bệnh nha chu hiệu quả tại Nha khoa Nhân Tâm.
Với những Bệnh nhân đang bị bệnh nha chu thì hãy nhanh chóng đến với Trung tâm Nha khoa Nhân Tâm ở số 807 đường 3/2, Phường 7, Quận 10, TP. HCM để được thăm khám và điều trị bệnh hiệu quả. Với hơn 20 năm hoạt động, Nha khoa Nhân Tâm đã mang lại nụ cười tự tin cho hàng chục ngàn Khách hàng cả trong và ngoài nước. Sở dĩ nha khoa luôn nhận được tự yêu mến và tin tưởng của quý Bệnh nhân và Khách hàng là vì:
- Đội ngũ Bác sĩ giỏi chuyên môn, giàu kinh nghiệm, từng có thời gian tu nghiệp tại nước ngoài.
- Máy móc, trang thiết bị hiện đại, được nhập khẩu trực tiếp từ các nước châu Âu.
- Công nghệ chăm sóc nha chu tiên tiến, được chuyển giao cho Nha khoa Nhân Tâm thông qua những kiểm định nghiêm ngặt về chất lượng.
- Chế độ chăm sóc tốt, có xe đưa đón tận nơi, hơn nữa còn bảo hành cho khách hàng sau điều trị.
Hy vọng với những thông tin chúng tôi vừa cung cấp trên thì quý bạn đọc đã biết được mức độ nguy hiểm của bệnh nha chu và sớm đi điều trị bệnh để tránh các biến chứng nguy hiểm.



