Bác sĩ Việt thực hiện thành công dời dây thần kinh trồng răng implant
Kỹ thuật dời dây thần kinh để trồng răng Implant chỉ được thực hiện ở một số nước có nền y tế phát triển. Hiện nay, Tiến sĩ. Bác sĩ nha khoa Võ Văn Nhân - Giám đốc trung tâm nha khoa Nhân Tâm đã thực hiện thành công kỹ thuật này.
Giữa năm 2013, Bác sĩ nha khoa Võ Văn Nhân đã phẫu thuật dời dây thần kinh để trồng lại răng implant(*) cho một bệnh nhân nam 59 tuổi bị đạn bắn vỡ xương hàm dưới bên trái vào 40 năm trước, mất toàn bộ răng và phải đeo hàm răng giả tháo lắp trong từng ấy năm. Nhiều năm trôi qua, hàm răng giả ngày càng lỏng lẻo và di động trong miệng nên gặp khó khăn trong việc ăn nhai và sinh hoạt hằng ngày.


Hình chụp trong miệng và phim X-quang trình trạng của bệnh nhân trước khi điều trị
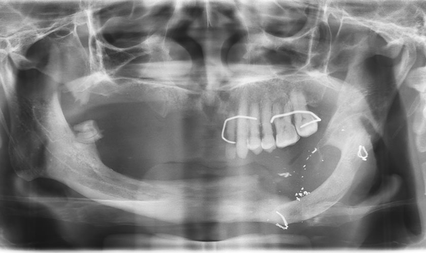
Trường hợp của bệnh nhân, qua khảo sát phim X-quang cắt lớp và sử dụng phần mềm để tái lập lại cấu trúc 3 chiều của xương hàm cho thấy: có sự tiêu xương hàm dưới trầm trọng, thần kinh răng dưới có lộ trình bất thường kéo dài từ bên phải băng qua đường giữa và sang bên trái.
Thậm chí thần kinh lộ trên sống hàm ở một vài vị trí nên không thể cấy implant theo kỹ thuật thông thường. Chiều cao xương từ đỉnh sống hàm đến thần kinh răng dưới chỉ còn 1 - 2 mm không đủ để cấy implant có chiều dài thích hợp (10 mm) và an toàn (nguyên tắc là implant phải cách thần kinh 2 mm).
Trường hợp này nếu đặt implant thì sẽ làm đứt dây thần kinh, còn các phương pháp cải thiện chiều cao xương như ghép xương theo chiều dọc, kéo giãn xương, dùng implant ngắn hay đặt implant ở vùng cằm đều được tính toán nhưng không thể thực hiện được, đồng nghĩa với việc bệnh nhân sẽ không có răng trong suốt quãng đời còn lại.

Hình chụp Xquang Panorex của bệnh nhân
Theo bác sĩ Nhân, một trong những vấn đề thường gặp ở bệnh nhân bị tiêu xương hàm trầm trọng có chỉ định đặt implant là thiếu thể tích xương, đặc biệt trong vùng giải phẫu liên quan đến thần kinh răng dưới.
Bệnh nhân trên là một trường hợp cụ thể. Và, để giải quyết việc trồng lại răng, một giải pháp khả thi là phẫu thuật dời dây thần kinh để cấy implant(*) và thực hiện hàm răng trên implant.
Trải qua nhiều cuộc phẫu thuật, bệnh nhân đã phục hồi hoàn toàn chức năng nhai và thẩm mỹ của gương mặt.
(*) Quá trình phẫu thuật của trường hợp phức tạp này được TS.BS Võ Văn Nhân tiến hành tại bệnh viện
Trường hợp này đã được bác sĩ Võ Văn Nhân báo cáo tại Hội nghị cấy ghép nha khoa do Hội Cấy ghép nha khoa TP.HCM tổ chức vào ngày 10/11/2013 và tại Hội nghị Quốc tế Rhein’83 tại Barcelona, Tây Ban Nha diễn ra vào tháng 06/2018.

Ts.Bs Võ Văn Nhân báo cáo tại Hội nghị quốc tế Rhein’83 tại Barcelona, Tây Ban Nha
Thành công nối tiếp thành công, một lần nữa, công trình nghiên cứu với đề tài: “Phẫu thuật dời thần kinh ổ răng dưới và cấy ghép implant nha khoa: Báo cáo ca lâm sàng 7 năm theo dõi” đã được công bố chính thức trên tạp chí Journal of Oral and Maxillofacial Surgery - A New Technique in Alveolar Cleft Bone Grafting for Dental Implant Placement in Patients With Cleft Lip and Palate - https://pubmed.ncbi.nlm.nih.gov/29351041/ vào cuối tháng 12/2020 xếp loại Q2 thuộc hệ thống ISI – Viện thông tin khoa học Hoa Kỳ và cơ sở dữ liệu Scopus – Một tạp chí danh giá chính thức của Hội các nhà phẫu thuật Miệng Hàm Mặt Mỹ (AAOMS) và Hội các nhà phẫu thuật Miệng Hàm Mặt Canada (CAOMS).

Công trình nghiên cứu của BS Nhân trên tạp chí quốc tế
Công trình nghiên cứu mô tả trường hợp lâm sàng trên với kỹ thuật dời thần kinh ổ răng dưới, kết hợp ghép xương mào chậu tăng chiều cao xương, đặt 4 implant và phục hình toàn hàm nâng đỡ trên implant có tình trạng hàm dưới tiêu xương ở mức độ trầm trọng. Với kỹ thuật ghép nướu sừng hóa, tăng độ sâu ngách hang lang cũng được phối hợp nhằm cải thiện tình trạng mô quanh implant và mô liên kết vùng sóng hàm lỏng lẻo.
- Kết quả: có tình trạng xương tốt ở cả 4 implant, phục hình vững ổn và thực hiện chức năng tốt; không có biến chứng, dị cảm môi hồi phục hoàn toàn sau 4 tháng, bệnh nhân vận động bình thường sau 4 tuần phẫu thuật lấy xương mào chậu.
Xem thêm: Công trình nghiên cứu cấy Implant Việt Nam công bố quốc tế

Giải pháp điều trị cho bệnh nhân
Dời thần kinh để cấy ghép implant là một trong những kỹ thuật phức tạp trong Implant nha khoa.
Việc thực hiện thành công kỹ thuật này đã mang lại niềm hy vọng cho những bệnh nhân bị mất răng, đặc biệt là trong những trường hợp phức tạp mà kỹ thuật trồng răng cổ điển không thực hiện được. Đây cũng có thể xem là một bước phát triển mới của ngành implant nha khoa Việt Nam.
Thế mạnh lớn nhất của kỹ thuật dời thần kinh là áp dụng trong những trường hợp phức tạp mà các giải pháp ghép xương và cấy ghép implant thông thường không thể thực hiện được.
Kỹ thật này được xem như là giải pháp “cứu cánh sau cùng” cho những bệnh nhân mất răng và bị tiêu xương trầm trọng để có được hàm răng thẩm mỹ và chức năng.
Bên cạnh đó, kỹ thuật này còn có ưu điểm hạn chế bị chấn thương vĩnh viễn thần kinh do những nỗ lực đặt implant khi chiều cao xương không cho phép. Do vậy kỹ thuật này có tính ứng dụng cao phù hợp với tình trạng mất răng và đeo hàm giả lâu năm ở bệnh nhân Việt Nam.
Ngoài kỹ thuật này cũng có những nhược điểm như tê môi, thường là tạm thời (6 tháng đến 1 năm) nhưng cũng có một số ít trường hợp là vĩnh viễn, phụ thuộc vào phương tiện sử dụng và kỹ năng của bác sĩ. Do vậy, kỹ thuật này chỉ được thực hiện với những bác sĩ có nhiều kinh nghiệm và kỹ năng tốt.

Ts.Bs Võ Văn Nhân thực hiện thành công kỹ thuật dời thần kinh để cấy ghép răng implant
Năm 2016,Ts.Bs Võ Văn Nhân một lần nữa tạo ra bước đột phá mới trong ngành Implant nha khoa tại Việt Nam khi thực hiện song hành 2 kỹ thuật khó trong implant: dời thần kinh ổ răng dưới(*) và cấy ghép implant xương gò má(*) trên cùng 1 bệnh nhân bị mắc hội chứng loạn sản ngoại bì, thiếu răng bẩm sinh.
Công trình này được toàn thế giới thán phục và từ đó tới nay vẫn được cho là công trình y khoa có giá trị bậc nhất trong ngành nha khoa quốc tế.
Theo PGS-TS Lê Văn Sơn - Trưởng khoa Phẫu thuật và Tạo hình hàm mặt Bệnh viện Răng Hàm Mặt TW Hà Nội, ngành implant nha khoa tại Việt Nam mới phát triển trong khoảng 10 năm trở lại đây và cũng đã có những bước tiến bộ nhất định, tuy nhiên chưa để lại dấu ấn gì đáng kể.
Ca phẫu thuật dời thần kinh răng dưới và cấy ghép implant do bác sĩ Nhân thực hiện là một tín hiệu đáng mừng cho ngành cấy ghép implant nha khoa Việt Nam.
“Bác sĩ Nhân đã thực hiện thành công ca phẫu thuật phối hợp cùng lúc 4 kỹ thuật chuyên sâu bao gồm: dời thần kinh răng dưới (*), ghép xương mào chậu theo chiều dọc(*), ghép nướu sừng hóa toàn hàm dưới(*) và phục hình răng implant(*).
Đây là ca phẫu thuật mang tính đột phá bởi bệnh nhân đã được tái tạo cả về xương, về mô mềm và đặc biệt là phục hồi lại chức năng nhai gần như bình thường”, PGS-TS Lê Văn Sơn nói.
(*) Các thủ thuật/phẫu thuật phức tạp sẽ được chuyển qua bệnh viện để thực hiện
Ts.Bs Võ Văn Nhân - Bác sĩ Việt Nam ứng dụng thành công công nghệ định vị cấy ghép Implant
Bên cạnh việc đầu tư vào chuyên môn, Ts.Bs Võ Văn Nhân - Giám đốc Nha khoa Nhân Tâm còn chủ trương ứng dụng công nghệ nha khoa 4.0 trong điều trị nhằm mang lại những kết quả tốt nhất cho khách hàng.
Bắt kịp xu thế phát triển của nha khoa thời đại công nghệ 4.0, sau hơn 2 năm tìm hiểu và trải qua nhiều thủ tục pháp lý, đến nay, Nha khoa Nhân Tâm đã đầu tư và áp dụng thành công Công nghệ định vị vào trong cấy ghép răng Implant cho bệnh nhân.
Ngày 19/06/2020, lúc 9h00 tại Trung tâm Nha khoa Nhân Tâm đã diễn ra buổi lễ chuyển giao công nghệ Công nghệ định vị cấy ghép răng Implant giữa Trung tâm Nha khoa Nhân Tâm, Tập đoàn Envista và Công ty Medent, dưới sự tham dự của đại diện và lãnh đạo các ban ngành Y tế và Răng Hàm Mặt.
“Mặc dù cấy ghép răng Implant được xem là giải pháp lý tưởng cho các trường hợp bị mất răng, mang lại những ưu điểm vượt trội hơn so với những phương pháp cổ điển như hàm giả tháo lắp và lắp cầu răng sứ.
Tuy nhiên, cấy ghép răng implant đi kèm với một số thách thức vì Implant phải được cấy ghép chính xác để tránh va chạm vào các cấu trúc giải phẫu quan trọng như: dây thần kinh, xoang hàm, mạch máu,…
Trước đây, để hỗ trợ đặt implant chính xác, đặc biệt là trong những trường hợp phức tạp, máng hướng dẫn phẫu thuật cấy ghép implant là công cụ được các Bác sĩ tin dùng.
Công cụ này có tác dụng giúp Bác sĩ xác định đúng vị trí và hướng cấy ghép implant theo như kế hoạch đã đưa ra. Tuy nhiên, nhận thấy việc chế tạo máng hướng dẫn mất nhiều thời gian, đặc biệt đối với bệnh nhân mất răng toàn hàm.
Vì vậy, tôi đã tìm tòi và phát hiện ra những tính năng ưu việt của công nghệ định vị: giúp cấy ghép răng Implant một cách chính xác, an toàn và vô cùng nhanh chóng. Chính vì thế, tôi đã quyết định đầu tư và ứng dụng công nghệ này vào điều trị cho bệnh nhân” – Ts.Bs Võ Văn Nhân cho biết.
Hệ thống Công nghệ định vị được chứng nhận bởi Cục quản lý Thực phẩm và Dược phẩm Hoa Kỳ (FDA) vào tháng 10/2015 với nhiều lợi ích vượt trội so với kỹ thuật cấy ghép không có công nghệ hỗ trợ:
- An toàn tuyệt đối
- Cấy ghép chính xác gấp 11 lần
- Không đau, không biến chứng
- Có răng chỉ sau 1 giờ
- Phục hình đẹp, bền chắc
- Áp dụng đa dạng trụ Implant
- Áp dụng cho những trường hợp phức tạp

Ts.Bs Võ Văn Nhân ứng dụng công nghệ định vị cấy ghép implant trong điều trị
Mrs. Katie Lank – Giám đốc sản phẩm X-Guide toàn cầu thuộc hệ thống Nobel Biocare có trụ sở chính tại Zurich - Thụy Sĩ chia sẻ trong buổi lễ chuyển giao công nghệ:
“Hôm nay, chúng ta cùng chúc mừng Nha khoa Nhân Tâm đã sở hữu hệ thống X-Guide. X-Guide là công nghệ hướng dẫn động 3 chiều, đem lại rất nhiều lợi ích như khi sử dụng máng hướng dẫn phẫu thuật như sự định hướng chính xác an toàn cho bệnh nhân mà không cần có máng phẫu thuật, vì vậy tăng cao sự linh động trong phẫu thuật.
Cũng tương tự như hệ thống định vị GPS trên xe ô tô, X-Guide cung cấp hướng dẫn từng bước theo thời gian thực của dụng cụ phẫu thuật, sẽ cho phép phẫu thuật viên biết được chính xác vị trí của mũi khoam ở đâu trong miệng của bệnh nhân, và vì vậy có thể đặt implant chính xác như kế hoạch điều trị.
Hơn nữa, bệnh nhân sẽ đạt được những lợi ích từ các kỹ thuật xâm lấn tối thiểu được sử dụng với X-Guide. Ngoài ra, hệ thống còn cho phép scan, lên kế hoạch và trải qua phẫu thuật trong cùng một ngày, do đó giảm số lượng cuộc hẹn cần thiết.
Một lần nữa, tôi xin chúc mừng Ts.Bs Võ Văn Nhân và phòng khám Nha khoa Nhân Tâm…”.
Không chỉ là một vị Bác sĩ giỏi được các chuyên gia quốc tế đánh giá cao về mặt chuyên môn, Ts.Bs Võ Văn Nhân còn là một người ham học hỏi, sẵn sàng tìm tòi, nghiên cứu và cập nhật những trang thiết bị hiện tại, công nghệ nha khoa kỹ thuật số tiên tiến nhất trên thế giới mang về Việt Nam điều trị cho bệnh nhân.
*Chụp phim X-Quang hoặc phim 3 chiều CT Cone Beam là một bước quan trọng trong quy trình điều trị phục hồi răng. Vì vậy Khách hàng sẽ được Bác sĩ của nha khoa Nhân Tâm chỉ định đến các cơ sở y tế đủ chức năng để thực hiện trước khi điều trị.




