Các yếu tố ảnh hưởng tới tuổi thọ của răng sứ Veneer
Thời gian tồn tại của Răng sứ Veneer phụ thuộc vào nhiều yếu tố, bao gồm:
Vật liệu làm răng: Vật liệu làm veneer sứ phải là sứ nguyên chất cao cấp. Có như vậy, veneer sứ mới bám dính tốt vào bề mặt răng, không bị đổi màu trong nhiều điều kiện môi trường khác nhau, hạn chế nứt vỡ và đảm bảo khả năng ăn nhai tốt.

Trình độ chuyên môn của Bác sĩ phục hình: Bất kỳ thủ thuật nha khoa nào cũng đòi hỏi trình độ chuyên môn cao của bác sĩ, đặc biệt là những quy trình áp dụng kỹ thuật tiên tiến như bọc răng sứ.
Kiến thức về cấu trúc răng, chất liệu kỹ thuật nha khoa và tay nghề của bác sĩ là yếu tố chính quyết định sự thành công của ca phục hình.
Vì vậy, người phục hình phải là người được đào tạo bài bản và chuyên sâu về răng hàm và cấu trúc răng để giúp quá trình phục hình diễn ra an toàn và tiết kiệm chi phí cho bệnh nhân.

Bác sĩ là nhân tố quan trọng giúp ca phục hình sứ veneer đạt kết quả như mong muốn
Máy móc thiết bị: Đây cũng là một trong những yếu tố quan trọng ảnh hưởng đến tuổi thọ của răng sứ Veneer. Sử dụng nhiều kỹ thuật khác nhau, tùy theo yêu cầu thẩm mỹ và chức năng của từng trường hợp để tạo ra một lớp hoàn thiện tinh xảo, có màu sắc tương đồng với răng thật, khiến người đối diện khó nhận ra bạn đang sử dụng răng giả.
Thói quen vệ sinh răng miệng: Mặt dán sứ có thể bị hỏng nhanh chóng nếu bạn có chế độ ăn uống và sinh hoạt không điều độ. Vì vậy, bạn nên nghe theo lời khuyên của nha sĩ để bảo vệ răng tốt nhất
++ Tìm hiểu về cách làm răng sứ Veneer
Tuổi thọ của răng sứ Veneer
Để trả lời câu hỏi "Bọc răng sứ Veneer giữ được bao lâu?", chúng ta có thể so sánh với các phương pháp phục hình răng sứ cổ điển.
Thông thường, mọi người nghĩ rằng mặt dán sứ Veneer không bền bằng mặt dán sứ thẩm mỹ. Tuy nhiên, bọc răng sứ có thể có 15-30% mão răng cần phải phục hình và thay thế sau 10 năm.
Bọc răng sứ veneer sau 10 năm, tỷ lệ phục hình của mặt dán sứ thấp hơn so với kỹ thuật truyền thống, viêm nha chu và viêm nướu thấp hơn so với kỹ thuật làm cầu răng sau khi điều trị.

Răng sứ nếu được sửa chữa và chăm sóc đúng cách thì có thể tồn tại lâu dài
Để có độ bền lâu dài của mặt dán sứ Veneer cần lưu ý những điều sau:
Lựa chọn địa chỉ nha khoa gần đây nhất và uy tín, có đội ngũ y bác sĩ giỏi giàu kinh nghiệm để thực hiện bọc răng sứ veneer hiệu quả và an toàn cho bệnh nhân.
Ngoài ra, những địa chỉ uy tín thường có trang thiết bị hiện đại giúp bác sĩ có thể điều trị tốt hơn cho bệnh nhân. Nên chọn chất liệu làm mặt dán sứ, chất liệu có thương hiệu, nguồn gốc xuất xứ rõ ràng để đảm bảo không gây kích ứng khi dán lên răng, veneer sẽ bám chắc vào răng để đảm bảo sử dụng.
Việc dán sứ phải được thực hiện theo quy trình thủ công chuyên nghiệp và tỉ mỉ nhất để đảm bảo việc dán sứ được chính xác và an toàn, hạn chế tối đa nguy cơ rơi, vỡ. Sau khi bọc răng sứ, bệnh nhân cần tuân thủ theo chỉ định của bác sĩ để đảm bảo răng duy trì tối đa.
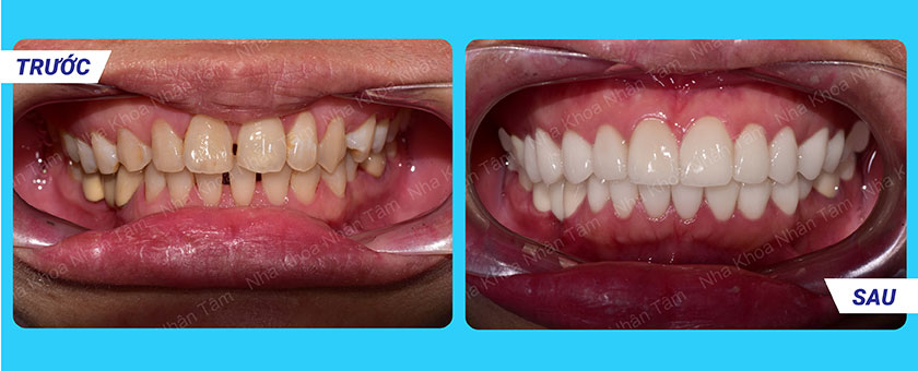
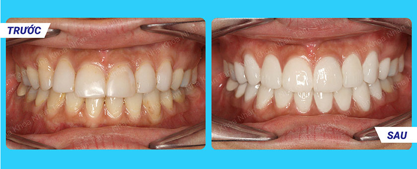
Hình ảnh khách hàng sử dụng phương pháp dán sứ Veneer tại Nha khoa Nhân Tâm


Nha khoa Nhân Tâm – Trung tâm răng sứ thẩm mỹ uy tín và chất lượng
- Đội ngũ Bác sĩ nha khoa thẩm mỹ hơn 20 năm kinh nghiệm trong ngành trực tiếp thăm khám, tư vấn và thực hiện bọc răng sứ
- Trang thiết bị hiện đại
- Chất liệu sứ cao cấp
- Hệ thống vô trùng chất lượng, đạt tiêu chuẩn, loại bỏ hoàn toàn lây nhiễm chéo
- Chăm sóc khách hàng tận tâm trước, trong và sau khi làm mặt dán sứ veneer
Nha khoa Nhân Tâm – Lấy chữ tâm làm đầu
Hy vọng những thông tin trên sẽ giúp bạn hiểu được răng sứ Veneer dùng được bao lâu trước khi phải sử dụng lại. Nếu còn điều gì thắc mắc hay có nhu cầu bọc răng sứ, bạn vui lòng đến trực tiếp Nha khoa Nhân Tâm hoặc liên hệ theo thông tin bên dưới.




