Phát minh của tập đoàn Straumann - Hệ thống làm sạch Implant nha khoa GalvoSurge – được đánh giá là cuộc cách mạng trong điều trị viêm quanh Implant.
Cấu tạo của hệ thống GalvoSurge bao gồm dung dịch làm sạch điện phân, đầu phun GalvoSurge, màn điều khiển GalvoSurge GS 1000, ống GalvoSurge.
Công nghệ GalvoSurge giúp loại bỏ màng sinh học và vi khuẩn trên Implant chỉ trong 2 phút, tạo nên môi trường vô khuẩn để chuẩn bị tốt nhất cho giai đoạn tái tạo xương và tích hợp xương.
Viêm quanh Implant và hệ thống làm sạch Implant nha khoa GalvoSurge
Hệ thống làm sạch Implant nha khoa GalvoSurge đã tạo nên một cuộc cách mạng trong điều trị viêm quanh Implant, khắc phục được những nhược điểm của các phương pháp làm sạch hiện có.
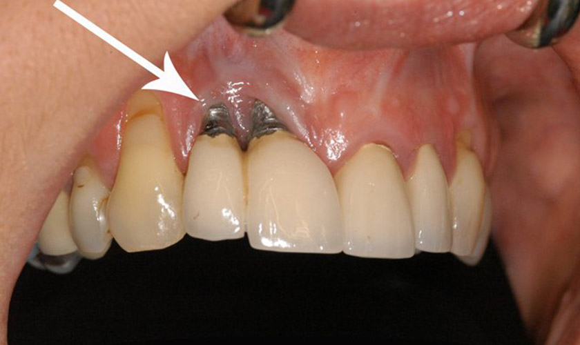
Viêm quanh Implant là một trong những biến chứng sau cấy ghép trụ Implant mà bệnh nhân có thể gặp phải với những biểu hiện như: sưng, đau, chảy máu, hình thành túi mủ quanh khu vực cấy ghép răng, hôi miệng, tụt nướu, trụ Implant bị lung lay...

Viêm quanh Implant là một biến chứng nguy hiểm, có thể dẫn đến tình trạng đào thải trụ Implant
Viêm quanh Implant xảy ra khi màng sinh học hình thành quanh Implant, tạo điều kiện cho vi khuẩn tấn công vùng răng vừa cấy ghép và gây viêm nhiễm, dẫn đến tình trạng xương nâng đỡ quanh Implant bị phá hủy, không thể nâng đỡ trụ Implant và làm đào thải trụ.
Nhiều nghiên cứu đã được thực hiện để tìm ra phương pháp điều trị viêm quanh Implant. Tuy nhiên về lâu dài, tất cả những phương pháp hiện có chỉ cho thấy thành công hạn chế do không có biện pháp tối ưu để làm sạch và khử nhiễm bề mặt Implant, nên không tạo được môi trường vô khuẩn để tái tích hợp xương. Vì vậy, viêm quanh Implant được mô tả là một tình trạng khó có thể điều trị hoàn toàn được.
Sự ra đời của hệ thống làm sạch Implant nha khoa GalvoSurge đã đánh dấu bước tiến vượt bậc trong việc điều trị viêm quanh Implant, cho phép làm sạch bề mặt Implant mà không gây ảnh hưởng đến Implant và các mô xung quanh, từ đó tạo môi trường tối ưu để tái tạo xương và tái tích hợp xương.

Hệ thống làm sạch Implant GalvoSurge được đánh giá là bước đột phá trong điều trị viêm quanh Implant
Lợi ích khi điều trị viêm quanh Implant với hệ thống làm sạch Implant nha khoa GalvoSurge
Quá trình làm sạch Implant với hệ thống GalvoSurge được tiến hành bằng cách tạo một điện áp thấp có kiểm soát lên bề mặt implant, đồng thời phun dung dịch điện phân lên trên đó, tạo phản ứng giải phóng các bong bóng hydro và làm phá vỡ màng sinh học trên bề mặt Implant, sửa soạn bề mặt Implant cho các điều trị tiếp theo và tái tích hợp xương.
Dựa trên các ca điều trị lâm sàng ứng dụng công nghệ GalvoSurge, các Bác sĩ nhận thấy công nghệ GalvoSurge đã cho ra kết quả khác biệt với nhiều lợi ích vượt trội:
- Những giải pháp làm sạch Implant hiện có trên thị trường thường gây tổn hại bề mặt Implant và các mô xung quanh sau quá trình vệ sinh. Trong khi đó, công nghệ GalvoSurge giúp loại bỏ màng sinh học và vi khuẩn trên Implant chỉ trong 2 phút mà không gây tổn hại lên bề mặt Implant hoặc các mô cứng và mô mềm xung quanh.

Hệ thống GalvoSurge với công nghệ điện phân giúp loại bỏ màng sinh học, khử nhiễm bề mặt Implant chỉ trong 2 phút
- Hệ thống GalvoSurge sử dụng công nghệ điện phân giúp loại bỏ màng sinh học, khử nhiễm bề mặt Implant bị lộ, bao gồm cả phần ren, vùng lẹm và các cấu trúc vi thể, giúp vô khuẩn bề mặt Implant, từ đó chuẩn bị một bề mặt implant phù hợp để tái tích hợp xương.
- Hệ thống GalvoSurge cho phép các tế bào của xương gắn kết với nhau, giúp cho quá trình tái sinh xương và tái tích hợp xương diễn ra thuận lợi hơn.
- Quy trình làm sạch với hệ thống GalvoSurge diễn ra chỉ trong 2 phút, nhanh chóng, an toàn và nhẹ nhàng, không gây khó chịu cho bệnh nhân và có thể sử dụng trên Implant kim loại.

Công nghệ GalvoSurge giúp làm sạch Implant một cách an toàn, hiệu quả và nhanh chóng
Xem thêm: Ưu điểm của hệ thống làm sạch Implant nha khoa Galvosurge
Quy trình làm sạch Implant nha khoa với hệ thống GalvoSurge
Hệ thống GalvoSurge đã được chứng minh đem lại hiệu quả vượt bậc hơn so với các giải pháp làm sạch Implant trước đó. Tự hào là trung tâm nha khoa công nghệ cao, Nha khoa Nhân Tâm đã đầu tư ứng dụng công nghệ GalvoSurge để điều trị cho bệnh nhân, mang đến kết quả điều trị tối ưu.
Quy trình điều trị viêm quanh Implant với hệ thống làm sạch Implant nha khoa GalvoSurge được thực hiện như sau:
- Bước 1: Tháo các thành phần phục hình để chuẩn bị cho việc điều trị.
- Bước 2: Bệnh nhân được gây tê tại chỗ để không cảm thấy đau nhức hay khó chịu trong quá trình điều trị.
- Bước 3: Bác sĩ tiến hành lật vạt, xử lý vùng cần điều trị nhằm loại bỏ các mô hạt, cement dư, vôi răng và các cặn bẩn khác.
- Bước 4: Dung dịch làm sạch GalvoSurge có độ mặn cao nên Bác sĩ sẽ thông báo cho bệnh nhân để bệnh nhân chuẩn bị tâm lý. Sau đó tiến hành gắn đầu phun GalvoSurge vào đầu kết nối của Implant.

Bác sĩ tiến hành điều trị với hệ thống làm sạch Implant nha khoa GalvoSurge
- Bước 5: Đầu phun GalvoSurge tải điện áp thấp vào Implant, đồng thời dung dịch điện phân sẽ được phun lên bề mặt Implant để tiến hành làm sạch bề mặt Implant.
- Bước 6: Quá trình làm sạch diễn ra trong 2 phút. Trong thời gian này, công nghệ điện phân sẽ giúp phân tử nước chuyển hóa thành ion H+ và giải phóng thành các bong bóng Hydrogen khi tiếp xúc bề mặt mang điện tích âm, từ đó tách rời màng sinh học ra khỏi bề mặt Implant. Lúc này Implant đã sạch sẽ và được khử nhiễm.
- Bước 7: Phần dung dịch làm sạch còn dư thừa và các cặn kết tủa nếu có sẽ được rửa sạch.
- Bước 8: Gắn vít đậy hoặc trụ lành thương vô khuẩn.
- Bước 9: Trong trường hợp cần bổ sung xương, bác sĩ sẽ tiến hành cấy ghép tăng thể tích xương để giúp nâng cao hiệu quả điều trị, chuẩn bị tốt cho giai đoạn tích hợp xương.
- Bước 10: Khâu đóng vạt ở vùng phẫu thuật.
Trên đây, Nha khoa Nhân Tâm đã giới thiệu cho Quý khách những thông tin cần biết về hệ thống làm sạch Implant nha khoa GalvoSurge cũng như quy trình điều trị với công nghệ này. Đừng quên tìm một trung tầm điều trị chất lượng cao, ứng dụng công nghệ hiện đại để có một ca cấy ghép Implant thành công nhé!
*Chụp phim X-Quang hoặc phim 3 chiều CT Cone Beam là một bước quan trọng trong quy trình điều trị phục hồi răng. Vì vậy Khách hàng sẽ được Bác sĩ của nha khoa Nhân Tâm chỉ định đến các cơ sở y tế đủ chức năng để thực hiện trước khi điều trị.




