Viêm quanh Implant là một biến chứng khá nghiêm trọng sau phẫu thuật cấy ghép Implant. Tình trạng viêm nhiễm có thể làm phá hủy xương nâng đỡ trong các mô xung quanh Implant, làm cho trụ Implant bị đào thải, dẫn đến cấy ghép Implant thất bại.
Nguyên nhân dẫn đến viêm quanh Implant có thể là do quy trình thực hiện không đúng kỹ thuật, Implant cấy ghép sai vị trí, bệnh nhân chăm sóc răng miệng không tốt, thường xuyên hút thuốc lá, uống rượu bia,...
Hiện nay, điều trị viêm quanh Implant đã không còn là vấn đề khó khăn với sự xuất hiện của hệ thống GalvoSurge. GalvoSurge sử dụng công nghệ điện phân để làm sạch và khử nhiễm bề mặt Implant chỉ trong 2 phút mà không hề gây tổn thương đến Implant cũng như mô mềm, mô cứng xung quanh.
Viêm quanh Implant: Thách thức lớn cho các bác sĩ
Viêm quanh Implant là một biến chứng đầy thách thức sau phẫu thuật cấy ghép Implant, đặc biệt là vùng thẩm mỹ. Nếu không được điều trị kịp thời và đúng cách, lâu dần sẽ dẫn đến tiêu xương quanh Implant, sự ổn định của trụ cũng sẽ bị tác động, dẫn đến ca cấy ghép thất bại. Bên cạnh đó, điều này còn ảnh hưởng đến sức khỏe răng miệng và thẩm mỹ tổng thể của hàm răng.

Viêm quanh Implant là một biến chứng nghiêm trọng sau phẫu thuật cấy ghép Implant
Khi được chẩn đoán viêm quanh Implant, các bác sĩ thường sẽ áp dụng các biện pháp như dùng chổi Titan, Laser hay thổi cát để làm sạch bề mặt Implant. Thế nhưng, vẫn chưa biện pháp nào được xem là điều trị tối ưu mà đảm bảo khỏi bệnh.
Với các phương pháp truyền thống, các màng sinh học không được loại bỏ hoàn toàn, hơn nữa còn tiềm ẩn nguy cơ ảnh hưởng đến mô xương và nướu xung quanh Implant. Chính vì thế, việc điều trị viêm quanh Implant luôn được xem là một thách thức lớn cho các chuyên gia.
GalvoSurge - Đột phá trong điều trị viêm quanh Implant
Trong những năm gần đây, một phương thức điều trị viêm quanh Implant mới đã xuất hiện, cải thiện được các khuyết điểm của phương pháp truyền thống. Đó chính là hệ thống làm sạch Implant nha khoa GalvoSurge.
Có thể nói, GalvoSurge đã tạo nên một cuộc cách mạng trong điều trị viêm quanh Implant bằng cách đưa công nghệ điện phân vào làm sạch và khử nhiễm bề mặt Implant. Màng sinh học cùng tất cả các vi sinh vật liên quan đều được loại bỏ chỉ sau một bước thực hiện.

Hệ thống GalvoSurge giúp điều trị viêm quanh Implant hiệu quả
Quá trình này được tiến hành bằng cách tạo một điện áp thấp có kiểm soát lên bề mặt Implant. Sau đó, sử dụng dung dịch điện phân phun lên khắp Implant nhằm tạo thành phản ứng giúp giải phóng các bọt khí hydrogen nhỏ để làm tách rời hoàn toàn màng sinh học một cách nhẹ nhàng, tạo tiền đề cho các điều trị tiếp theo và tái tích hợp xương.
>>> Xem thêm: GalvoSurge: Đột phá trong điều trị viêm quanh Implant
Các trường hợp lâm sàng ứng dụng thành công GalvoSurge
Để minh chứng cho hiệu quả của hệ thống GalvoSurge trong điều trị viêm quanh Implant, bạn hãy cùng theo dõi những trường hợp lâm sàng dưới đây.
Trường hợp 1: Khuyết hổng 2 thành xương mức độ trung bình (loại IB) ở vùng thẩm mỹ
Viêm quanh Implant ở vùng thẩm mỹ là một trường hợp rất phức tạp. Nếu không điều trị đúng cách sẽ ảnh hưởng nghiêm trọng đến sức khỏe, đặc biệt là thẩm mỹ tổng thể. Việc kiểm soát viêm quanh Implant ở những khu vực này đòi hỏi bác sĩ phải xem xét thật cẩn thận và có kế hoạch điều trị phù hợp.
Bác sĩ Alberto Monje đã điều trị viêm quanh Implant vùng thẩm mỹ bằng hệ thống GalvoSurge thành công cho bệnh nhân. Dưới đây là một trường hợp lâm sàng cụ thể.
Tình trạng ban đầu: Bệnh nhân có cảm giác đau nhức, khó chịu, chảy máu và chảy mủ ở vùng răng trước. Sau khi kiểm tra trong miệng cho thấy túi sâu xung quanh Implant R22, và phân tích hình X-quang cho thấy tình trạng tiêu xương ở mức độ vừa phải.

Tình trạng ban đầu: túi sâu & tiêu xương mức độ vừa
Kế hoạch điều trị: Kế hoạch điều trị đã được thảo luận với bệnh nhân. Bác sĩ sẽ sử dụng hệ thống GalvoSurge để làm sạch và khử nhiễm bề mặt Implant, sau đó thực hiện ghép xương để tăng thể tích xương.
Các bước phẫu thuật:
- Phẫu thuật lật vạt bộc lộ Implant. Bác sĩ sẽ làm sạch mô hạt và vôi bằng dụng cụ chuyên dụng.
- Sử dụng GalvoSurge làm sạch và khử nhiễm bề mặt Implant, giúp Implant và khu vực xung quanh đạt môi trường vô khuẩn.
- Ghép tăng thể thích xương, che phủ với màng tiêu collagen nhằm hạn chế sự xâm lấn của mô mềm sau khi thực hiện ghép xương, đồng thời thúc đẩy quá trình lành thương diễn ra nhanh hơn.
- Sử dụng mảnh ghép mô liên kết để ổn định niêm mạc và hạn chế tụt nướu.

Các bước thực hiện phẫu thuật
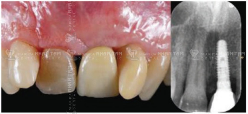
Kết quả: Sau 20 tháng theo dõi, đánh giá lâm sàng cho thấy bệnh đã khỏi hoàn toàn, tăng mức xương đáng kể và ổn định trên phim X-quang.

Theo dõi sau 20 tháng cho thấy tăng mức xương đáng kể và ổn định trên phim X-quang
Trường hợp 2: Điều trị viêm quanh Implant bằng GalvoSurge ở vùng thẩm mỹ
Trường hợp lâm sàng thứ 2 áp dụng thành công hệ thống GalvoSurge trong điều trị viêm quanh Implant được thực hiện bởi Bác sĩ Markus Schlee.
Tình trạng ban đầu: Qua hình ảnh lâm sàng ban đầu và phim chụp X-quang cho thấy túi quanh Implant sâu và tiêu xương ở mức độ vừa phải.

Tình trạng lâm sàng ban đầu và phim X-quang
Kế hoạch điều trị: Kế hoạch điều trị cũng được Bác sĩ Markus Schlee thảo luận kỹ càng với bệnh nhân. Theo đó, Bác sĩ sẽ làm sạch Implant với hệ thống GalvoSurge và tiến hành ghép tăng thể tích xương.
Các bước phẫu thuật:
- Phẫu thuật lật vạt bộc lộ quanh Implant ở vùng răng trước, cho thấy tiêu xương trên 10mm.
- Bác sĩ tiến hành nạo bỏ mô hạt và vôi, làm sạch với GalvoSurge trong 2 phút.
- Sau khi Implant đạt môi trường vô khuẩn, Bác sĩ sẽ ghép tăng thể tích xương, phủ màng tiêu Collagen. Đồng thời cố định màng bằng vít và khâu đóng vạt.

Các bước thực hiện phẫu thuật
Kết quả: Sau 1 năm theo dõi, tình trạng viêm đã khỏi hoàn toàn, mô nướu khỏe mạnh. Hình chụp X-quang cho thấy tăng mức xương đáng kể và ổn định.

Theo dõi sau 1 năm
Như vậy, việc điều trị viêm quanh Implant, đặc biệt là vùng thẩm mỹ là một thách thức lớn đối với các Bác sĩ nha khoa. Tuy nhiên, với sự hỗ trợ của GalvoSurge trong việc làm sạch và khử nhiễm bề mặt Implant, kết hợp với việc ghép tăng thể tích xương đã chứng minh được tính an toàn và hiệu quả của công nghệ mới này trong điều trị viêm quanh Implant.
*Chụp phim X-Quang hoặc phim 3 chiều CT Cone Beam là một bước quan trọng trong quy trình điều trị phục hồi răng. Vì vậy Khách hàng sẽ được Bác sĩ của nha khoa Nhân Tâm chỉ định đến các cơ sở y tế đủ chức năng để thực hiện trước khi điều trị.




