Nguyên nhân này hình thành là do không vệ sinh răng miệng đúng cách hoặc lười vệ sinh răng miệng, thức ăn lâu ngày, cặn thức ăn không được loại bỏ một cách triệt để tạo thành lớp vôi răng, lớp vôi răng này dần dần tích tụ gây nên những mảng bám màu nâu đen ở khe, viền răng.
Bên cạnh việc mất thẩm mỹ, vôi răng tích tụ lâu ngày nếu không được loại bỏ còn gây ra các vấn đề răng miệng khác như viêm nướu, hôi miệng, sâu răng…
Nguyên nhân khiến làm khe răng cửa bị đen
Khe răng cửa bị đen xuất phát từ các nguyên nhân phổ biến sau:
Do vôi răng
Tình trạng này xảy ra khi bạn không vệ sinh răng miệng đúng cách hoặc lười không vệ sinh răng miệng khiến thức ăn, cặn thức ăn lâu ngày đọng lại. Khi chúng không được loại bỏ triệt để sẽ tạo ra lớp vôi răng, lâu dần tích tụ gây nên mảng bám nâu đen ở khe hay viền răng. Ngoài việc gây mất thẩm mỹ thì vôi răng tích tụ lâu ngày còn gây nên các vấn đề răng miệng khác như hôi miệng, viêm nướu, sâu răng…
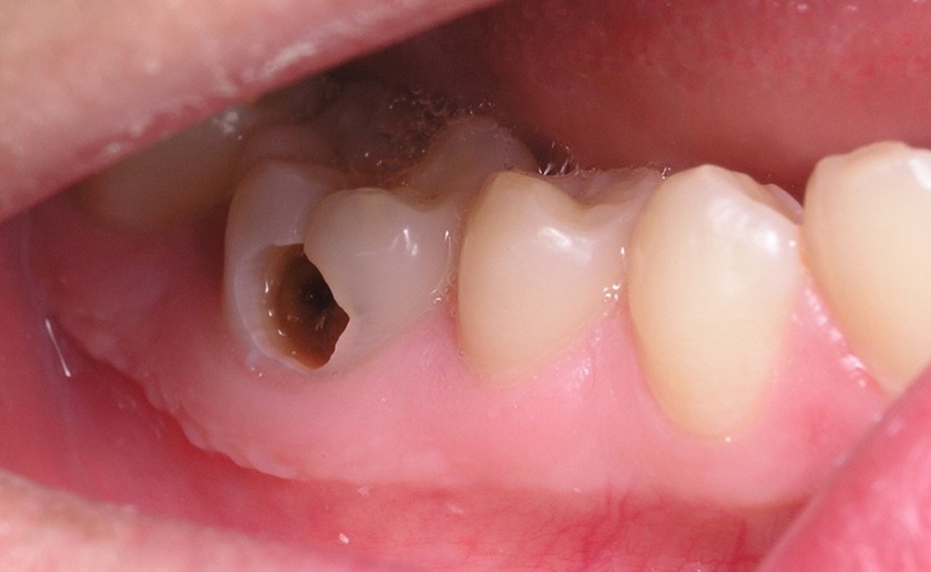
Sâu men răng
Khi các lớp men ở răng bị phá hủy thì sẽ dẫn tới tình trạng sâu men răng và khiến răng cửa bị đen. Sâu răng không chỉ gây mất thẩm mỹ mà nó còn gây nên những cơn đau nhức khó chịu cho khách hàng và ảnh hưởng tiêu cực tới hệ thống dây thần kinh xung quanh răng cũng như sức khỏe toàn thân.

Sâu răng làm răng bị đen bên trong, gây tổn thương đến tủy răng, thậm chí là mất toàn bộ răng
Răng chết tủy
Tủy răng được ví là trái tim của răng, tủy tham gia vào quá trình nuôi dưỡng và sửa chữa ngà răng. Ở các răng khỏe mạnh, tủy răng được bao bọc, bảo vệ bởi men răng và ngà răng.
Khi cấu trúc bảo vệ của tủy bị phá vỡ do răng bị chấn thương hoặc bệnh lý thì vi khuẩn và các tác nhân gây bệnh sẽ tấn công vào tủy răng, gây viêm tủy, thậm chí là chết tủy.
Răng bị chết tủy sẽ không phản ứng với các kích thích từ bên ngoài như nhiệt độ nóng – lạnh, vị của thức ăn, kể cả cảm giác ăn nhai. Bên cạnh đó, chúng cũng không giữ được màu sắc ban đầu mà chuyển dần sang màu xám đen.
Răng bị nhiễm màu thực phẩm, thuốc lá
Các chất màu có trong các loại thức ăn, nước uống có màu sẫm như cafe, trà, nước ngọt có gas… có thể bám lại trên bề mặt răng, khiến chúng bị đổi màu và đen dần đi.
Tác dụng phụ của thuốc
Một số loại thuốc, đặc biệt là thuốc kháng sinh, có thể làm cho răng bị nhiễm màu và đen đi.
Xem thêm: Quy trình lấy tủy và bọc sứ thẩm mỹ cho răng sâu
3 cách khắc phục tình trạng răng cửa bị đen bên trong hiện nay
Hiện nay, để khắc phục tình trạng răng cửa bị đen, các phương pháp phổ biến là: cạo vôi răng, trám răng và dán sứ thẩm mỹ. Tùy theo nguyên nhân gây bệnh và mức độ bệnh của từng trường hợp mà các bác sĩ đưa ra phương pháp điều trị khác nhau.
Cạo vôi răng
Phương pháp này phù hợp với những trường hợp răng cửa bị đen do mảng bám thức ăn. Bởi vì mảng bám vôi răng này chỉ cần được cạo và lau sạch.
Trám răng
Phương pháp này phù hợp với những trường hợp răng cửa bị đen do sâu răng. Tùy theo mức độ sâu mà có các phương pháp trám răng khác nhau. Đối với trường hợp sâu răng nhẹ, tức là mặt trong của răng cửa bị đen và chỉ có một lỗ sâu nhỏ thì chỉ cần nạo bỏ hết lỗ sâu răng, sau đó trám bít lại. Nếu răng bị sâu đến độ sâu của tủy, tức là ngoài răng cửa bị đen bên trong thì răng sâu đã tương đối lớn, gây tổn thương đến tủy răng, cần phải điều trị tủy trước khi trám răng.

Trám răng áp dụng khi răng cửa bị đen từ sâu răng gây ra
Bọc răng sứ thẩm mỹ
Đối với trường hợp răng cửa bị đen bên trong nhiều, bị sâu nặng mà việc trám răng cũng không khắc phục được hậu quả một cách tốt nhất, thì có thể tiến hành bọc răng sứ thẩm mỹ để bảo vệ răng và ngăn chặn sự lây lan của sâu răng.
Có nhiều phương pháp điều trị răng cửa bị đen bên trong khác nhau. Do đó, để biết được phương pháp nào phù hợp với tình trạng của mình, tốt nhất bạn nên đến trung tâm nha khoa uy tín để được thăm khám và tư vấn trực tiếp.
Nha khoa Nhân Tâm - Trung tâm chăm sóc sức khỏe răng miệng hàng đầu
- Được điều trị bởi bác sĩ giỏi nhiều năm kinh nghiệm
- Chẩn đoán hình ảnh kỹ thuật số của hệ thống máy CT Cone Beam 3D giúp xác định chính xác tình trạng mô mềm, chất lượng xương hàm từ đó đưa ra phương án điều trị chính xác, hiệu quả và nhanh chóng nhất.

Nha khoa Nhân Tâm quy tụ đội ngũ bác sĩ giỏi cùng cơ sở vật chất hiện đại mang đến chất lượng dịch vụ tốt nhất
- Sử dụng thiết bị nha khoa thế hệ mới nhập khẩu từ Châu Âu, loại bỏ hoàn toàn cao răng, mảng bám, ổ viêm, túi nha chu, làm sạch răng hiệu quả.
- Phục hình các răng bị tổn thương (nếu có) bằng LAB kỹ thuật số ngay tại phòng khám.
- Hướng dẫn chăm sóc răng miệng đúng cách tại nhà sau điều trị.
Hi vọng những thông tin trên sẽ giúp bạn hiểu rõ hơn về tình trạng răng cửa bị đen bên trong và cách khắc phục hiệu quả tình trạng này. Nếu bạn còn bất kỳ thắc mắc nào cần giải đáp, hãy liên hệ với Nha khoa Nhân Tâm ngay hôm nay để được chuyên gia tư vấn chi tiết và hoàn toàn miễn phí.
*Chụp phim X-Quang hoặc phim 3 chiều CT Cone Beam là một bước quan trọng trong quy trình điều trị phục hồi răng. Vì vậy Khách hàng sẽ được Bác sĩ của nha khoa Nhân Tâm chỉ định đến các cơ sở y tế đủ chức năng để thực hiện trước khi điều trị.




