Trám răng hàm trên là một trong những phương pháp phục hình lại hình dáng, màu sắc răng.
Có nhiều loại vật liệu trám răng với ưu điểm khác nhau, Bác sĩ sẽ tư vấn cho Khách hàng vật liệu phù hợp với vị trí trám, mức độ tổn thương răng và nhu cầu của Khách hàng.
Khi nào cần trám răng hàm trên?
Mục đích của trám răng hàm trên là phục hồi những tổn thương trên răng, bảo vệ răng không bị vi khuẩn xâm nhập, đồng thời cải thiện chức năng ăn nhai và thẩm mỹ.
Dưới đây là những trường hợp cần thực hiện trám răng:
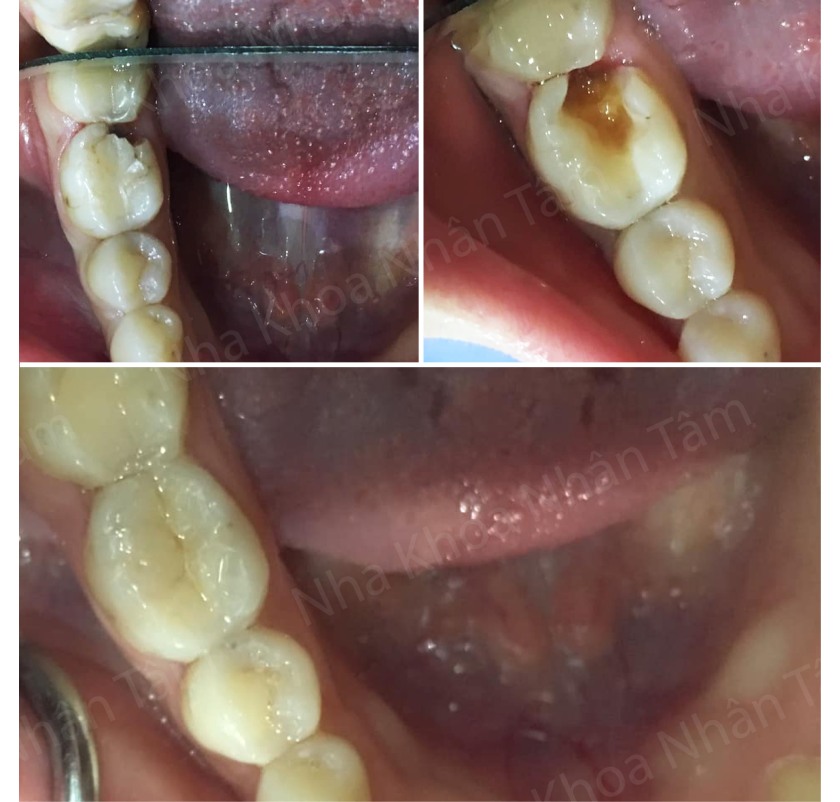
- Sâu răng: Trường hợp răng bị sâu men răng, sâu ngà răng hoặc sâu lan và tủy mức độ nhẹ thì Bác sĩ sẽ nạo sạch mô răng bị sâu và thực hiện trám răng thẩm mỹ.

Trám răng sâu
- Mòn răng: Chăm sóc và vệ sinh răng sai cách sẽ khiến răng bị mòn. Nếu răng bị mòn nhẹ, chưa ảnh hưởng tủy răng thì Bác sĩ sẽ chỉ định trám răng để giúp bảo vệ răng.
- Răng nứt mẻ nhẹ: Những vết nứt hoặc răng bị mẻ, vỡ không quá lớn sẽ có thể trám để khôi phục hình dạng răng.
- Răng thưa nhẹ: Răng thưa nhẹ có thể trám để thức ăn không bị giắt vào kẽ răng, đồng thời nâng cao thẩm mỹ cho hàm răng.
- Phòng ngừa sâu răng trẻ em: Trẻ em rất dễ bị sâu răng. Bên cạnh việc chăm sóc và vệ sinh răng miệng kỹ lưỡng, ba mẹ có thể dẫn trẻ đến gặp nha sĩ để được trám răng phòng ngừa sâu răng.
Các loại vật liệu trám răng hàm trên
Hiện nay, vật liệu trám răng vô cùng đa dạng, tùy theo mục đích trám răng hàm trên mà Bác sĩ sẽ lựa chọn vật liệu trám phù hợp.
1. Vật liệu Composite
Trám răng Composite hay còn gọi là trám răng thẩm mỹ là kỹ thuật trám răng được áp dụng phổ biến vì Composite được đánh giá cao về mặt thẩm mỹ, có màu sắc tương tự màu răng thật, độ bền chắc cao và giá thành hợp lý.

Trám răng thẩm mỹ Composite
2. Vật liệu Amalgam
Amalgam được dùng để trám răng được làm từ hợp kim bạc, đồng, thiếc hoặc thủy ngân có độ chịu lực cao, tuy nhiên không được đánh giá cao về mặt thẩm mỹ nên thường được dùng để phục hình các răng bên trong như răng hàm, không dùng cho răng cửa.

Vật liệu trám Amalgam
Xem thêm: Bị sâu răng có trám răng cửa được không?
3. Vật liệu GIC
Vật liệu trám răng hàm trên GIC có ưu điểm là màu sắc tương đồng răng thật, được bổ sung Fluor để ngừa sâu răng nên được ứng dụng vào nhiều ca phục hình, đặc biệt là điều trị sâu răng.
4. Trám sứ Inlay/Onlay
Trám sứ Inlay/ Onlay là kỹ thuật trám hiện đại, sử dụng vật liệu sứ để phục hình răng nhưng không cần mài quá nhiều răng như kỹ thuật bọc sứ. Đây là phương pháp phục hình răng ưu việt, tuy nhiên chi phí cao hơn các phương pháp trám răng khác.

Trám răng Inlay/ Onlay tại Nha khoa Nhân Tâm
Thời gian trám răng hàm trên
Thời gian để trám răng hàm trên khoảng 10-20 phút/ răng hoặc lâu hơn tùy theo mức độ tổn thương của răng.
Sau khi trám răng, Khách hàng cần lưu ý thực hiện chế độ chăm sóc theo chỉ định của Bác sĩ bao gồm:
- Không ăn uống trong 2h đầu sau khi trám răng
- Vệ sinh răng miệng bằng bàn chải lông mềm ít nhất 2 lần/ ngày
- Sử dụng chỉ nha khoa để lấy thức ăn thừa sau mỗi bữa ăn.
- Súc miệng bằng dung dịch sát khuẩn phù hợp
- Chế độ ăn uống khoa học, không ăn thức ăn quá dai cứng, quá nóng hoặc lạnh.
- Hạn chế thực phẩm giàu đường, nước ngọt có ga, thực phẩm dễ bám dính…
- Không hút thuốc lá Uống đủ nước, tăng cường rau xanh và các thực phẩm tốt cho răng.
- Phân bổ đều lực nhai, điều trị nghiến răng (nếu có).
- Thực hiện khám răng và cạo vôi răng định kỳ 3-6 tháng/ lần.
Trám răng là kỹ thuật nha khoa phổ biến, tuy nhiên cần được thực hiện bởi Bác sĩ giàu kinh nghiệm và chuyên môn, kết hợp công nghệ nha khoa hiện đại để đảm bảo an toàn, nhanh chóng, không đau và không biến chứng.
Nha khoa Nhân Tâm nhận được review nha khoa tốt của hàng ngàn Khách hàng trong nước và quốc tế.

Thăm khám để đánh giá mức độ tổn thương răng
Chúng tôi sở hữu đội ngũ Bác sĩ tốt nghiệp loại giỏi chuyên ngành Răng Hàm Mặt tại các trường Đại học Y dược danh tiếng với trên 25 năm kinh nghiệm, đi đầu trong việc ứng dụng các trang thiết bị công nghệ nha khoa hiện đại, chế độ bảo hành chu đáo và chăm sóc tận tâm, chắc chắn sẽ giúp Quý khách trải nghiệm dịch vụ với chất lượng tốt nhất.
Trám răng hàm trên là giải pháp đơn giản và nhanh chóng nhất để mang đến hàm răng chắc khỏe và thẩm mỹ cho bạn. Đừng quên liên hệ Nha khoa Nhân Tâm để được chuyên gia tư vấn chi tiết hơn về các thông tin dịch vụ trám răng nhé!
*Chụp phim X-Quang hoặc phim 3 chiều CT Cone Beam là một bước quan trọng trong quy trình điều trị phục hồi răng. Vì vậy Khách hàng sẽ được Bác sĩ của nha khoa Nhân Tâm chỉ định đến các cơ sở y tế đủ chức năng để thực hiện trước khi điều trị.



