Răng số 8 mọc ngang không phải là hiện tượng hiếm gặp và có thể gây ra nhiều biến chứng nguy hiểm như xô lệch hàm, hỏng răng số 7, viêm quanh răng, thương tổn dây thần kinh, u nang xương hàm,…
Để ngăn chặn các biến chứng trên thì biện pháp tối ưu nhất theo lời khuyên của bác sĩ nha khoa đó là nhổ răng khôn. Quy trình nhổ răng khôn mọc ngang tương đối phức tạp so với những răng khác, đòi hỏi bác sĩ có tay nghề tốt, nhiều kinh nghiệm và được hỗ trợ bởi nhiều máy móc hiện đại nên bạn hãy tìm hiểu kỹ để chọn lựa được một trung tâm nha khoa thực sự uy tín nhé.
Các thông tin cơ bản về tình trạng răng số 8 mọc ngang
Răng số 8 mọc ngang là hiện tượng răng mọc lên theo hướng vuông góc với răng số 7 và có xu hướng đâm vào chân răng số 7. Lúc này, răng thường nằm trong xương hàm hoặc dưới nướu nên sẽ hơi khó nhận biết khi quan sát bằng mắt thường.
Nguyên nhân khiến răng khôn mọc ngang, mọc lệch là do chúng xuất hiện muộn khi bước vào độ tuổi 17 đến 25. Khi đó, các răng khác đã phát triển đầy đủ và cung hàm không còn đủ diện tích trống cho răng mọc bình thường. Điều này gây ra khá nhiều phiền phức, không chỉ gây đau, khó chịu mà chúng còn ảnh hưởng trực tiếp tới khả năng ăn nhai và sức khỏe của chúng ta.

Tình trạng răng số 8 mọc ngang
Răng số 8 mọc ngang thường làm xuất hiện các triệu chứng:
- Lợi, nướu sưng đỏ nhưng không thấy răng nhú lên khỏi nướu và kèm theo những cơn đau dai dẳng.
- Vì răng số 7 bị răng khôn đâm vào nên cảm giác đau cũng sẽ xuất hiện ở cả ở chiếc răng này.
- Hơi thở có mùi hôi do răng khôn làm giắt thức ăn tại vị trí nướu bị sưng và hình thành mảng bám.
- Có thể sốt và mệt mỏi.
Nếu nhận thấy bản thân có có các triệu chứng trên, bạn nên nhanh chóng đến nha khoa thăm khám và điều trị kịp thời.
Những biến chứng nguy hiểm xảy ra khi răng số 8 mọc ngang
Nếu không có biện pháp can thiệp kịp thời, răng khôn mọc ngang có thể tiến triển nặng và gây ra những biến chứng nguy hiểm, lúc đó việc chữa trị sẽ phức tạp hơn và tốn nhiều chi phí hơn.
- Làm hỏng răng số 7: Răng khôn mọc ngang thường có xu hướng đâm vào răng 7 khiến răng lung lay. Chân răng 7 tiếp xúc với răng khôn sẽ bị sâu, hỏng tủy, nguy cơ mất răng 7 cao.
- Xô lệch hàm: Răng số 8 nằm ngang sẽ xô đẩy các răng khác, lâu ngày sẽ gây xô lệch hàm và thậm chí là sai khớp cắn.
- Viêm quanh răng: Viêm nhiễm tại vùng nướu xung quanh chân răng số 8 là rất khó tránh do thức ăn thường xuyên mắc lại. Lúc này, nướu và má có thể sưng tấy do viêm, trầm trọng hơn có thể làm xuất hiện túi mủ, áp xe răng.

Áp xe răng khôn
- U nang xương hàm: Nếu không nhổ sớm, chiếc răng mọc ngang có thể gây nên u nang xương hàm. Theo thời gian, u sẽ phát triển lớn và làm hỏng răng, xương hàm và dây thần kinh.
- Thương tổn thần kinh: Răng số 8 mọc ở khu vực có nhiều dây thần kinh nên việc chèn ép dây thần kinh hoàn toàn có thể xảy ra. Lúc này, lúc này chúng không những gây đau đầu mà còn có thể làm mất cảm giác vùng má, lưỡi, môi, rối loạn phản xạ,…
Nhổ răng số 8 mọc ngang – có nên không?
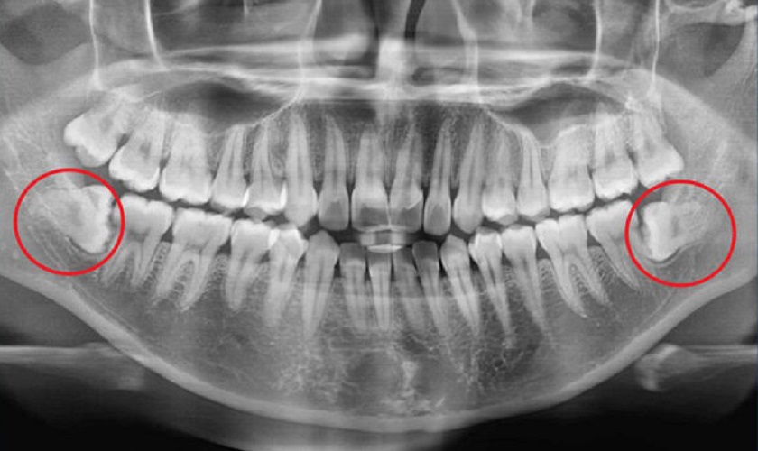
Để phòng tránh các biến chứng nguy hiểm thì biện pháp tốt nhất là loại bỏ răng khôn theo chỉ định từ bác sĩ nha khoa. Bạn sẽ cần chụp X – quang răng nhằm xác định hướng mọc, vị trí mọc răng. Dựa vào kết quả phim chụp, bác sĩ sẽ đưa ra kế hoạch và biện pháp nhổ phù hợp.
Nhổ răng khôn mọc ngang dù là hàm dưới hay hàm trên thì đều có độ khó nhất định tùy vào tình trạng răng thực tế. Tuy nhiên, quá trình nhổ sẽ không gây nguy hiểm hay biến chứng gì nếu được tiến hành tại trung tâm nha khoa có chất lượng và uy tín.

Phim chụp X – quang giúp bác sĩ chẩn đoán tình trạng và hướng mọc răng
Vì răng số 8 không mọc thẳng như các răng khác và lại ở vị trí khó can thiệp nên việc loại bỏ chiếc răng này đòi hỏi bác sĩ phải có chuyên môn và kinh nghiệm dày dặn. Bác sĩ là người trực tiếp đưa ra kế hoạch điều trị, kiểm soát các diễn biến trong khi nhổ, từ đó đem đến kết quả tối ưu. Bên cạnh đó, việc nhổ răng cần có sự hỗ trợ từ nhiều máy móc, trang thiết bị hiện đại để quá trình nhổ không đau nhức, nhẹ nhàng, nhanh chóng và an toàn.
Để biết được chính xác tình trạng răng của mình và tiến hành răng số 8 mọc ngang an toàn, không đau nhức, bạn hãy tới trực tiếp phòng khám của Nha khoa Nhân Tâm. Các bác sĩ ở đây luôn sẵn lòng tư vấn và hỗ trợ cho bạn.
*Chụp phim X-Quang hoặc phim 3 chiều CT Cone Beam là một bước quan trọng trong quy trình điều trị phục hồi răng. Vì vậy Khách hàng sẽ được Bác sĩ của nha khoa Nhân Tâm chỉ định đến các cơ sở y tế đủ chức năng để thực hiện trước khi điều trị.



