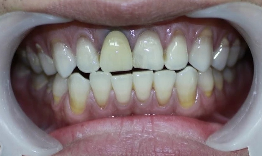
Nướu răng bị đen ảnh hưởng rất nhiều đến thẩm mỹ, khiến nụ cười không được tươi tắn, rạng rỡ. Đây cũng là điều khiến nhiều người e ngại, mất tự tin khi giao tiếp với người khác.
Nguyên nhân dẫn đến tình trạng này có thể là do di truyền, thói quen sinh hoạt không tốt, vôi răng dưới nướu, tuổi tác, sử dụng răng sứ kim loại,…
Để khắc phục tình trạng này, bạn nên tìm đến nha khoa uy tín để được bác sĩ thăm khám và chỉ định phương pháp điều trị phù hợp nhất.
Nguyên nhân khiến nướu răng bị đen
Thông thường, nướu răng khỏe mạnh sẽ rất săn chắc, có màu hồng nhạt, gai nướu hơi nhọn và ôm sát vào kẽ răng, giúp cho nụ cười trông tươi tắn, rạng rỡ.
Tuy nhiên, một số trường hợp nướu răng bị đen, gây ảnh hưởng rất lớn đến thẩm mỹ. Lý giải về tình trạng này, các chuyên gia cho biết có rất nhiều nguyên nhân gây nên.
Do vôi răng nằm dưới nướu lâu ngày
Vôi răng nằm bên dưới nướu là nguyên nhân phổ biến dẫn đến tình trạng nướu răng bị thâm đen. Ban đầu, vôi răng thường có màu vàng nhạt, nhưng nếu lâu ngày không được làm sạch thì sẽ chuyển dần sang màu đen và làm cho màu sắc của nướu cũng bị đen theo.
Do sử dụng vật liệu kim loại
Những người sử dụng răng sứ kim loại (răng sứ kim loại thường, răng sứ kim loại titan) hay có các miếng trám amalgam lớn thì cũng có khả năng bị đen phần nướu. Sở dĩ như vậy là bởi kim loại khi tiếp xúc với nước bọt trong môi trường khoang miệng sẽ bị oxy hóa, khiến nướu bị thâm đen dần đi.

Nướu răng bị đen do sử dụng răng sứ kim loại
Do tuổi tác
Tuổi tác ngày càng cao thì các tế bào làm hồng nướu cũng bị lão hóa. Từ đó bị suy giảm chức năng và khiến nướu ngày một đen hơn. Thường nướu răng bị đen do nguyên nhân này rất khó đến khắc phục triệt để.
Do thói quen sinh hoạt không tốt
Nếu bạn có những thói quen sinh hoạt thiếu lành mạnh như: vệ sinh răng miệng không đúng cách, sử dụng nhiều chất kích thích, hút thuốc lá thường xuyên,… thì việc thâm nướu là khó tránh khỏi.
Do di truyền
Đây là nguyên nhân khiến nướu bẩm sinh đã không có được màu hồng khỏe mạnh, tế bào tạo màu cho nướu hoạt động không tốt dẫn đến màu sắc của nướu không được bình thường. Nếu bố mẹ có nướu bị thâm đen thì con sinh ra cũng có khả năng bị rất cao.
Cách khắc phục tình trạng nướu răng bị đen
Hiện nay, với sự phát triển của khoa học kỹ thuật, ngành nha khoa đã được nâng lên một tầm cao mới. Chính vì thế, việc khắc phục tình trạng nướu răng bị đen đã không còn là vấn đề phức tạp như trước đây. Để làm hồng nướu răng, khôi phục thẩm mỹ cho nụ cười, bạn có thể tìm đến Nha khoa Nhân Tâm.
Tại Nha khoa Nhân Tâm, các bác sĩ giỏi với kinh nghiệm lâu năm trong nghề cùng sự hỗ trợ của công nghệ hiện đại sẽ trực tiếp thăm khám tình trạng của bạn. Tùy vào từng nguyên nhân gây bệnh mà bác sĩ sẽ đưa ra phương pháp điều trị phù hợp và hiệu quả nhất.
- Với trường hợp nướu răng bị đen do vôi đóng dưới nướu lâu ngày, bác sĩ sẽ chỉ định cạo vôi răng. Nha khoa Nhân Tâm ứng dụng công nghệ cạo vôi răng hiện đại bằng máy siêu âm, nên sẽ lấy sạch vôi răng mà không hề gây ê buốt hay khó chịu như phương pháp truyền thống. Ngoài ra, những trường hợp nặng thì có thể kết hợp chiếu tia hồng ngoại để kích thích lành thương mô nướu.
- Với những trường hợp sử dụng răng sứ kim loại hay trám răng bằng amalgam, bạn có thể sẽ phải thay miếng trám hay mão răng sứ mới bằng loại răng toàn sứ thì mới có thể khắc phục được.
- Với những trường hợp nướu bị thâm đen do tuổi tác, bác sĩ có thể tiến hành ghép vạt nướu nhằm tái tạo mô nướu mới.
- Với những trường hợp nướu răng bị đen do thói quen sinh hoạt không lành mạnh, bác sĩ sẽ hướng dẫn cách để cải thiện như: chải răng đúng cách, không sử dụng chất kích thích, hạn chế tối đa việc hút thuốc lá,…

Công nghệ laser làm hồng nướu
Nha khoa Nhân Tâm hiện đang áp dụng công nghệ laser làm hồng nướu. Công nghệ này giúp khắc phục tình trạng nướu thâm đen (còn gọi là nhiễm sắc Melanin), làm cho nướu hồng hào trở lại.
Bên cạnh đó, công nghệ này có bước sóng rất thấp chỉ có 445 nm, trong khi những máy laser thông thường có bước sóng rất cao, hơn 500 nm. Vì thế, điều trị bằng công nghệ Laser Blue gần như không gây nên cảm giác đau, ít xâm lấn, kích thích lành thương.
Xem thêm: Răng bị nứt là do đâu? Làm sao để khắc phục?
Quy trình làm hồng nướu răng tại Nha khoa Nhân Tâm
Qua những thông tin trên, bạn có thể thấy rằng, có rất nhiều cách để làm hồng nướu răng. Mỗi cách sẽ sử dụng những thủ thuật riêng, những quy trình riêng.
Tuy nhiên, bạn có thể hình dung khái quát quy trình làm hồng nướu răng theo các bước như sau:
Bước 1: Thăm khám, tư vấn
Bác sĩ sẽ thăm khám tổng quát tình trạng răng miệng của khách hàng, xác định nguyên nhân và mức độ thâm nướu. Sau đó đưa ra phương án khắc phục và kế hoạch điều trị cụ thể.
Bước 2: Vệ sinh răng miệng
Đây là bước bắt buộc nhằm tránh tình trạng nhiễm trùng, lây nhiễm chéo. Ở bước này, bác sĩ có thể tiến hành gây tê với những trường hợp điều trị bằng phương pháp phẫu thuật ghép vạt nướu hoặc chiếu tia laser.
Bước 3: Tiến hành làm hồng nướu răng
Tùy vào từng phương pháp thực hiện mà việc làm hồng nướu răng sẽ được tiến hành theo những cách thực hiện khác nhau. Chẳng hạn nếu cạo vôi răng thì bác sĩ sẽ thực hiện cạo vôi răng bằng máy siêu âm hiện đại, còn nếu dùng laser thì bác sĩ sẽ chiếu tia laser vào nướu với tần số thích hợp.
Bước 4: Hướng dẫn cách chăm sóc
Sau khi hoàn tất quá trình điều trị nướu răng bị đen, bác sĩ sẽ hướng dẫn khách hàng cách chăm sóc răng miệng tại nhà, đồng thời hẹn lịch tái khám nếu có.

Nha khoa Nhân Tâm là địa chỉ nha khoa đáng tin cậy tại quận 10
Như vậy, tình trạng nướu răng bị đen hoàn toàn có thể khắc phục được. Điều quan trọng là bạn cần tìm cho mình địa chỉ nha khoa uy tín để được điều trị hiệu quả và an toàn.
Nếu có bất kỳ thắc mắc nào cần được giải đáp, hãy liên hệ ngay đến Nha khoa Nhân Tâm, các chuyên gia sẽ tư vấn cụ thể và hoàn toàn miễn phí cho bạn.
*Chụp phim X-Quang hoặc phim 3 chiều CT Cone Beam là một bước quan trọng trong quy trình điều trị phục hồi răng. Vì vậy Khách hàng sẽ được Bác sĩ của nha khoa Nhân Tâm chỉ định đến các cơ sở y tế đủ chức năng để thực hiện trước khi điều trị.



