Niềng răng là kỹ thuật chỉnh nha sử dụng các khí cụ nha khoa khá phổ biến hiện nay. Nhằm tạo ra một lực giúp dịch chuyển các răng trên cung hàm, sắp xếp các răng khuyết điểm như móm, hô, lệch lạc, răng thưa, lộn xộn … về vị trí mong muốn.
Từ đó có thể giúp khách hàng sở hữu một hàm răng đều đẹp, phù hợp nhất với gương mặt. Vậy sự thật trước và sau khi niềng răng thì gương mặt thay đổi như thế nào?
Hàm răng có ảnh hưởng gì đến khuôn mặt?
“Cái răng cái tóc là góc con người”. Từ xa xưa, dân gian ta đã xem răng, tóc là một trong những tiêu chuẩn để đánh giá vẻ đẹp của con người. Lý do đơn giản vì đây chính là những ấn tượng đầu tiên khi tiếp xúc với người đối diện.
Theo đó, người có hàm răng đều đẹp và trắng sáng sẽ góp phần tạo nên khuôn mặt tươi tắn, rạng rỡ, từ đó tạo sự tự tin trong giao tiếp, cười hoặc nói chuyện.
Trường hợp ngược lại, người có hàm răng không đều, khấp khểnh sẽ gây ảnh hưởng trực tiếp lên khuôn mặt khiến mặt mất cân đối, đặc biệt là nửa mặt dưới:
- Xương hàm và khuôn răng rộng trong cấu trúc giải phẫu của xương hoặc người có răng to, răng hô... sẽ khiến cho miệng to, rộng, thô và giảm sự hài hòa của khuôn mặt.
- Răng móm, hô, mọc lệch lạc, lệch khớp cắn... là những yếu tố gây mất cân đối cho mặt, trông thô cứng và có phần góc cạnh.
Vì những lý do trên, phương pháp niềng răng chỉnh nha được nhiều người tìm đến với ước muốn tạo ra sự thay đổi cho khuôn mặt trước và sau khi niềng răng theo hướng tích cực, cân đối và đẹp hơn.

Niềng răng chỉnh nha là phương pháp được nhiều người lựa chọn
Các bộ phận trên khuôn mặt trước và sau khi niềng răng thay đổi như thế nào?
Trước và sau khi niềng răng, những thay đổi tích cực dành cho khuôn mặt có thể bao gồm:
- Đối với người có hàm răng lệch lạc, gây cản trở cho khớp cắn, khiến khuôn mặt trông căng cứng, bị lệch hoặc rối loạn tư thế như vai nghiêng, cổ hơi hướng ra trước... Lúc này, sự thay đổi trước và sau khi niềng răng cả 2 hàm sẽ đưa khuôn mặt về tương quan đúng, làm thư giãn các cơ mặt vì các điểm cản trở được giải phóng, từ đó khuôn mặt sẽ được thư giãn, nhẹ nhàng và cân đối hơn.
- Với người có dấu hiệu mặt bị lệch do xương hàm dưới nằm sai vị trí, khuôn mặt trước và sau khi niềng răng sẽ được cân đối lại.
- Góc mũi là bộ phận có sự thay đổi rõ nhất: Ví dụ người bị hô, sau niềng răng, môi trên sẽ thu vào trong nên nhìn mũi có vẻ cao và thon gọn hơn. Tuy nhiên, người có mũi cao thực chất là do sự phát triển của xương sụn và độ dày của cánh mũi, hoàn toàn không liên quan đến khuôn xương răng hoặc khuôn xương hàm. Do đó, niềng răng chỉ có tác dụng làm cho răng đẹp hơn, khuôn mặt trở nên hài hòa hơn nên vô tình tạo cho chúng ta cảm giác chiếc mũi cao hơn.
- Vùng cằm: Những trường hợp khi được nâng khớp sẽ kéo lùi hàm dưới ra sau hay dàn đều các răng hàm dưới có thể làm cằm thon gọn hơn, đôi khi trông có vẻ dài ra và tạo dáng Vline.
- Sự thay đổi trước và sau niềng răng dễ nhận thấy nhất chính là hàm răng đều đặn, khỏe mạnh và dễ làm sạch hơn. Đồng thời, mô nướu cũng săn chắc và hồng hào, ít hoặc không bị viêm nhiễm như trước. Từ đó tạo nên một nụ cười khỏe mạnh, hấp dẫn, cải thiện được sự tự tin và kết quả mang đến khuôn mặt viên mãn và thu hút ánh nhìn hơn trước khi niềng.
- Ví dụ với người bị hô, răng hàm trên đưa ra trước khiến môi bị vểnh lên, vị trí môi vùng răng nanh cũng sẽ phồng ra khiến môi bị thiếu đường nét. Khi niềng răng, việc kéo hàm trên, hàm dưới lùi ra sau sẽ giúp môi không bị hếch lên nữa. Đồng thời, vị trí môi vùng răng số 2 và số 3 hơi cong vào sẽ giúp đôi môi mọng, hơi hội tụ vào giữa và tạo ra đường nét.

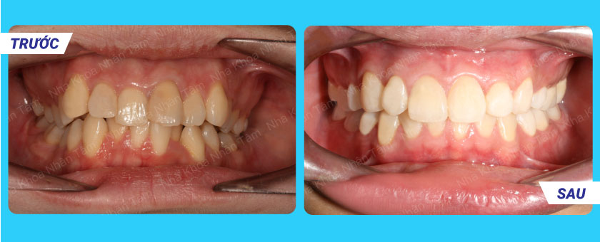
Trước và sau khi niềng răng tại Nha khoa Nhân Tâm
Những lưu ý khi niềng răng để đảm bảo hiệu quả cải thiện thẩm mỹ
Trước khi niềng: bạn cần chuẩn bị những yếu tố về tâm lý và sức khỏe, tham khảo ý kiến bác sĩ chuyên sâu về niềng răng để biết mình nên làm gì để niềng răng không đau, niềng răng không bị hóp má hay gây ảnh hưởng đến sức khỏe,...
Trong quá trình niềng: chú ý vấn đề chăm sóc và vệ sinh răng miệng, giữ cho răng sạch sẽ và khỏe mạnh để đảm bảo quá trình di chuyển của răng. Ngòi ra, bạn cần phải tái khám định kỳ đúng hẹn để nha sĩ kiểm tra mức độ di chuyển của răng, tăng lực siết răng,...
Sau khi niềng: để răng không bị chạy, trở về tình trạng hô ban đầu, bạn nên nghe theo lời dặn của nha sĩ, đeo hàm duy trì thường xuyên, tái khám đúng lịch để kiểm tra mức độ ổn định của răng.
Hình ảnh trước và sau niềng răng của khách hàng tại Nha khoa Nhân Tâm
Để hiểu rõ hơn về quá trình niềng răng thay đổi như thế nào, bạn hãy tham khảo ngay những cảm nhận trước và sau khi niềng răng của các khách hàng tại Nha khoa Nhân Tâm nhé.
Khách hàng Mai Trinh
“Đối với mình, niềng răng là quyết định rất khó khăn. Trước tiên là thời gian, thứ hai là thẩm mỹ và cuối cùng là việc ăn uống khi niềng răng. Tuy nhiên khi thực hiện niềng răng thì mọi việc không quá khó như mình tưởng tượng. Muốn đẹp thì phải cố gắng, mà niềng răng không chỉ đẹp, nó còn cho mình sự tự tin trong cuộc sống. Với mình niềng răng là cả một quá trình mà mình đã “vượt lên chính mình”. Nhìn hàm răng thay đổi làm khuôn mặt mình ngày càng đẹp hơn, thì mình thấy mọi sự cố gắng của mình là vô cùng xứng đáng.”

Khách hàng Thảo Nguyên
“Hồi đó em sợ đau nên không dám niềng răng, cứ đắn đo suy nghĩ mãi. Sau này thấy có rất nhiều bạn thay đổi và trở nên tự tin hơn sau khi niềng răng nên cuối cùng em cũng lấy hết can đảm vảo tìm đến Nha khoa Nhân Tâm. Hành trình niềng răng cũng đầy rẫy những khó khăn nhưng kết quả làm em thấy mọi chờ đợi, mọi nỗ lực đều xứng đáng. Sau khi niềng răng, em cảm thấy mình cười đẹp hơn, khuôn mặt thon gọn hơn, tự tin cười hơn. Xin gửi lời cảm ơn đến đội ngũ bác sĩ và nhân viên của Nha khoa Nhân Tâm đã hỗ trợ em tận tình để em có được hàm răng của ngày hôm nay.”

Với những hình ảnh trước và sau khi niềng răng trên, không thể phủ nhận niềng răng khiến khuôn mặt thay đổi rõ rệt. Tuy nhiên bạn cần biết răng, quá trình niềng răng thay đổi theo chiều hướng đẹp hơn hay xấu hơn sẽ còn tùy thuộc vào tình trạng răng, tay nghề bác sĩ cùng với thói quen chăm sóc răng miệng của bạn đấy.
Hy vọng với những chia sẻ trên đã giúp bạn giải tỏa được thắc mắc niềng răng trước và sau thay đổi như thế nào. Để trải nghiệm dịch vụ niềng răng chất lượng cao tại Nha khoa Nhân Tâm - một nha khoa gần đây tốt ở Sài Gòn, hãy liên hệ ngay đến Hotline 1900 56 5678, các chuyên gia sẽ tư vấn cụ thể và hỗ trợ nhanh chóng cho bạn.



