Răng cửa đều đẹp và trắng sáng sẽ giúp hàm răng có tính thẩm mỹ hơn, mang lại sự tự tin trong lúc giao tiếp. Vì một lý do mà răng cửa của bạn không còn nguyên vẹn, xỉn màu làm ảnh hưởng tới thẩm mỹ. Trám răng cửa chính là giải pháp hiệu quả để bạn khắc phục khuyết điểm. Câu hỏi trám răng cửa bao nhiêu tiền cũng được bật mí trong bài viết sau!
4 trường hợp nên trám răng cửa
Trám răng cửa thẩm mỹ có thể khắc phục những nhược điểm trên răng và cải thiện chức năng ăn nhai hiệu quả. Dưới đây là một vài trường hợp bạn nên đi trám răng cửa cụ thể như sau:
Răng cửa bị thưa nhẹ
Răng cửa bị thưa nếu bạn không khắc phục kịp thời thì thức ăn rất dễ bị mắc kẹt vào các khe hở. Sau đó gây sâu răng và làm khuôn mặt bị mất thẩm mỹ mỗi khi giao tiếp. Với trường hợp răng cửa bị thưa nhẹ thì phương án trám răng cửa bằng Composite là cách nhanh chóng và có tính thẩm mỹ cao nhất.
Răng cửa bị sứt mẻ hoặc gãy vỡ
Răng được xem là một bộ phận chắc khỏe nhất trên cơ thể con người. Nhưng trong một số trường hợp như: ăn nhai thức ăn quá cứng, bị chấn thương do tai nạn... thì bạn vẫn có thể làm răng cửa bị gãy, vỡ hoặc bị nứt nhẹ.
Vì thế, để khôi phục lại hình dạng ban đầu và hạn chế tác nhân làm răng bị viêm nhiễm hoặc tổn thương nặng hơn, các bạn nên trám răng cửa bị mẻ càng sớm càng tốt nhé!

Trường hợp nên trám răng cửa
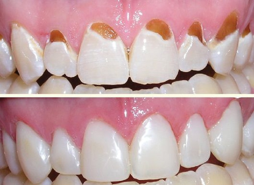
Răng cửa bị mòn men răng hoặc cổ răng
Trong trường hợp răng cửa bị mòn do nhiều nguyên nhân, bao gồm yếu tố bên trong lẫn tác động bên ngoài:
- Có thể bạn đã mắc phải các bệnh lý về răng miệng như: sâu răng, viêm nha chu hoặc áp xe răng làm ổ vi khuẩn tấn công vào men răng.
- Axit có trong thức ăn bám lâu ngày trên men răng, làm khô miệng và ăn mòn men răng.
- Nghiến răng cũng là bệnh lý răng miệng thuộc khớp cắn, để lâu dài sẽ làm mòn răng.
- Chải răng chiều ngang và tác động lực quá mạnh trong một thời gian dài sẽ làm mòn cổ răng và men răng.
Đầu tiên bạn nên đến nha khoa uy tín để bác sĩ trám răng cửa để bổ sung phần men răng bị mẻ, vỡ hoặc che phủ những lỗ sâu về răng miệng.
Bị sâu răng cửa
Răng sâu ở vị trí nào cũng cần phải được điều trị và loại bỏ những lỗ sâu, đặc biệt là răng cửa. Nguyên nhân chủ yếu làm sâu răng cửa thường là do ăn nhiều thức ăn chứa nhiều đường và tinh bột, uống nước ngọt, vệ sinh không đúng cách... làm các mảng thức ăn bị mắc kẹt ở kẽ răng gây sâu răng.
Vật liệu trám răng nào tốt nhất hiện nay?
Nhóm các răng cửa vừa có chức năng thẩm mỹ và chức năng ăn nhai nên khá quan trọng. Do đó, khi phục hình răng cửa bằng phương pháp trám răng đòi hỏi tính thẩm mỹ rất cao. Các bạn cần lựa chọn và sử dụng loại vật liệu trám răng tốt để đảm bảo thẩm mỹ và sử dụng lâu dài.

Vật liệu trám răng nào tốt nhất hiện nay
Đối với phương pháp trám răng cửa, vật liệu trám composite và fuji chính là hai loại vật liệu được sử dụng phổ biến nhất. So với những loại vật liệu khác như amalgam, xi măng thì vật liệu trám bằng composite và fuji có màu sắc khá giống với màu của răng thật nên đảm bảo tốt về mặt thẩm mỹ. Sau khi trám răng xong, chỗ trám sẽ cùng màu với răng thật, người đối diện nhìn vào rất khó nhận ra bạn vừa trám răng cửa.
Vật liệu trám composite có ưu điểm là đàn hồi khá tốt, chịu được lực lớn, tính dẻo nên dễ tạo hình. Đa phần các trường hợp trám răng hiện nay đều sử dụng loại vật liệu này. Vật liệu trám composite thường được sử dụng để phục hình cho nhiều vị trí răng cửa khác nhau như cổ răng, thân răng và cạnh cắn…
Trám răng cửa bao nhiêu tiền tại nha khoa Nhân Tâm?
Trám răng là một phương pháp phục hình răng hiệu quả với mức giá tiết kiệm. Đây cũng là lý do mà chúng được nhiều người lựa chọn. Hiện nay, trám răng cửa bao nhiêu tiền còn phụ thuộc vào nhiều yếu tố như vật liệu trám răng, số lượng răng cần trám và tình trạng của từng người.
Ở nha khoa Nhân Tâm có trám composite, trong đó còn có các loại vật liệu composite thế hệ sau với nhiều ưu điểm. Dưới đây là bảng giá trám răng cửa bạn có thể tham khảo:
Những điều cần lưu ý sau khi trám răng cửa
Sau khi trám răng cửa, để miếng trám được sử dụng bền lâu và có thể kéo dài tuổi thọ thì bạn nên lưu ý một số điều dưới đây:
- Không nên ăn ngay: Bởi vì chất liệu trám răng cần có thời gian làm đông lại hoàn toàn. Sau khi trám răng, bạn cần đợi khoảng 2 tiếng thì hãy ăn để tránh ảnh hướng đến chỗ trám.
- Hạn chế đồ ăn cứng, dai, quá nóng hoặc quá lạnh: do chỗ trám còn khá mới và chúng chưa thể thích nghi với lực nhai của bạn. Nếu bạn ăn đồ quá cứng, dai, quá nóng, lạnh có thể làm thay đổi độ bám dính, hình dạng và độ chịu lực của vật liệu trám. Có thể làm nứt hoặc rò rỉ ngay tại vị trí trám.
- Vệ sinh răng miệng: Bạn hãy chải răng ngày 2 lần/ sau bữa ăn 30 phút bằng bàn chải lông mềm. Kết hợp thêm chỉ nha khoa, nước súc miệng để làm sạch răng miệng một cách toàn diện. Nếu bạn phát hiện một điểm gồ lên làm bạn khó chịu, cảm thấy không thoải mái khi ăn nhai thì bạn hãy đến nha khoa để bác sĩ kiểm tra và ngăn chặn khả năng viêm nhiễm ở vết trám ngay.

Những điều cần lưu ý sau khi trám răng cửa
Hy vọng những thông tin về trám răng cửa bao nhiêu tiền sẽ giúp bạn lựa chọn được hình thức trám cho mình. Với đội ngũ bác sĩ giỏi, máy móc hiện đại và vật liệu trám chất lượng, Nha Khoa Nhân Tâm là địa chỉ uy tín bạn có thể an tâm mỗi khi điều trị.




