Cạo vôi răng là cách vệ sinh răng miệng định kỳ được các bác sĩ khuyên thực hiện 6 tháng một lần. Phương pháp này giúp bạn loại bỏ những mảng bám, cặn vụn thức ăn đã bị vôi hóa bởi vi khuẩn, muối canxi carbonat và calcium phosphate có trong nước bọt.
Thực hiện làm sạch các mảng bám trên răng cũng là cách để bạn phòng tránh một số bệnh như hôi miệng, chảy máu chân răng, sâu răng, viêm lợi…
Về câu hỏi giá cạo vôi răng thì ở mỗi nha khoa sẽ có mức áp dụng phí riêng cho dịch vụ này. Tại nha khoa Nhân Tâm, chi phí loại bỏ cao răng sẽ dao động từ 200.000 – 400.000 ngàn đồng, tùy thuộc vào độ khó cũng như mức độ nhiều hay ít cao răng của bạn.
Vôi răng là gì?
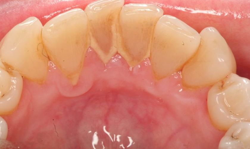
Tiến sĩ, Bác sĩ Võ Văn Nhân, Giám đốc nha khoa Nhân Tâm cho biết: Vôi răng hay còn được gọi là cao răng. Đây là những mảng bám, vụn thức ăn dư thừa còn dính ở chân và nướu răng. Theo thời gian, các mảng bám này sẽ bị vôi hóa và trở nên cứng hơn.
Đánh răng và súc miệng thông thường sẽ không thể loại bỏ được chúng. Thay vào đó, cần phải nhờ tới sự can thiệp của các dụng cụ nha khoa chuyên dụng thì mới có thể làm sạch được các mảng bám này và trả lại sự trắng sáng cho răng.

Vôi răng bám tụ lâu ngày sẽ gây hôi miệng và nhiều bệnh nguy hiểm khác
Bác sĩ Nhân khuyến cáo, ngoài việc đánh răng mỗi ngày thì cạo vôi răng định kỳ tại nha khoa cũng là cách mà mỗi người cần thực hiện. Bởi nếu để tích tụ lâu này, vôi răng sẽ gây nên các bệnh lý như hôi miệng, chảy máu nướu, sưng nướu, viêm nha chu cùng nhiều bệnh về họng khác.
Cạo vôi răng giá bao nhiêu tiền hiện nay?
Giá cạo vôi răng là bao nhiêu là thắc mắc của hầu hết mọi người khi có ý định lựa chọn phương pháp này để làm sạch răng và bảo vệ sức khỏe răng miệng. Trên thực tế, rất khó để đưa ra con số cụ thể cho giá lấy vôi răng. Bởi mức giá này sẽ phụ thuộc vào các yếu tố như:
Vôi răng nhiều hay ít:
Giá cạo vôi răng sẽ tùy thuộc vào mức độ vôi răng nhiều hay ít. Với những người có vôi răng ít, không mắc phải các bệnh lý răng miệng nào thì chi phí tương đối thấp.
Ngược lại, nếu vôi răng hình thành nhiều và gây ra các bệnh lý răng miệng như sâu răng, viêm nướu, viêm nha chu,… thì có thể phải điều trị các bệnh lý này, cho nên chi phí cũng sẽ cao hơn.
Công nghệ áp dụng:
Trước đây, để cạo vôi răng thì bác sĩ thường sử dụng các dụng cụ thủ công, tác động nhiều đến men răng, đồng thời có thể gây đau, chảy máu và ảnh hưởng đến sức khỏe răng miệng. Hiện nay, các nha khoa hiện đại thường áp dụng công nghệ cạo vôi răng bằng sóng siêu âm, giúp lấy vôi răng một cách nhanh chóng, nhẹ nhàng, không đau.
Vì thế, chi phí cạo vôi răng hiện đại có thể cao hơn với cạo vôi răng truyền thống, tuy nhiên kết quả mà bạn nhận được hoàn toàn xứng đáng.
Chất lượng dịch vụ nha khoa:
Thông thường, những nha khoa lớn, uy tín, có cơ sở vật chất hiện đại, trang thiết bị tiên tiến, đội ngũ y bác sĩ giỏi, cùng với đó là hệ thống vô trùng khép kín, loại bỏ nguy cơ lây nhiễm chéo. Đây cũng chính là lý do mà chi phí cạo vôi răng ở những địa chỉ này sẽ cao hơn so với những địa chỉ kém uy tín.

Giá cạo vôi răng còn tùy thuộc vào rất nhiều yếu tố
Cạo vôi răng giá bao nhiêu tại nha khoa Nhân Tâm?
Khi tìm hiểu về giá cạo vôi răng, chắc hẳn bạn sẽ nhận thấy rõ sự chênh lệch giữa các nha khoa với nhau. Điều này là hết sức bình thường, bởi mỗi địa chỉ thực hiện cạo vôi răng sẽ có đội ngũ y bác sĩ có tay nghề, trình độ khác nhau, sử dụng máy móc công nghệ khác nhau và hơn cả là sự uy tín, chất lượng đã làm nên thương hiệu riêng của họ.
Tuy nhiên, nhìn chung cạo vôi răng giá sẽ không quá cao, nó chỉ dao động ở mức vài trăm ngàn đồng. Do vậy bạn không cần phải quá lo lắng, thay vào đó là cần thực hiện theo đúng lời khuyên của bác sĩ là 6 tháng một lần và quan trọng nhất là phải lựa chọn được những nha khoa uy tín.

Nha khoa Nhân Tâm hội tụ đội ngũ y, bác sĩ giỏi chuyên môn, giàu kinh nghiệm
Hiện nay, chi phí cạo vôi răng tại nha khoa Nhân Tâm dao động từ 200.000 - 400.000 ngàn đồng, tùy thuộc vào mức độ và tình trạng răng miệng của mỗi người. Cụ thể, với những trường hợp vôi răng trên nướu thì giá sẽ thấp hơn trường hợp cạo vôi răng dưới nướu.
Chính vì vậy, để biết chính xác mức giá cho trường hợp của bạn là bao nhiêu thì tốt nhất bạn nên đến nha khoa Nhân Tâm để được chúng tôi kiểm tra tình trạng răng. Sau đó đưa ra phương pháp làm sạch cao răng phù hợp rồi xác định cụ thể mức chi phí.
Bao lâu nên lấy vôi răng 1 lần?
Bên cạnh vấn đề cạo vôi răng bao nhiêu thì bao lâu nên cạo vôi răng 1 lần cũng là câu hỏi được nhiều người quan tâm. Các bác sĩ nha khoa cho biết, bạn nên đi khám nha khoa định kỳ và thực hiện cạo vôi răng vào khoảng 6 tháng/lần.
Một số trường hợp đặc biệt như sâu răng, viêm nướu, viêm chân răng,… thì bác sĩ sẽ chỉ định lấy vôi răng 3 tháng/lần. Việc lấy vôi răng sẽ ngăn chặn bệnh chuyến biến nặng hơn và giúp quá trình điều trị đạt kết quả tốt hơn.
Cách chăm sóc răng sau khi cạo vôi
Các chuyên gia cho biết, sau khi cạo vôi xong, răng và nướu vẫn còn yếu và chưa được ổn định. Vì thế, nếu không được chăm sóc đúng cách, thì răng miệng rất dễ bị vi khuẩn tấn công và mảng bám nhanh chóng tích tụ trở lại. Vậy nên bạn cần lưu ý những điều sau:
Không sử dụng các loại thức ăn có nhiệt độ quá nóng hoặc quá lạnh ngay khi vừa cạo vôi răng. Vì nhiệt độ quá cao hoặc quá thấp sẽ khiến răng dễ ê buốt và tăng sự nhạy cảm của răng.
Đánh răng ít nhất 2 lần/ngày vào mỗi sáng và mỗi tối trước khi đi ngủ. Khi chải răng, bạn nên chải một cách nhẹ nhàng bằng bàn chải lông mềm và kem đánh răng có chứa fluor.
Sử dụng chỉ nha khoa sau mỗi bữa ăn để loại sạch các thức ăn thừa còn dính trong kẽ răng. Chải răng bằng bàn chải lông mềm vào hai buổi sáng và tối. Sau khi chải răng có thể súc miệng với nước muối loãng để tăng tính sát khuẩn.

Cần chăm sóc răng miệng kỹ lưỡng sau khi cạo vôi răng
Xây dựng chế độ ăn uống hợp lý, khoa học. Tăng cường sử dụng rau củ và trái cây tươi để bổ sung vitamin, Bên cạnh đó, bạn nên hạn chế ăn các thực phẩm quá dai, dẻo vì chúng dễ bám vào răng hình thành vôi răng, ngoài ra không nên ăn các thực phẩm quá nóng hoặc quá lạnh vì có thể gây tổn hại đến men răng, khiến răng bị ê buốt khi ăn uống.
Hạn chế hút thuốc lá, uống rượu bia hay các thực phẩm sẫm màu, nhiều axit như trà, cà phê, nước ngọt, socola, nước tương,… sau khi vừa lấy vôi răng.
Đặc biệt, mỗi năm bạn nên đến nha khoa để lấy vôi răng từ 2 – 3 lần, vừa làm sạch các mảng bám lại vừa được bác sĩ kiểm tra sức khỏe răng miệng kịp thời.
Có thể nói cạo vôi răng không chỉ mang lại vẻ đẹp thẩm mỹ, sự tự tin cho bạn khi giao tiếp, mà nó còn giúp phòng tránh rất nhiều các bệnh lý nha khoa nguy hiểm. Do đó bạn nên lựa chọn các nha khoa có chất lượng để thực hiện.
Một trong những trung tâm nha khoa được đông đảo khách hàng tin tưởng lựa chọn đó chính là Nha khoa Nhân Tâm.
Nơi đây không chỉ quy tụ đội ngũ bác sĩ nha khoa giỏi, giàu kinh nghiệm mà còn ứng dụng công nghệ hiện đại nhất hiện nay trong việc cạo vôi răng, đó là máy cạo vôi răng siêu âm, đặc biệt quy trình thực hiện theo tiêu chuẩn Y khoa quốc tế, tuân thủ nghiêm ngặt yếu tố vô trùng, cùng với đó là dịch vụ chăm sóc khách hàng chu đáo, tận tình.

Nha khoa Nhân Tâm là trung tâm nha khoa uy tín hàng đầu hiện nay
Hy vọng rằng những thông tin trên đây đã giúp bạn giải đáp được thắc mắc về giá cạo vôi răng và biết được những lưu ý cần thiết sau khi cạo vôi răng. Nếu bạn đang tìm kiếm một địa chỉ cạo vôi răng giá hợp lý mà lại an toàn chất lượng thì hãy liên hệ ngay với Nha khoa Nhân Tâm qua số máy 1900 56 5678 để được tư vấn cụ thể.




