Răng hô hay răng vẩu là hiện tượng răng, xương hàm hoặc cả răng và xương hàm đều nhô ra trước quá nhiều.
Cách nhận biết răng hô chính xác nhất là chụp X – quang toàn hàm, thông qua hình ảnh trên phim chụp, bác sĩ có thể đánh giá nguyên nhân gây hô, tiến hành một số kỹ thuật khác để tính toán tỉ lệ hô và tư vấn cho khách hàng biện pháp khắc phục hiệu quả nhất.
Khái niệm về răng hô
Răng hô hay răng vẩu là hiện tượng răng, xương hàm hoặc cả răng và xương hàm đều nhô ra trước quá nhiều.
Tình trạng trên không chỉ gây cản trở hoạt động ăn uống, nhai cắn mà còn làm giảm thẩm mỹ gương mặt, tạo tâm lý tự ti khi giao tiếp, gây tác động không nhỏ tới cuộc sống thường ngày và cơ hội thăng tiến trong công việc. Đây cũng là lý do mà cách nhận biết răng hô cũng như phương pháp điều trị răng hô lại được nhiều người quan tâm đến vậy.
Cách nhận biết răng hô
Cách nhận biết răng hô đơn giản nhất là quan sát bằng mắt thường, đặc biệt góc nghiêng của khuôn mặt, bạn sẽ thấy hàm răng trên nhô ra trước. Lúc này 4 điểm là đầu mũi, môi trên, môi dưới và cằm không nằm trên một đường thẳng, môi của người bị hô sẽ nằm phía trước đường nối từ mũi đến cằm. Tuy nhiên, nếu chỉ nhìn bằng mắt thường thì rất khó phân biệt hô do răng hay hô do hàm.
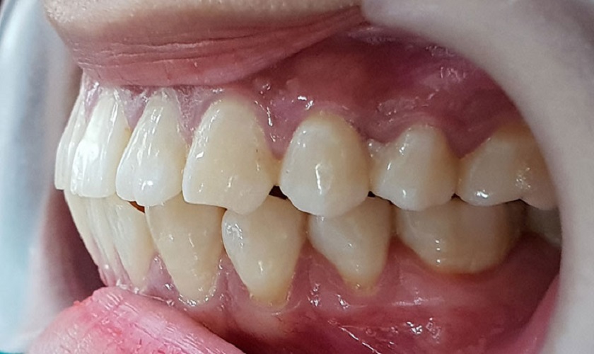
Hô do răng

Hiện tượng hô do răng
Hô do răng là tình trạng hô xuất phát từ nguyên nhân răng mọc không đúng vị trí hoặc do các răng cửa phát triển với kích lớn hơn bình thường làm chúng bị chìa ra ngoài ít hoặc nhiều. Khi nhìn bằng mắt thường sẽ thấy các răng trên cung hàm không mọc song song nhau theo hướng thẳng đứng mà sẽ mọc chìa ra ngoài. Lúc này, cung răng ở hàm trên bị hẹp vào trong nên hiện tượng hô răng lộ ra rõ rệt.
Hô do xương
Hô do xương hay hô hàm là hiện tượng xương hàm trên tăng trưởng nhiều hơn xương hàm dưới hoặc cả hai hàm đều tăng trưởng quá mức và nhô ra phía trước nhiều hơn so với xương của toàn bộ gương mặt.
Khi cười, hô hàm thường khiến người mắc có hiện tượng cười hở lợi. Quan sát từ góc nghiêng bạn sẽ thấy khuôn mặt không được cân đối do khuôn miệng bị nhô ra phía trước so với trán và cằm làm giảm đáng kể tính thẩm mỹ.

Tình trạng hô do xương
Trong một số trường hợp, tình trạng hô có thể xuất phát từ cả hai tình trạng hô răng và hô hàm khi các răng mọc chỉa ra ngoài và xương hàm trên tăng trưởng quá mức. Đây được xem là tình trạng hô phức tạp nhất bao gồm tất cả các dấu hiệu nói trên.
Cách nhận biết răng hô chính xác nhất là chụp X – quang toàn hàm, thông qua hình ảnh trên phim chụp, bác sĩ có thể đánh giá nguyên nhân gây hô, tiến hành một số kỹ thuật khác để tính toán tỉ lệ hô và tư vấn cho khách hàng biện pháp khắc phục hiệu quả nhất.
Biện pháp khắc phục răng hô
Khắc phục hô do răng
Giải pháp điều trị hô do răng hiệu quả nhất hiện nay được các bác sĩ nha khoa khuyến khích áp dụng là niềng răng. Biện pháp này có thể áp dụng cho cả trẻ em và người lớn, tiến hành càng sớm thì thời gian đeo niềng càng ngắn và hiệu quả mang lại càng cao.
Niềng răng hô sử dụng các khí cụ là mắc cài, dây cung hoặc khay niềng trong suốt để tạo lực nắn kéo, sắp xếp lại các răng về đúng vị trí như mong muốn. Thời gian niềng thường diễn ra trong khoảng 18 đến 24 tháng tùy vào mức độ sai lệch thực tế.

Niềng răng giúp cải thiện hiệu quả hô do răng
Khắc phục hô do xương
Với những người bị hô do xương thì niềng răng không phải lựa chọn tốt mà cần thực hiện phẫu thuật chỉnh hàm. Biện pháp này sẽ trực tiếp can thiệp đến xương hàm để điều chỉnh hàm hô bằng cách cắt đi một phần xương hàm.
Chữa trị hô do cả răng và xương
Những trường hợp hô phức tạp với nguyên nhân đến từ cả răng và xương thì bác sĩ sẽ chỉ định kết hợp cả chỉnh nha và phẫu thuật hàm với mục đích giúp xương hàm và răng trở nên hài hòa, cân đối.
Vậy là, cách nhận biết răng hô cũng như những biện pháp khắc phục trong từng trường hợp đã được Nha khoa Nhân Tâm tổng hợp trong bài viết trên. Để được khám và tư vấn về tình trạng răng với các bác sĩ chuyên khoa giàu kinh nghiệm, bạn hãy liên hệ với Nha khoa Nhân Tâm theo số điện thoại 1900 56 5678.
*Chụp phim X-Quang hoặc phim 3 chiều CT Cone Beam là một bước quan trọng trong quy trình điều trị phục hồi răng. Vì vậy Khách hàng sẽ được Bác sĩ của nha khoa Nhân Tâm chỉ định đến các cơ sở y tế đủ chức năng để thực hiện trước khi điều trị.



