Răng sâu vào tủy nếu không được điều trị ngay, viêm nhiễm sẽ đi sâu xuống chóp răng và lan rộng ra các tổ chức lân cận gây ra nhiều biến chứng nặng nề, ảnh hưởng nghiêm trọng đến chức năng ăn nhai, thẩm mỹ và thậm chí có thể tử vong.
Nhiễm trùng chóp răng sẽ tạo thành nang chân răng. Với những nang to trong xương hàm sẽ gây ra phá hủy tổ chức xương nhiều, việc chữa trị cực kỳ phức tạp và để lại rất nhiều di chứng nặng nề, thậm chí không thể hồi phục lại chức năng ăn nhai, không thể tái tạo chức năng thẩm mỹ cũng như ảnh hưởng nghiêm trọng đến chất lượng cuộc sống.
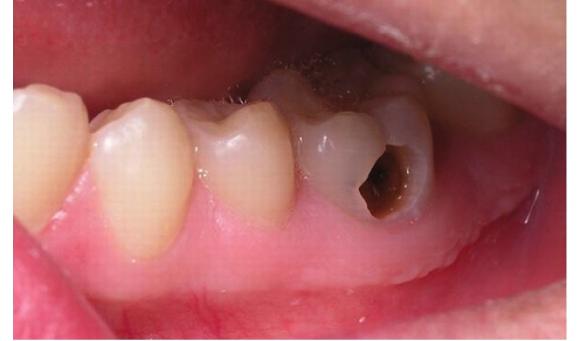
Có nên nhổ răng sâu không?
Sâu răng là bệnh lý răng miệng mà rất nhiều người gặp phải. Bệnh này xảy ra khi vi khuẩn, mảng bám tích tụ nhiều và ăn mòn men răng dẫn đến hình thành các lỗ sâu trên bề mặt răng.
Biểu hiện ban đầu của răng sâu chỉ là những đốm đen nhỏ, nhưng nếu không được xử lý kịp thời sẽ phát triển thành các lỗ sâu lớn.
Tuy nhiên không phải vì vậy mà có suy nghĩ cứ răng bị sâu là phải nhổ. Với các lỗ sâu nhỏ và không quá nghiêm trọng, bác sĩ sẽ sử dụng các kỹ thuật nha khoa như trám răng hoặc bọc sứ để điều trị.
Nhưng đối với những chiếc răng bị sâu quá nặng, các phương pháp thông thường sẽ không thể “cứu chữa” được.
Lúc này bác sĩ buộc phải nhổ răng để giúp khách hàng không phải tiếp tục chịu các cơn đau nhức hành hạ. Quan trọng hơn là có thể loại bỏ nguy cơ nhiễm trùng răng.
Nếu không nhổ, răng sâu có thể dẫn đến nhiều biến chứng nguy hiểm như viêm, nhiễm trùng sang các bộ phận khác,….
Do đó, quyết định có nên nhổ răng sâu hay không còn phụ thuộc phần lớn vào tình trạng răng và chẩn đoán của bác sĩ.
Vì vậy, bạn nên tìm đến các cơ sở nha khoa uy tín để nhận được những lời khuyên cùng cách xử lý phù hợp nhất.

Răng sâu nếu không nhổ bỏ sẽ dẫn đến nhiều biến chứng nguy hiểm cho răng miệng
Nhổ răng sâu có đau không?
Vốn dĩ khi răng bị sâu đến mức phải nhổ bỏ thì hầu hết khách hàng đều đang hứng chịu những cơn đau nhức khá dữ dội. Do đó, vấn đề nhổ răng sâu có đau không lại càng được quan tâm.
Nhưng bạn hãy hoàn toàn yên tâm, trong suốt quá trình nhổ răng sâu sẽ KHÔNG ĐAU một chút nào. Đó là vì trước khi điều trị sâu răng, chữa tủy hay loại bỏ răng sâu thì bác sĩ đã tiêm thuốc tê.
Như vậy vùng nướu xung quanh răng sâu cần nhổ bỏ đã bị tê liệt & mất cảm giác tạm thời. Vì thế nếu bạn có cảm thấy đau thì chỉ là lượng thuốc tê chưa đủ hoặc do tâm lý mà thôi.
Sau khi nhổ răng vài giờ thì thuốc tê sẽ hết tác dụng, lúc này cơ thể bắt đầu sẽ cảm nhận được cơn đau nhức và khó chịu ở khu vực mới nhổ răng sâu.
Tùy vào sức chịu đựng, cơ địa của mỗi người mà mức độ đau cảm nhận sẽ khác nhau. Có người cảm thấy đau nhiều nhưng cũng có người lại không thấy khó chịu gì
Tuy nhiên, cơn đau sẽ dịu dần đi khi dùng 1 – 2 viên thuốc giảm đau và thường sẽ chấm dứt hoàn toàn sau 4 – 5 ngày.
Trường hợp đau nhức nếu kéo dài nhiều ngày, bạn nên đến các cơ sở y tế để được kiểm tra và xử lý kịp thời nếu có biến chứng xảy ra.
Xem thêm: Nhổ răng số 7 có gây nguy hiểm không?
Nhổ răng sâu có gây nguy hiểm không?

Nhổ răng khôn có gây nguy hiểm cho sức khoẻ không?
Do những chiếc răng sâu thường chứa rất nhiều vi khuẩn, kết hợp với nhiều thông tin trên internet về vấn đề gặp biến chứng sau khi nhổ răng sâu.
Vì vậy mà nhiều khách hàng thắc mắc, băn khoăn không biết khi nhổ răng sâu có gây nguy hiểm không? Liệu rút chân răng ra rồi có làm cho vi khuẩn lây lan ra xương hàm hay mạch máu không,…
Bạn hoàn toàn có thể yên tâm vì kỹ thuật nha khoa gần đây ngày này đã phát triển ở mức độ rất cao. Do đó, việc nhổ răng sâu không gây nguy hiểm như nhiều người vẫn nghĩ.
Những ổ vi khuẩn của răng sâu thường chỉ mới tập trung ở bên trong răng. Khi nhổ bỏ, bác sĩ sẽ rút toàn bộ cấu trúc răng ra ngoài nên sẽ không có hiện tượng vi khuẩn bị lây lan.
Còn với trường hợp vi khuẩn đã ăn xuống tủy hay xương hàm, bác sĩ cũng sẽ có những kỹ thuật nội nha chuyên sâu để điều trị và khắc phục.
Tất nhiên, để đảm bảo an toàn tuyệt đối cho bản thân khi thực hiện nhổ răng sâu, bạn nên lựa chọn những phòng khám nha khoa lớn, uy tín và có trình độ cao.
Điều này sẽ giúp bạn phòng tránh các biến chứng có thể xảy ra như nhiễm trùng do dụng cụ không được vô trùng, hay sốc thuốc tê do bác sĩ không biết căn chỉnh liều lượng hợp lý,…

Nhổ răng sâu tại Nha khoa Nhân Tâm
Nhổ răng sâu có đau không? hoặc nhổ răng sâu có không nguy hiểm hay gây ra ảnh hưởng gì đối với sức khỏe không? hoàn toàn phụ thuộc vào việc lựa chọn địa chỉ nha khoa đáng tin cậy của bạn. Do đó, hãy đến với Nha khoa Nhân Tâm để trải nghiệm dịch vụ tuyệt vời của chúng tôi! Liên hệ ngay nếu bạn còn những câu hỏi chưa hiểu rõ – chuyên gia của chúng tôi sẽ hỗ trợ giải đáp nhanh gọn và đầy đủ nhất.



