Viêm nướu răng có mủ là bệnh lý có thể gặp ở bất kỳ ai. Bệnh thường có biểu hiện như: nướu bị sưng đỏ, có mủ trắng bên trong, gây đau nhức khó chịu. Bệnh này nếu không điều trị kịp thời sẽ dẫn đến những biến chứng vô cùng nguy hiểm như: mất răng, nhiễm trùng máu, thậm chí là tử vong.
Nguyên nhân gây viêm nướu răng có mủ
Viêm nướu răng có mủ được xem là biểu hiện của việc nhiễm trùng ở mô nướu. Đây là bệnh lý răng miệng khá phổ biến, có thể xuất hiện ở bất kỳ ai. Nguyên nhân gây nên hiện tượng này thường là do:
Do chấn thương
Răng khi gặp phải chấn thương dẫn đến nứt, mẻ, gãy, tủy răng lộ ra ngoài,... có thể gây nên tình trạng viêm nhiễm. Nếu không được thăm khám và khắc phục kịp thời sẽ tiến triển nặng hơn, hình thành ổ mủ ở nướu hoặc áp xe chân răng.
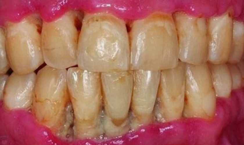
Do bệnh nha chu
Bệnh nha chu là tiến triển của bệnh viêm nướu. Thông thường, bệnh ở giai đoạn đầu có triệu chứng rất mờ nhạt, khiến nhiều người chủ quan không đến nha khoa để thăm khám. Khi bệnh phát triển nặng, nướu có thể bị sưng phồng, mưng mủ.

Bệnh nha chu có thể là nguyên nhân dẫn đến viêm nướu răng có mủ
Do mọc răng khôn
Răng khôn là chiếc răng mọc cuối cùng trên cung hàm, khi nướu và xương hàm đã phát triển ổn định, cứng chắc, các răng khác đã mọc lên hết.
Vì thế, răng khôn thường mọc ngầm, mọc lệch, xâm lấn với các răng khác, gây đau buốt, khó chịu và ảnh hưởng tiêu cực đến sức khỏe răng miệng, trong đó có bệnh viêm nướu răng có mủ.
Do chăm sóc răng miệng không đúng cách
Việc đánh răng không đúng cách, sử dụng bàn chải cứng với lực tác động quá mạnh sẽ khiến cho nướu răng bị tổn thương và gây nên tình trạng viêm nhiễm.
Bên cạnh đó, thói quen sử dụng tăm xỉa răng, dùng răng mở nắp chai, ăn nhai các vật cứng,... cũng là nguyên nhân hình thành bệnh viêm nướu răng có mủ.
Do thay đổi nội tiết khi mang thai
Phụ nữ mang thai sẽ có sự thay đổi nội tiết tố, trong đó Estrogen và Progestin sẽ tăng cao khiến cho mao mạch nướu phình to ra và tăng khả năng bị viêm nướu.
Do đó, nếu trong quá trình mang thai mà không vệ sinh, chăm sóc răng miệng đúng cách sẽ rất dễ khiến nướu bị sưng phồng, chảy máu, thậm chí là có mủ.
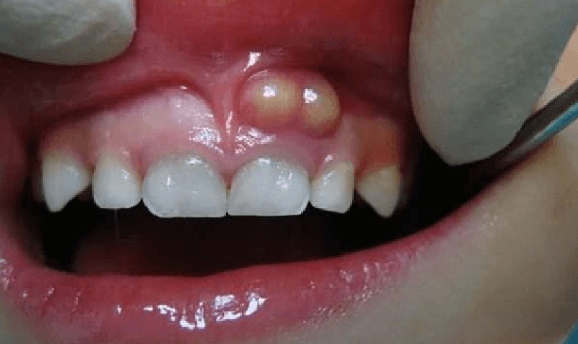
Ảnh hưởng của bệnh viêm nướu răng có mủ
Viêm nướu răng có mủ không chỉ gây đau nhức, khó chịu mà còn có thể gây ra một số biến chứng nguy hiểm, ảnh hưởng đến sức khỏe răng miệng và toàn thân của bệnh nhân.
- Về sức khỏe răng miệng: Tình trạng viêm nướu có mủ gây đau nhức, sưng tấy nếu kéo dài sẽ làm cho các mô quanh răng và xương ổ răng bị tiêu đi, lâu dần sẽ làm răng bị yếu và lung lay, dẫn đến mất răng.
- Về sức khỏe toàn thân: Tình trạng viêm nhiễm sẽ khiến vi khuẩn trong khoang miệng luôn ở mức cao, có thể xâm nhập vào máu và gây hại cho các cơ quan trong cơ thể như: hệ hô hấp, hệ tuần hoàn, phổi,...

Viêm nướu răng có mủ gây ảnh hưởng nghiêm trọng đến sức khỏe răng miệng
Cách điều trị viêm nướu răng có mủ
Điều trị tại nhà
Đối với những trường hợp viêm nướu răng có mủ ở giai đoạn nhẹ, bạn có thể áp dụng một số cách như sau:
- Súc miệng bằng nước muối ấm để tiêu diệt vi khuẩn gây hại, giảm viêm nhiễm và xoa dịu cơn đau nhức.
- Sử dụng túi trà đã lọc đắp lên vùng nướu răng đang bị viêm cũng là cách giúp làm giảm đáng kể các triệu chứng khó chịu.
- Dùng mật ong thoa trực tiếp lên vùng nướu răng bị viêm, mật ong có tác dụng sát khuẩn, khám viêm, giảm sưng đau rất tốt.

Mật ong là cách giảm sưng viêm rất tốt
Điều trị tại nha khoa
Những phương pháp điều trị tại nhà chỉ có tác dụng giảm triệu chứng khó chịu do bệnh gây ra. Để điều trị triệt để, bạn cần đến nha khoa để bác sĩ thăm khám và đưa ra giải pháp khắc phục phù hợp nhất.
- Trường hợp bệnh nhân có vôi răng nhiều, bác sĩ sẽ loại bỏ vôi răng bằng dụng cụ chuyên dụng. Sau đó nạo sạch túi mủ và đánh bóng bề mặt răng.
- Trường hợp bệnh nhân bị viêm nướu răng có mủ do bệnh lý về tủy thì có thể thực hiện chữa tủy và bọc răng sứ để bảo vệ răng được tốt nhất.
- Trường hợp nướu bị tổn thương nghiêm trọng, bác sĩ có thể tiến hành ghép vạt nướu, ghép xương ổ răng để tái tạo mô nướu.
- Trường hợp răng và các mô xung quanh bị tổn thương quá nặng, không thể điều trị được thì bác sĩ bắt buộc phải nhổ răng và loại bỏ ổ vi khuẩn để không làm lây lan sang các răng khác.
Xem thêm: Viêm nha chu ở trẻ em là gì? Điều trị viêm nha chu thế nào?

Cạo vôi răng là một trong những cách điều trị viêm nướu răng có mủ
Trên đây là những thông tin chia sẻ về tình trạng viêm nướu răng có mủ. Nếu gặp phải tình trạng này, hãy nhanh chóng đến ngay nha khoa gần đây và uy tín nhất để được bác sĩ thăm khám và điều trị kịp thời.



