Có nhiều nguyên nhân dẫn tới tình trạng đau đớn sau cấy ghép implant chẳng hạn như: Trang thiết bị máy móc thô sơ, vị trí cắm implant gần dây thần kinh, trụ implant kém chất lượng…
Để giảm răng implant bị đau sau khi phẫu thuật cấy ghép hãy tuân thủ uống thuốc theo chỉ dẫn, chườm đá vùng má ở vị trí cấy ghép implant, chải sạch răng bằng bàn chải lông mềm, hạn chế sử dụng thuốc lá...
Cấy răng là một kỹ thuật tiên tiến, đòi hỏi lượng lớn máy móc, thiết bị y tế chuyên dụng. Vì vậy, việc lựa chọn một nha khoa uy tín sẽ giúp bạn không phải lo lắng cấy implant bị đau hoặc có biến chứng.
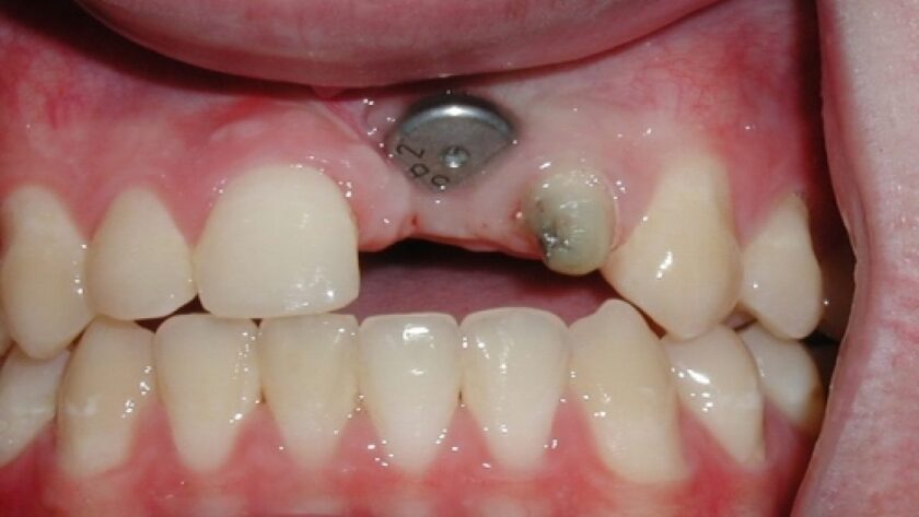
Nguyên nhân răng implant bị đau nhức sau khi cấy ghép
Có nhiều nguyên nhân dẫn tới tình trạng đau đớn sau cấy ghép implant chẳng hạn như: Trang thiết bị máy móc thô sơ, vị trí cắm implant gần dây thần kinh, trụ implant kém chất lượng… Tuy nhiên, dưới đây là 3 nguyên nhân chính dẫn đến việc trồng răng implant bị đau:

Có nhiều nguyên nhân dẫn tới tình trạng đau đớn sau cấy ghép implant
Do bệnh lý răng miệng
Nguyên nhân gây đau khi cấy ghép răng implant có thể là do bệnh lý răng miệng. Các bệnh lý chẳng hạn như viêm nướu, viêm nha chu… nếu không được điều trị đúng cách trước khi thực hiện cấy ghép có thể gây ra tổn thương nghiêm trọng hơn sau khi trồng implant và gây đau. Thậm chí, viêm nha chu không được điều trị kịp thời có thể gây nhiễm trùng và các biến chứng nguy hiểm sau khi đặt implant.
Do tay nghề và kinh nghiệm của bác sĩ
Kỹ thuật của bác sĩ là tiêu chí chính để đánh giá một ca cấy ghép implant thành công. Nếu bác sĩ cấy ghép không đúng vị trí sẽ dễ dẫn đến sự khác biệt giữa implant và răng sứ, cũng như gây cảm giác khó chịu và đau nhức cho khách hàng. Thậm chí, nếu thao tác của bác sĩ thiếu chuyên nghiệp và thiếu chính xác, sẽ vô tình làm hỏng các mô mềm làm cho việc cấy ghép răng bị đau. Bạn nên chọn bác sĩ cấy ghép uy tín để được điều trị an toàn.

Nếu bác sĩ cấy ghép không đúng vị trí sẽ dễ dẫn đến đau đớn
Răng sứ không đúng thông số
Răng sứ đặt trên implant đóng vai trò rất quan trọng. Răng sứ được chế tạo không đúng thông số sẽ làm răng implant bị đau. Vì răng sứ là nơi tiếp xúc trực tiếp với thức ăn nên nếu không đúng bạn sẽ không thể ăn nhai như bình thường được.

Răng sứ được chế tạo không đúng thông số sẽ làm răng implant bị đau
Cách giảm đau nhức sau khi cắm Implant
Sử dụng thuốc giảm đau theo chỉ dẫn của bác sĩ
Bác sĩ sẽ kê một số loại thuốc giảm đau và chống viêm sau khi cấy ghép để giúp bạn cảm thấy thoải mái và giảm khó chịu trong vài ngày đầu. Bạn phải cẩn thận khi dùng thuốc, đúng liều lượng, đúng thời gian theo chỉ định của bác sĩ.
Ngoài ra, bạn vui lòng không mua thuốc bên ngoài về sử dụng vì không đảm bảo hiệu quả giảm đau. Điều đó còn có thể mang lại một số tác dụng phụ không mong muốn. Và nếu các loại thuốc bác sĩ kê đơn không làm giảm cơn đau của bạn, hãy đến gặp bác sĩ ngay lập tức.

Thuốc giảm đau giúp bạn giúp bạn cảm thấy thoải mái hơn
Làm mát vùng đau
Chườm đá lên vùng răng implant bị đau ngay sau khi cấy ghép là một cách nhanh chóng và dễ dàng để giảm đau. Dùng khăn sạch quấn túi đá và nằm nghiêng khoảng 20 phút trong 1-2 ngày đầu giúp bạn cảm thấy thoải mái hơn. Tuy nhiên, bạn nên thay đá sau 20 phút sử dụng và kết hợp với dùng thuốc giảm đau sẽ mang lại hiệu quả nhanh chóng.

Chườm đá là một cách nhanh chóng và dễ dàng để giảm đau
Có một chế độ ăn uống hợp lý
Sau khi cấy ghép răng, bạn nên ăn thức ăn lỏng và mềm, đồ uống ít đường, không ăn nóng. Hãy ăn cháo, súp, hoa quả có màu đỏ… Những thực phẩm này sẽ giúp bạn giảm đau do vị trí trụ titan còn non yếu, không chịu được áp lực khi nhai quá mạnh. Khi bạn cố gắng nghiền thức ăn cứng và rắn, trụ cấy ghép sẽ bị lệch một chút, có thể gây đau và khó chịu.

Hãy ăn những thức ăn mềm, dễ nuốt
Vệ sinh răng miệng khoa học
Để tránh nguy cơ nhiễm trùng gây đau răng, bạn phải vệ sinh răng miệng đúng cách theo chỉ dẫn của bác sĩ. Sử dụng kết hợp chỉ nha khoa với nước để loại bỏ các mảnh vụn thức ăn và làm sạch các kẽ răng. Điều quan trọng cần lưu ý là sau tiểu phẫu 1 tuần bạn tuyệt đối không được súc miệng bằng nước muối sinh lý, thay vào đó hãy sử dụng nước súc miệng chuyên dụng. Và bạn chỉ nên dùng để vệ sinh khoang miệng sau khi vết thương đã lành theo chỉ định của bác sĩ.
Hạn chế sử dụng chất kích thích
Bạn không nên uống rượu, hút thuốc lá sau khi cấy ghép implant. Đặc biệt, hút thuốc làm tan cục máu đông, dẫn đến chảy máu vùng cấy ghép, làm cản trở quá trình lành thương và có nguy cơ nhiễm trùng cao. Vì vậy, bạn nên ngưng thuốc lá ít nhất 1 tháng trước và sau khi bình phục.
Nếu uống rượu, bia có thể gây sưng tấy quanh vết mổ. Dẫn đến tăng nguy cơ tiêu xương vùng cấy ghép, rối loạn hoạt động của các tế bào tạo xương. Do đó, khả năng tích hợp của trụ implant với xương hàm kém và có thể bị lệch khỏi xương hàm.
Một số biến chứng thường gặp khác sau khi cấy ghép Implant
Những biến chứng sau khi trồng răng implant gây ra nhiều phiền toái cho bệnh nhân và thậm chí có thể nguy hại đến sức khỏe của họ. Đây là những biến chứng thường gặp nhất sau khi đặt implant.
Sưng tấy và đau nhức dai dẳng
Sau khi cấy implant, tình trạng đau nhức hoàn toàn bình thường, chỉ ở mức độ nhẹ và sẽ nhanh chóng được giải quyết bằng thuốc giảm đau. Tuy nhiên, nếu sau 5 đến 7 ngày mà các triệu chứng vẫn không thuyên giảm, vài tháng sau vẫn còn sưng, đau và sốt thì người bệnh cần thông báo cho bác sĩ điều trị để khắc phục sớm nhất. Rất có thể bạn bị sưng viêm tại vị trí cấy ghép và đang đào thải trụ. Thông báo cho bác sĩ của bạn ngay lập tức để có kế hoạch loại bỏ càng sớm càng tốt.
Nhiễm trùng vùng cấy ghép
Đây là một trong những biến chứng phổ biến nhất sau khi đặt implant. Nguyên nhân là do sau khi cấy ghép răng implant xong, bệnh nhân có cách vệ sinh răng miệng không đúng. Nếu không được vệ sinh sạch sẽ, chúng sẽ bám vào trụ implant, tạo môi trường cho vi khuẩn có hại phát triển, gây nhiễm trùng.
Dấu hiệu rõ ràng nhất là mô xung quanh khi răng cấy ghép bị sưng đỏ. Nếu không được phát hiện sớm có thể bị nhiễm trùng nặng dẫn đến tiêu xương và đào thải trụ implant. Ngoài ra, việc khâu vô trùng khi chưa đặt mô cấy sẽ làm tăng rủi ro sau phẫu thuật.

Nhiễm trùng vùng cấy ghép
Chảy máu kéo dài sau phẫu thuật
Thông thường chảy máu ở vùng điều trị có thể xảy ra trong 1-2 ngày đầu sau khi cấy ghép. Nếu bạn thấy chảy máu, hãy dùng một miếng gạc băng nhẹ sau đó nhẹ nhàng cắn và giữ 30 phút để cầm máu. Tuy nhiên, nếu máu vẫn không ngừng chảy thì đây là biến chứng xảy ra khi cấy ghép implant, hãy nhanh chóng đến gặp bác sĩ để được điều trị kịp thời để tránh nguy hiểm về sau.

Chảy máu dai dẳng sau phẫu thuật rất nguy hiểm
Viêm quanh trụ implant
Nguyên nhân dẫn đến tình trạng viêm quanh trụ implant thường là do bệnh nhân thiếu kiến thức về cách chăm sóc răng miệng và vệ sinh kém. Tình trạng này kéo dài dẫn đến nhiễm trùng vùng cấy ghép và tiêu xương quanh trụ, dẫn đến trụ implant không thể bám chắc vào xương hàm.
Tổn thương các mô lân cận
Nếu bệnh nhân không được chụp CT trước khi đặt implant cẩn thận hoặc do kỹ thuật cấy của bác sĩ kém, các tình trạng sau có thể xảy ra:
- Các dây thần kinh bên dưới xương ổ răng dễ bị tổn thương nếu thủ thuật khoan không chính xác, khiến bệnh nhân có cảm giác tê, ngứa và đau ở môi, lưỡi và nướu. Nếu bệnh nhân không cải thiện mà còn nặng hơn có thể dẫn đến cấy ghép không thành công
- Tổn thương xương hàm: Do bệnh nhân không đủ xương hàm mà xương hàm cũng không đủ dày, dẫn đến trụ implant bị gãy làm gãy xương hàm, làm giảm khả năng thành công của ca phẫu thuật và tăng chi phí điều trị.
Cơ thể bị dị ứng
Mặc dù rất hiếm, cơ thể bệnh nhân vẫn có thể xảy ra phản ứng dị ứng với titan (vật liệu cấy ghép) hoặc một số kim loại trong quá trình trồng răng implant. Các dấu hiệu của phản ứng dị ứng bao gồm: sưng tấy, phát ban, mất vị giác,... Bạn nên cho bác sĩ biết càng sớm càng tốt nếu bạn đã từng bị dị ứng, đặc biệt là với titan.
Implant không đúng vị trí
Vị trí cấy ghép implant không đúng có thể để lại hậu quả nghiêm trọng như:
- Luôn cảm thấy đau đớn khi chạm vào nướu, khi ăn nhai hoặc vệ sinh răng miệng, tệ hơn là nó sẽ gây viêm nhiễm ảnh hưởng đến việc phát âm. Sau một thời gian dài, trụ implant có thể bị hỏng hoặc gãy do cắm implant không đúng hướng
- Nếu lực nhai của hai hàm không được phân bổ đều, răng implant không thể thực hiện đúng chức năng ăn nhai của mình hoặc nếu lực nhai tập trung nhiều hơn trên răng implant, gây tổn thương cho răng.
Những điều cần biết trước khi cấy Implant để tránh gặp biến chứng
Chọn trụ implant chính hãng và phù hợp
Tất cả các loại trụ implant đều có xuất xứ từ nước ngoài vì hiện nay ở Việt Nam chưa có cơ sở sản xuất nào. Để tránh chọn nhầm phải trụ kém chất lượng, người bệnh có thể kiểm tra mã vạch và phiếu đảm bảo nguồn gốc. Ngoài ra, mỗi loại implant khác nhau sẽ có chi phí khác nhau. Bệnh nhân có thể dựa vào tiềm năng tài chính của mình mà lựa chọn. Tuy nhiên, bạn cũng nên tham khảo ý kiến của bác sĩ để chọn loại phù hợp nhất với tình trạng răng miệng của mình.

Bạn nên tham khảo ý kiến của bác sĩ để chọn loại implant phù hợp
Tìm hiểu về phương pháp cấy ghép
Khách hàng có thể tìm kiếm thông tin và kiến thức về cấy ghép implant theo nhiều cách khác nhau, chẳng hạn như: sách, báo, internet,... Tuy nhiên, khách hàng nên đọc kỹ và chọn lọc thông tin từ các nguồn chính thống, phù hợp và đáng tin cậy.
Chuẩn bị tâm lý và sắp xếp thời gian nghỉ ngơi
Trước khi thực hiện cấy implant, bạn hãy chuẩn bị cho mình một sức khỏe thật tốt. Nếu bạn mắc các bệnh mãn tính cần khai báo và chuẩn bị sẵn tiền sử bệnh của bạn để bác sĩ xem xét và theo dõi. Tuyệt đối KHÔNG hút thuốc hoặc sử dụng các chất kích thích trước hoặc sau khi cấy implant. Trong giai đoạn sau cấy ghép, bạn cũng nên chú ý ăn uống, tránh những thức ăn quá cứng, dai. Ngoài ra, hạn chế làm việc quá sức để tránh căng thẳng dẫn đến vết thương không lành.
Xem thêm: Cấy ghép Implant – Tại sao cần chọn Nha Khoa uy tín?
Tiêu chí lựa chọn nha khoa uy tín để cấy ghép Implant
Cấy răng là một kỹ thuật tiên tiến, đòi hỏi lượng lớn máy móc, thiết bị y tế chuyên dụng. Vì vậy, việc lựa chọn một nha khoa uy tín sẽ giúp bạn không phải lo lắng cấy implant bị đau hoặc có biến chứng. Một nha khoa đáng tin cậy phải đáp ứng các tiêu chí sau:
Kỹ năng và kinh nghiệm của bác sĩ
Yếu tố quan trọng nhất trong việc quyết định phẫu thuật cấy ghép implant có thành công hay không là bác sĩ thực hiện. Vì vậy, nha khoa có đội ngũ bác sĩ nha khoa nhiều năm kinh nghiệm, được đào tạo chuyên sâu trong và ngoài nước nên được ưu tiên.
Nha khoa với trang thiết bị tiên tiến, hiện đại
Nếu nha khoa có công nghệ tiên tiến, nhiều thiết bị máy móc hiện đại sẽ hỗ trợ tối đa cho việc chẩn đoán, đảm bảo độ chính xác tuyệt đối trong quá trình phẫu thuật. Đồng thời trong quá trình hậu phẫu có thể kiểm tra các thông số chính xác và góp phần quan trọng vào toàn bộ quá trình phục hình răng. Đây là tiêu chí mà bạn cững cần xem xét kỹ lưỡng.
Nhận được sự đánh giá tích cực từ khách hàng
Là một trong những nha khoa uy tín nhất sẽ được đông đảo khách hàng phản hồi tốt. Hãy chú trọng xem xét thông qua các kênh truyền thông để nắm bắt tốt nhất.
Việc điều trị cho bệnh nhân được lên kế hoạch tỉ mỉ và cẩn thận
Phương án điều trị được bác sĩ đưa ra sao cho phù hợp với từng bệnh nhân trong từng trường hợp mất răng khác nhau. Để người bệnh có thể chắc chắn về phương pháp điều trị và biết được các bước cụ thể khi cấy ghép implant, bác sĩ phải giải thích quy trình thực tế thật cụ thể.
Trụ Implant chất lượng tốt
Trước khi cắm implant, nha khoa cần thông báo cụ thể cho bệnh nhân về vật liệu được sử dụng như: vật liệu nào, nơi sản xuất, chỉ dẫn đặc biệt... Đây là tiêu chí cũng rất quan trọng mà bạn nên lưu ý.
Lựa chọn cấy ghép Implant không đau tại Nha Khoa Nhân Tâm
Nha Khoa Nhân Tâm đã đón tiếp hàng trăm lượt khách hàng đến với Nha khoa vì tin tưởng vào đội ngũ y bác sĩ có trình độ chuyên môn cao, giàu kinh nghiệm. Với đội ngũ bác sĩ, y tá được đào tạo chuyên sâu về Implant và hàng nghìn ca bệnh với tỷ lệ thành công 100%, Nha Khoa Nhân Tâm là sự lựa chọn hoàn hảo, luôn mang lại cho bệnh nhân implant tốt nhất để phục hồi nhanh chóng và ổn định lâu dài.

Nha Khoa Nhân Tâm là địa chỉ đáng tin cậy để lựa chọn
Nha khoa Nhân Tâm cam kết đem lại kết quả tốt nhất nhờ:
- Hệ thống cấy ghép và không gian cấy ghép riêng biệt.
- Hệ thống máy chụp CT Cone beam 3D cung cấp kết quả đánh giá chính xác cho từng bệnh nhân.
- Cam kết vô trùng tuyệt đối nhờ tiệt trùng 3 giai đoạn riêng biệt.
- Hệ thống ghế khám riêng biệt đảm bảo sự riêng tư và thoải mái cho từng khách hàng.
Được nhiều khách hàng trong và ngoài nước tin tưởng và ủng hộ phòng khám Nha khoa Nhân Tâm cảm thấy rất vinh dự. Nha khoa Nhân Tâm không ngừng nỗ lực nâng cao chất lượng đội ngũ bác sĩ và cải thiện cơ sở vật chất kỹ thuật nhằm mang đến cho bệnh nhân sự hài lòng và trải nghiệm tốt nhất. Mọi thắc mắc về răng implant bị đau vui lòng liên hệ trực tiếp Nha khoa Nhân tâm để được tư vấn miễn phí, nhanh chóng nhé!




