Trám răng loại nào tốt nhất? Có rất nhiều loại vật liệu trám răng hiện nay như amalgam, composite, vàng, trám sứ… Mỗi loại có những ưu và nhược điểm riêng và phù hợp với tình trạng răng khác nhau.
Tìm hiểu về kỹ thuật trám răng
Trước khi giải đáp thắc mắc “trám răng loại nào tốt nhất?”, Nha khoa Nhân Tâm mời Khách hàng cùng tìm hiểu thông tin sơ bộ về kỹ thuật trám răng.
Trám răng là một thủ thuật đơn giản và phổ biến trong các điều trị nha khoa. Phương pháp này sử dụng các vật liệu trám để phục hồi những tổn thương ở răng chẳng hạn như sâu răng, mòn răng, nứt - vỡ - mẻ răng hoặc răng bị hở kẽ.

Trám răng giúp phục hồi hình dạng của răng, cải thiện ăn nhai và thẩm mỹ
Xem thêm: Khi nào trám răng lấy tủy? Quy trình chữa tủy
Để trám răng, Bác sĩ sẽ loại bỏ những mô răng bị hỏng, sau đó dùng vật liệu trám phục hồi hình dạng răng, nâng cao thẩm mỹ và cải thiện chức năng ăn nhai của răng.
Tùy theo tình hình cụ thể của từng Khách hàng mà Bác sĩ sẽ lựa chọn vật liệu trám răng phù hợp. Các bạn hãy cùng đọc phần tiếp theo để tìm hiểu về các vật liệu trám nhé!
Trám răng loại nào tốt nhất?
Trám răng loại nào tốt nhất? Loại vật liệu trám tốt nhất cho răng của bạn phụ thuộc vào một số yếu tố.
Đầu tiên, Bác sĩ sẽ cần xem xét vị trí và mức độ tổn thương của răng cần trám. Tiếp theo, sẽ có những cân nhắc về yêu cầu và khả năng tài chính của Khách hàng để tìm ra vật liệu vừa mang lại hiệu quả cao, vừa phù hợp với điều kiện của Khách.
Dưới đây là những vật liệu trám răng phổ biến trên thị trường:
1. Vàng
Miếng trám vàng có độ bền chắc và lâu dài (thường từ 10-15 năm). Miếng trám bằng vàng có tuổi thọ cao và có thể là một lựa chọn tốt nhất cho răng của bạn.
Tuy nhiên, nhược điểm của miếng trám vàng là chi phí đắt đỏ và có thể gây kích ứng cho những ai có cơ địa dị ứng với kim loại.
Trám răng bằng vàng sẽ là điểm nhấn nổi bật trên hàm răng, phù hợp với vị trí răng trong và với những Khách hàng có điều kiện tài chính và cá tính mạnh mẽ.

Trám răng bằng Composite, Amalgam và vàng
2. Trám răng Amalgam
Đây là vật liệu trám răng lâu đời và phổ biến nhất. Vật liệu trám Amalgam là hỗn hợp được làm từ bạc kết hợp với thiếc, kẽm, đồng và thủy ngân.
Miếng trám Amalgam được ưa chuộng vì độ bền chắc cao, tuổi thọ lâu dài và chi phí thấp.
Tuy nhiên trám răng Amalgam cũng tồn tại một số hạn chế như kém thẩm mỹ hơn so với các vật liệu trám răng khác, có thể gây kích ứng. Miếng trám Amalgam phù hợp với những Khách hàng trám răng ở vị trí khuất, cơ địa không dị ứng và muốn tiết kiệm tối đa chi phí.
3. Trám răng Composite
Những năm gần đây, trám răng Composite dần thay thế các vật liệu trám truyền thống. Trám răng Composite sử dụng nhựa Composite để phục hồi hình dạng và màu sắc răng.
Nhựa composite là một vật liệu tuyệt vời để trám răng và mức độ phổ biến của nó ngày càng tăng. Độ bền chắc của miếng trám cũng được cải thiện đáng kể và hoàn toàn có thể đáp ứng tiêu chí ăn nhai.
Miếng trám Composite được đánh giá cao về mặt thẩm mỹ vì có màu tự nhiên như màu răng thật. Vật liệu trám răng Composite phù hợp với mọi vị trí răng cần trám, đặc biệt đây là sự lựa chọn tốt nhất cho vị trí răng cửa.
Miếng trám Composite có chi phí cao hơn trám Amalgam. Ngoài ra, chúng có thể không tồn tại lâu như miếng trám amalgam hay vàng và không phù hợp với những lỗ sâu răng hay vỡ, mẻ lớn.
4. Trám sứ
Một vật liệu trám răng được chú ý trong thời gian gần đây là trám răng bằng sứ. Thường được gọi là trám răng Inlay/ Onlay. Về mặt thẩm mỹ, trám sứ Inlay/ Onlay là sự lựa chọn tuyệt vời vì màu sứ tự nhiên như răng thật, tuổi thọ cao và độ cứng chắc hoàn hảo.

Miếng trám bằng sứ
Trám răng bằng sứ có giá cao hơn so với trám bằng amalgam bạc và trám răng composite nhưng đang dần trở thành vật liệu trám răng tốt nhất hiện nay và được nhiều nha sĩ khuyên dùng.
Với phương pháp trám sứ, bệnh nhân không cần phải mài quá nhiều răng, răng thật được bảo tồn tối đa, miếng trám chắc chắn, vừa khít và không gây cộm vướng.
Tuy nhiên, trám răng bằng sứ đòi hỏi kỹ thuật khá phức tạp, cần tay nghề Bác sĩ cao và kỹ thuật viên chế tác sứ chuyên nghiệp. Do đó, hiện tại chỉ có một số nha khoa tốt nhất Sài Gòn áp dụng kỹ thuật trám này.

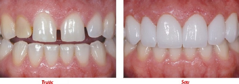
Trám răng thưa hở kẽ tại Nha khoa Nhân Tâm
Nhìn chung, không có câu trả lời chính xác nhất cho câu hỏi “Trám răng loại nào tốt nhất?” Tùy theo tình trạng răng và khả năng, yêu cầu của bạn mà Bác sĩ sẽ tư vấn cho bạn loại vật liệu trám phù hợp nhất. Liên hệ 1900 56 5678 để được tư vấn miễn phí tình trạng của bản thân bởi chuyên gia hơn 25 năm kinh nghiệm của Nha khoa Nhân Tâm bạn nhé!



