Mô mềm trong cấy ghép Implant đóng vai trò then chốt trong việc đảm bảo tính ổn định, thẩm mỹ và độ bền lâu dài của răng Implant.
Nha khoa Nhân Tâm – địa chỉ cấy ghép Implant uy tín với đội ngũ bác sĩ trên 27 năm kinh nghiệm, công nghệ hiện đại như công nghệ định vị X-Guide, máy chụp X-quang CT Conebeam 3D, máy quét kỹ thuật số, công nghệ CAD/CAM… giúp tối ưu bảo tồn mô mềm và rút ngắn thời gian điều trị.
Mô mềm trong cấy ghép Implant là gì?
Mô mềm trong cấy ghép Implant là các mô bao quanh trụ Implant sau khi được cấy ghép vào xương hàm, chủ yếu bao gồm nướu (lợi) và biểu mô liên kết. Đây là lớp mô đóng vai trò bảo vệ, tạo hàng rào sinh học ngăn ngừa vi khuẩn và các tác nhân gây viêm xâm nhập vào vùng cấy ghép.
Không giống như răng tự nhiên có hệ thống dây chằng nha chu để kết nối và bảo vệ, trụ Implant là một vật thể nhân tạo nên rất cần sự hỗ trợ vững chắc từ mô mềm để duy trì tính ổn định và bền vững lâu dài.

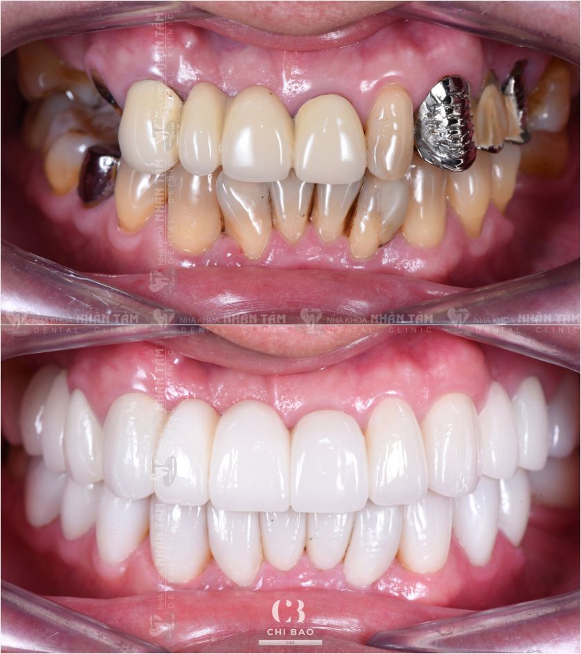
Mô mềm trong cấy ghép Implant đóng vai trò vô cùng quan trọng
Vai trò của mô mềm trong cấy ghép Implant
Cấy ghép Implant là một kỹ thuật tiên tiến trong nha khoa hiện đại, sử dụng trụ titanium để thay thế cho chân răng đã mất, mang lại khả năng ăn nhai hiệu quả và tính thẩm mỹ cao, gần như răng thật. Tuy nhiên, để một trụ Implant phát huy tối đa chức năng và tồn tại bền vững theo thời gian, hai yếu tố cơ bản cần được đảm bảo: mô xương và mô mềm quanh Implant.
Nếu như mô xương thường được ví như điều kiện cần, cung cấp chỗ dựa vững chắc cho Implant bám dính và chịu lực nhai, thì mô mềm thường được gọi là điều kiện đủ. Mô mềm trong cấy ghép Implant – bao gồm nướu và mô liên kết xung quanh – đóng vai trò thiết yếu trong việc hoàn thiện cả chức năng và thẩm mỹ sau khi cấy ghép:
- Bảo vệ Implant: Mô mềm bao quanh Implant hoạt động như một lớp “áo giáp” tự nhiên, giúp ngăn chặn sự xâm nhập của vi khuẩn và giảm nguy cơ viêm nhiễm vùng quanh trụ.
- Tăng tính thẩm mỹ: Mô mềm ôm sát quanh vùng răng phục hình, giúp hình dáng nướu trở nên tự nhiên, không để lộ phần trụ Implant và góp phần tạo nên nụ cười hài hòa.
- Ổn định chức năng: Mô mềm giúp cố định vùng quanh Implant, hỗ trợ phân bố lực nhai đều và giảm tình trạng tiêu xương theo thời gian.
- Hỗ trợ tích hợp xương: Khi mô mềm khỏe mạnh, quá trình tích hợp giữa trụ Implant và xương hàm sẽ diễn ra thuận lợi hơn, nâng cao hiệu quả phục hồi.

Việc duy trì mô mềm khỏe mạnh là điều kiện tiên quyết để bảo vệ Implant khỏi các biến chứng về sau
Việc duy trì mô mềm khỏe mạnh là điều kiện tiên quyết để bảo vệ Implant khỏi các biến chứng về sau. Chính vì vậy, trong suốt quá trình điều trị và sau khi phục hình, bác sĩ cần có kế hoạch xử lý mô mềm hợp lý, sử dụng các vật liệu phục hình tương thích sinh học, đồng thời hướng dẫn khách hàng cách chăm sóc nướu kỹ lưỡng để duy trì kết quả điều trị lâu dài.
Xem thêm: Phục hồi gai nướu trong Implant vùng thẩm mỹ
Mô mềm trong cấy ghép Implant cần đạt những điều kiện nào?
Để đảm bảo kết quả phục hình Implant đạt hiệu quả tối ưu cả về thẩm mỹ lẫn chức năng lâu dài, mô mềm trong cấy ghép Implant cần đạt những điều kiện sau:
Độ dày và chiều cao hợp lý
Mô mềm cần có đủ độ dày và chiều cao để bao phủ hoàn toàn phần kim loại của trụ Implant, đảm bảo yếu tố thẩm mỹ cũng như ngăn ngừa sự lộ trụ gây mất tự nhiên cho nụ cười. Tùy thuộc vào vị trí cấy ghép, kích thước và thể tích mô mềm cần được tính toán phù hợp để hỗ trợ ăn nhai và bảo vệ cấu trúc bên dưới.
Chất lượng mô mềm khỏe mạnh
Mô mềm đạt chuẩn nên có độ dày tối thiểu 2mm mô sừng hóa – loại mô có độ bền cao, chống chịu tốt với vi khuẩn và ma sát từ hoạt động ăn nhai. Nướu khỏe mạnh thường có màu hồng nhạt, không bị sưng đỏ, không có dấu hiệu viêm. Bề mặt cần mịn, khô ráo và ôm khít quanh cổ Implant, không để lộ khe hở.

Phục hình hướng dẫn mô mềm (răng hướng dẫn định hình mô nướu quanh răng Implant)
Vị trí và hình dạng nướu
Hình dáng nướu nên cân đối, đối xứng với các răng bên cạnh, tạo ra đường viền nướu tự nhiên và hài hòa. Vị trí trụ Implant lý tưởng sẽ lộ một phần cổ nhỏ (khoảng 1mm), hỗ trợ vệ sinh và kiểm soát vi khuẩn mà vẫn đảm bảo tính thẩm mỹ cho răng phục hình.
Chức năng
Mô mềm quanh Implant cần có khả năng bám dính tốt với bề mặt phục hình để tạo sự ổn định, hạn chế di chuyển trụ và giảm thiểu nguy cơ xâm nhập của vi khuẩn. Bên cạnh đó, khả năng chịu lực và phục hồi khi bị tổn thương là yếu tố cần thiết để mô mềm giữ vai trò bảo vệ lâu dài cho Implant.
Lý do nên lựa chọn Nha khoa Nhân Tâm khi cấy ghép Implant
Vì mô mềm đóng vai trò quyết định đến hiệu quả thẩm mỹ, độ bền và khả năng bảo vệ của răng Implant, việc lựa chọn cơ sở điều trị uy tín là điều không thể xem nhẹ. Tại TP.HCM, Nha khoa Nhân Tâm là một trong những địa chỉ được đông đảo khách hàng tin tưởng khi có nhu cầu cấy ghép Implant chuyên sâu.
Sở hữu đội ngũ bác sĩ nha khoa giàu kinh nghiệm, đặc biệt là Tiến sĩ, Bác sĩ Võ Văn Nhân – chuyên gia hàng đầu trong lĩnh vực Implant nha khoa, Nha khoa Nhân Tâm đã thực hiện thành công hàng ngàn ca cấy ghép từ đơn giản đến phức tạp, bao gồm các trường hợp mất răng lâu năm, tiêu xương hàm nghiêm trọng hay cần tái tạo mô mềm, mô xương…

Nha khoa Nhân Tâm quy tụ đội ngũ bác sĩ giỏi, giàu kinh nghiệm
Bên cạnh đó, trung tâm còn đầu tư đồng bộ hệ thống thiết bị hiện đại, hỗ trợ tối ưu cho quá trình điều trị mô mềm trong cấy ghép Implant như:
Máy chụp CT Cone Beam 3D giúp phân tích chính xác cấu trúc mô mềm – xương hàm.
- Công nghệ định vị cấy ghép Implant giúp xác định chính xác vị trí đặt trụ Implant, hướng trụ và độ sâu phù hợp theo kế hoạch điều trị. Nhờ đó, hạn chế xâm lấn, bảo tồn tối đa mô mềm và mô xương, từ đó tăng tốc độ lành thương và cải thiện kết quả thẩm mỹ.
- Công nghệ lấy dấu kỹ thuật số, kết hợp phần mềm thiết kế phục hình CAD/CAM mang đến độ chính xác cao và đảm bảo tính thẩm mỹ tự nhiên.
- Ứng dụng công nghệ PRF giúp hỗ trợ tái tạo mô mềm và mô xương, rút ngắn thời gian lành thương và hạn chế biến chứng.

Nha khoa Nhân Tâm ứng dụng công nghệ hiện đại trong cấy ghép Implant
Không chỉ chú trọng kỹ thuật, Nha khoa Nhân Tâm còn xây dựng quy trình điều trị chuyên biệt cho từng khách hàng, đảm bảo chăm sóc mô mềm trước – trong – sau khi cấy ghép để Implant đạt kết quả ổn định và thẩm mỹ tối ưu.
Với tất cả những yếu tố trên, Nha khoa Nhân Tâm cam kết đồng hành cùng quý khách hàng trong hành trình khôi phục nụ cười – với giải pháp cấy ghép Implant chuẩn xác, bảo tồn mô mềm tối ưu và kết quả lâu dài. Liên hệ ngay đến Nha khoa Nhân Tâm qua số Hotline 1900 56 5678 để được tư vấn chi tiết và đặt lịch khám cùng đội ngũ chuyên gia Implant hàng đầu.



