Cấy ghép Implant vùng thẩm mỹ không chỉ đòi hỏi độ chính xác cao mà còn cần khả năng phục hồi cấu trúc mô mềm quanh răng, trong đó có gai nướu – yếu tố then chốt quyết định tính tự nhiên và thẩm mỹ.
TS.BS Võ Văn Nhân đã nghiên cứu và áp dụng thành công nhiều kỹ thuật chuyên sâu giúp tái tạo gai nướu hiệu quả, rút ngắn thời gian hồi phục và mang lại nụ cười tự tin cho khách hàng.
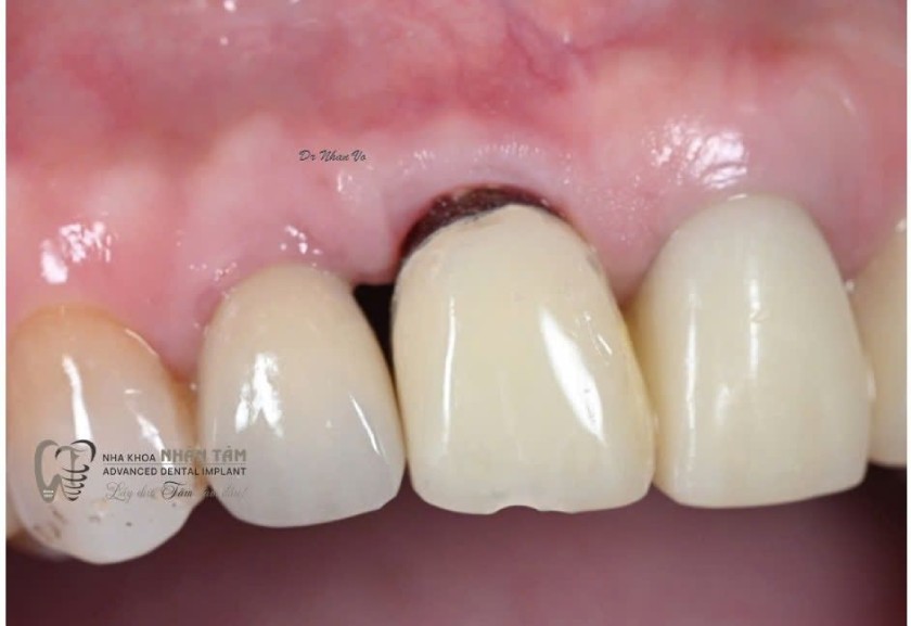
Gai nướu – Chi tiết nhỏ, ảnh hưởng lớn
Gai nướu là phần mô nướu nhỏ hình tam giác nằm giữa hai răng. Khi một răng bị mất đi và được thay thế bằng trụ Implant, việc tái tạo lại gai nướu là một thử thách lớn, nhất là tại vùng răng cửa – vị trí có yêu cầu cao về thẩm mỹ.

Gai nướu là phần mô nướu nhỏ hình tam giác nằm giữa hai răng
Nếu gai nướu không được tái tạo đúng cách, vùng giữa các răng và trụ Implant sẽ xuất hiện “tam giác đen” – khoảng hở tối màu gây mất thẩm mỹ nghiêm trọng. Không chỉ ảnh hưởng đến hình ảnh nụ cười, khoảng hở này còn tạo điều kiện cho thức ăn và mảng bám tích tụ, dẫn đến viêm mô quanh Implant, ảnh hưởng đến tuổi thọ của phục hình.
Những khó khăn trong cấy ghép Implant vùng thẩm mỹ
Cấy ghép Implant vùng thẩm mỹ (vùng răng cửa) luôn là một trong những thử thách lớn nhất trong nha khoa hiện đại. Tại đây, mục tiêu điều trị không chỉ là phục hồi chức năng mà còn phải tái tạo được mô nướu tự nhiên, đặc biệt là gai nướu – yếu tố quyết định vẻ hài hòa của nụ cười.
TS.BS Võ Văn Nhân, chuyên gia đầu ngành trong lĩnh vực cấy ghép Implant tại Việt Nam, chia sẻ: “Implant vùng thẩm mỹ là một thách thức vô cùng lớn để duy trì được gai nướu theo thời gian. Nhưng khó khăn và thách thức sẽ nhân lên bội phần khi gai nướu đã bị tụt và xuất hiện tam giác đen gây mất thẩm mỹ”.
Khó khăn chính trong cấy ghép vùng thẩm mỹ nằm ở việc bảo tồn và phục hồi mô mềm quanh Implant. Gai nướu rất dễ bị mất đi do tiêu xương ổ răng, viêm nhiễm, hoặc do kỹ thuật đặt Implant không chính xác. Khi gai nướu tụt, khoảng trống đen giữa các răng (tam giác đen) sẽ lộ rõ, ảnh hưởng nghiêm trọng đến thẩm mỹ khuôn miệng và nụ cười.

Implant vùng thẩm mỹ là một thách thức lớn để duy trì được gai nướu theo thời gian
Bên cạnh đó, cấu trúc giải phẫu ở vùng răng trước vốn có lớp xương mặt mỏng, mô mềm nhạy cảm, nên đòi hỏi bác sĩ phải có kiến thức chuyên sâu về Implant nha khoa và sinh học mô nướu. Việc đặt Implant cần tính toán chính xác về vị trí, hướng, độ sâu, khoảng cách với răng bên cạnh và độ dày của mô mềm để đảm bảo hỗ trợ tốt cho việc tái tạo gai nướu.
Ngoài ra, ngay cả khi đã tái tạo thành công, việc duy trì hình thể và độ bền vững của gai nướu theo thời gian cũng là một thách thức, đòi hỏi phục hình phải chuẩn xác và khách hàng cần có chế độ chăm sóc hợp lý.
Tóm lại, Implant vùng thẩm mỹ không chỉ là một thủ thuật kỹ thuật cao, mà là sự kết hợp tinh tế giữa phẫu thuật, phục hình và sinh học mô mềm, đòi hỏi bác sĩ phải có tay nghề vững vàng và kinh nghiệm chuyên sâu để đạt được kết quả tối ưu cả về chức năng lẫn thẩm mỹ.
Xem thêm: 5 ưu thế vượt trội khi trồng răng Implant tại Nhân Tâm
Giải pháp phục hồi gai nướu – Kết quả của gần 3 thập kỷ nghiên cứu và ứng dụng
Với gần ba thập kỷ kinh nghiệm trong lĩnh vực cấy ghép Implant, TS.BS Võ Văn Nhân đã nghiên cứu, chuẩn hóa và ứng dụng thành công các kỹ thuật chuyên sâu để tái tạo gai nướu và nâng cao hiệu quả cấy ghép Implant vùng thẩm mỹ. Các kỹ thuật này đã mang lại nhiều ưu điểm vượt trội, tiêu biểu như:
- Giảm thiểu sang chấn phẫu thuật, giảm sưng đau hậu phẫu và rút ngắn thời gian hồi phục cho khách hàng.
- Hạn chế phẫu thuật lấy mô ghép ở vòm miệng, tránh cuộc phẫu thuật thứ hai, từ đó giảm đau và lo lắng cho khách hàng.
- Thiết kế vạt tỉ mỉ, bảo tồn tối đa mô mềm xung quanh, đồng thời tạo điều kiện tối ưu cho sự sống còn của mô ghép.
- Kỹ thuật khâu đóng chuyên biệt che phủ chân răng hoặc trụ Implant hiệu quả, hỗ trợ định hướng mô nướu phát triển theo hình dạng mong muốn, tái tạo được hình thể gai nướu tự nhiên như răng thật.

Giải pháp phục hồi gai nướu tại Nha khoa Nhân Tâm
Theo chia sẻ từ TS.BS Võ Văn Nhân, hiện nay ông đã ứng dụng thành công các kỹ thuật phục hồi gai nướu cho những trường hợp đã cấy ghép trước đó nhưng bị tụt nướu hoặc mất thẩm mỹ: “Một tin vui là hiện nay mình đã có cách phục hồi gai nướu một cách tiên lượng. Do vậy, khách hàng đã có phục hồi trên Implant không còn lo lắng mất thẩm mỹ – mình sẽ nhận và điều chỉnh lại cho quý vị”.
Đây là tín hiệu đáng mừng cho những ai từng thất vọng vì vùng thẩm mỹ không như ý sau khi làm Implant. Không những vậy, TS.BS Võ Văn Nhân cũng thể hiện tinh thần chia sẻ, sẵn sàng truyền đạt kinh nghiệm quý giá này đến các đồng nghiệp trẻ để cùng nhau nâng cao chất lượng điều trị và phục vụ khách hàng tốt hơn.
Thành công trong cấy ghép Implant vùng thẩm mỹ không thể tách rời yếu tố gai nướu – dù nhỏ nhưng mang lại ảnh hưởng cực lớn đến nụ cười và sự tự tin của khách hàng. Với các kỹ thuật hiện đại, sự tận tâm của đội ngũ chuyên gia giàu kinh nghiệm, khách hàng ngày nay có thể sở hữu nụ cười tự nhiên, hài hòa và bền vững theo thời gian.
Nếu bạn đang lo lắng về thẩm mỹ sau cấy ghép Implant nha khoa, đặc biệt là tình trạng mất gai nướu gây “tam giác đen”, hãy liên hệ với Nha khoa Nhân Tâm để được tư vấn và điều trị với các giải pháp chuyên sâu từ TS.BS Võ Văn Nhân.



