Chỉ với những nguyên liệu đơn giản như muối, tinh dầu đinh hương, gừng, tỏi… là bạn đã có thể thực hiện các mẹo chữa viêm nướu răng hiệu quả tại nhà và nhanh chóng thoát khỏi các cơn đau do viêm nướu răng gây ra.
Tác nhân nào gây ra viêm nướu?
Những bạn quan tâm đến bài viết “Mẹo chữa viêm nướu răng hiệu quả tại nhà” có thể đã từng hoặc đang bị viêm nướu răng ngay tại thời điểm hiện tại đúng không nào?
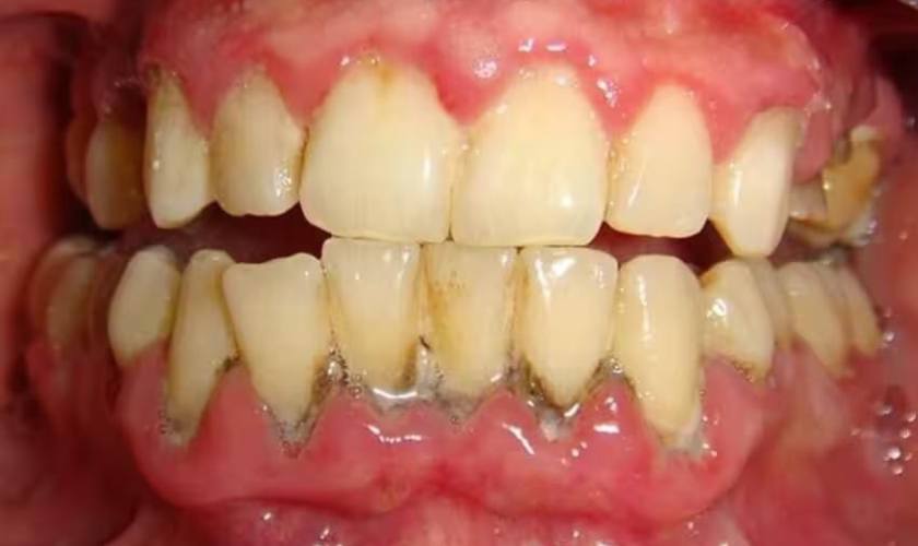
Những triệu chứng điển hình của bệnh viêm nướu bao gồm nướu sưng, đau, đỏ thẩm thay vì màu hồng nhạt, không săn chắc như nướu khỏe mạnh mà sờ vào sẽ cảm thấy mềm và kém đàn hồi.
Những triệu chứng nghiêm trọng hơn gồm chảy máu nướu, tụt nướu, hôi miệng, viêm nướu răng có mủ, sưng hàm, không thể há miệng, sốt…
Vậy tác nhân nào gây ra viêm nướu? Viêm nướu răng hình thành chủ yếu do các mảng bám răng và vôi răng bám quanh răng và bên dưới viền nướu. Các mảng bám và vi khuẩn chứa trong mảng bám tấn công làm phá vỡ cấu trúc mô nướu và liên kết nha chu khiến nướu bị viêm.

Mảng bám vôi răng là nguyên nhân chủ yếu gây ra viêm nướu răng
Yếu tố chính làm gia tăng mảng bám và vôi răng là do vệ sinh răng miệng kém. Một số yếu tố khác gồm suy dinh dưỡng, thay đổi hoóc-môn cơ thể, khô miệng, tác dụng phụ của một số loại thuốc…
Ngoài ra, nướu răng cũng có thể bị viêm do ảnh hưởng dị ứng, các bệnh lý toàn thân, kích ứng khí cụ nha khoa, nhiễm nấm, di truyền…
Mẹo chữa viêm nướu răng hiệu quả tại nhà
Mẹo chữa viêm nướu răng hiệu quả tại nhà được áp dụng với trường hợp viêm nướu răng mới chớm, các triệu chứng viêm nướu còn nhẹ và không gây khó chịu nhiều với bệnh nhân.
1. Vệ sinh răng miệng kỹ lưỡng
Nguyên nhân gây viêm nướu chủ yếu là do vệ sinh răng sai cách, đặc biệt khi bị viêm nướu, cơn đau răng có thể làm bạn thêm ngại đánh răng, điều này càng khiến bệnh tiến triển nặng.
Do đó, khi bị viêm nướu, bạn hãy thực hiện vệ sinh răng miệng đúng cách do nha sĩ hướng dẫn để làm sạch mảng bám, tiêu diệt vi khuẩn và giúp khoang miệng thơm mát hơn.

Vệ sinh răng miệng đúng cách giúp giảm viêm nướu
2. Súc miệng với nước muối
Súc miệng bằng nước muối có tác dụng sát khuẩn, giảm mảng bám, từ đó giảm các triệu chứng đau và sưng nướu. Khi bị viêm nướu, bạn nên sử dụng muối biển pha với nước ấm rồi dùng súc miệng nhiều lần trong ngày để hỗ trợ điều trị bệnh.
3. Sử dụng nha đam chữa viêm nướu
Dịch chiết từ thịt lá nha đam không chỉ có thể giúp làm dịu cơn đau nướu, giảm sưng tấy mà còn có tác dụng kháng khuẩn, kháng virus và ức chế nấm men hiệu quả.
Bạn có thể dùng mẹo chữa viêm nướu răng với nha đam bằng cách gọt sạch vỏ nha đam rồi lấy dịch nhờn nha đam bôi lên vùng nướu bị viêm.

Sử dụng nha đam bôi lên vùng nướu bị viêm
4. Dùng tinh dầu đinh hương giảm đau nướu
Trong tinh dầu đinh hương chứa Eugenol là một chất gây tê tạm thời và có tác dụng giảm đau, kháng khuẩn và nấm men rất tốt. Chính vì vậy, nhiều người bôi tinh dầu đinh hương pha loãng lên vị trí viêm để giảm triệu chứng viêm nướu.
Tinh dầu bạc hà, oải hương cũng mang lại hiệu quả tương tự.
5. Sử dụng đọt ổi
Từ xưa lá ổi đã được dùng để hỗ trợ chữa bệnh về da, làm lành vết thương, trị bệnh răng miệng. Lá ổi có đặc tính tiêu viêm cực tốt, sẽ giúp vết thương chóng lành. Để điều trị bệnh nướu răng bằng lá ổi, bạn chỉ cần dùng lá và đọt ổi non rửa sạch, trộn với muối biển và giã nhuyễn rồi đắp vào vùng nướu bị tổn thương.

Lá ổi có công dụng hỗ trợ điều trị viêm nướu răng
Xem thêm: Nhận biết triệu chứng viêm nướu qua hình ảnh viêm nướu răng
6. Gừng chữa viêm nướu
Hàm lượng Gingerol và 6-Shogaol chứa trong củ gừng có tác dụng giảm viêm và kháng khuẩn hiệu quả, do đó gừng là một loại thảo dược dùng để chữa viêm nướu răng thường gặp trong Đông y.
Cách chữa viêm nướu răng bằng gừng gồm bằng cách nấu nước gừng dùng để uống và súc miệng. Bạn có thể pha muối vào nước gừng ấm và súc miệng để đạt hiệu quả tốt hơn.
Các mẹo trị viêm nướu răng bằng các nguyên liệu tại nhà trên đây vô cùng đơn giản và dễ thực hiện. Sử dụng các cách này sẽ làm giảm nhanh chóng các biểu hiện đau, sưng, viêm nướu. Đối với những trường hợp viêm nướu nhẹ cũng có thể khỏi nếu kiên trì thực hiện.

Nếu viêm nướu không thuyên giảm thì cần lập tức thăm khám và điều trị tại nha khoa
Trong trường hợp đã sử dụng các mẹo chữa viêm nướu răng nhưng viêm nướu triển triển càng ngày càng nặng hơn, gây ra các cơn đau khó chịu và khó ăn nhai, chảy máu nướu… thì bạn cần nhanh chóng thăm khám tại địa chỉ nha khoa tốt nhất để điều trị dứt điểm và phòng ngừa biến chứng do viêm nướu gây ra.




