Kỹ thuật Implant All on 4
Implant All on 4 - All on 6: Giải pháp tối ưu trồng răng một lần, ăn nhai trọn đời
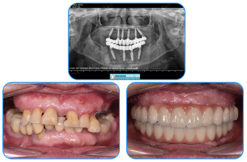
Implant All on 4 - All on 6 là phương pháp có thể phục hình cùng lúc 12 - 14 răng cố định trên cùng một hàm mà chỉ cần cắm 4 hoặc 6 trụ implant (quá trình cắm trụ Implant sẽ được chia thành nhiều lần, mỗi lần chỉ cắm 2 trụ Implant để đảm bảo an toàn cho khách hàng).
Đây là bước cải tiến mới trong ngành Implant Nha khoa hiện đại, giúp Khách hàng không phải trải qua nhiều lần phẫu thuật, tiết kiệm chi phí trong khi vẫn có được một hàm răng đẹp hoàn hảo.
Implant All on 4
Kỹ thuật Implant All On 4 trong phục hình răng toàn hàm là phát minh của thương hiệu implant nha khoa nổi tiếng thế giới Nobel Biocare.
Kỹ thuật này được đánh giá là giải pháp tối ưu cho các trường hợp bị mất răng toàn hàm, thiếu hổng xương ở vùng răng sau. Sau khi thực hiện, bạn có thể phát âm và ăn uống như răng thật, tính thẩm mỹ cũng rất cao.
Với kỹ thuật này, Bác sĩ sẽ chỉ cần cắm 4 trụ implant trên một hàm, bao gồm 2 trụ implant phía trước cấy thẳng và 2 trụ implant phía sau cấy nghiêng với góc nghiêng tối đa 45 độ (quá trình cắm trụ Implant sẽ được chia thành 2 lần, mỗi lần cắm 2 trụ Implant để đảm bảo an toàn cho khách hàng).
Kỹ thuật All On 4 thường được áp dụng cho hàm dưới. Nếu muốn áp dụng kỹ thuật này để trồng răng cho hàm trên, đòi hỏi hàm trên có chất lượng xương hàm tương đối tốt.
Implant All on 6
Với những trường hợp bị mất răng toàn hàm trên hoặc hàm dưới nhưng xương hàm quá yếu, kỹ thuật trồng răng Implant All On 6 là giải pháp lý tưởng.
Bên cạnh 4 trụ implant như kỹ thuật All On 4, việc thêm 2 trụ implant ở vùng răng sau sẽ nâng đỡ tốt hơn, vững chắc hơn (quá trình cắm trụ Implant sẽ được chia thành nhiều lần cắm, mỗi lần cắm 2 trụ Implant để đảm bảo an toàn). Sau phẫu thuật, chức năng ăn nhai được đảm bảo và bạn cũng không phải lo lắng vấn đề tiêu xương.

Kỹ thuật Implant All on 6
Với kỹ thuật All on 4 và All on 6, sau khi cắm trụ implant, bạn sẽ được đặt hàm tạm tức thì trên implant, để đảm bảo chức năng ăn nhai và thẩm mỹ trong khoảng thời gian chờ phục hình sau cùng.
Kỹ thuật này sẽ giảm thiểu việc cần phải ghép xương như khi thực hiện cấy ghép implant đơn lẻ, trong khi đó quá trình tích hợp xương và hồi phục lại rất nhanh.
Một ưu điểm khác của kỹ thuật này là hàm răng mới thực hiện tốt chức năng ăn nhai, hiệu quả thẩm mỹ cao, độ tương thích như răng thật lên đến 90%. Điều này hơn hẳn dùng hàm răng giả tháo lắp thông thường.
Có ngay răng ăn nhai trong thời gian ngắn nhất và những ưu điểm vượt trội
Implant all on 4, All on 6 được cho là phương pháp phục hồi răng tối ưu ở thời điểm hiện tại bởi dường như xóa bỏ hoàn toàn các khuyết điểm mà phương pháp trồng răng giả truyền thống trước đây mang lại như:
- Thời gian khôi phục các chức năng (ăn nhai, thẩm mỹ) nhanh nhất.
- Tiết kiệm chi phí trồng răng
- Thoải mái vệ sinh răng miệng như răng thật
- Độ bền tuyệt đối, có thể tồn tại suốt đời nếu được chăm sóc tốt
- Loại bỏ nguy cơ tiêu xương hàm, mang lại vẻ thẩm mỹ cho khuôn mặt
- Nâng cao sự tự tin trong giao tiếp, tăng chất lượng sống hàng ngày

Cấy ghép implant all on 4, all on 6 mang lại hàm răng hoàn hảo
Xem thêm: Trồng răng Implant có bền không? Có gây nguy hiểm gì không?
Tỷ lệ cấy ghép thành công khi thực hiện phương pháp Implant All on 4 - All on 6
Theo Pubmed (Thư viện Y học Quốc gia Hoa Kỳ) đã có một khảo sát trên 250 bệnh nhân sử dụng dịch vụ Implant All on 4 để phục hồi răng mất toàn hàm đã cho kết quả thành công lên đến 94,8% trong 10 năm theo dõi.
Việc một ca implant thành công ngoài việc hoàn thành phẫu thuật cấy ghép thì việc giữ gìn răng sau phẫu thuật cũng là yếu tố quan trọng như:
- Tuân thủ chế độ giữ gìn vệ sinh răng miệng theo đúng hướng dẫn của Bác sĩ
- Tái khám định kỳ 4-6 tháng/ lần
- Không hút thuốc hoặc hút > 5 điều/ ngày
- Sử dụng máng chống nghiến nếu có nghiến răng
Nếu cần được tư vấn rõ hơn về các giải pháp điều trị mất răng toàn hàm, hãy liên hệ ngay đến Nha khoa Nhân Tâm để các chuyên gia giải đáp tận tình nhất cho bạn.



