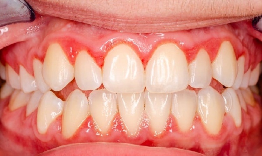
Khi chẳng may bị sưng viêm nướu, bạn có thể áp dụng một số biện pháp trị viêm nướu răng tại nhà được lưu truyền trong dân gian như dùng mật ong, lá ổi, trà xanh, húng quế và tiêu đen,… Tuy nhiên, các mẹo chữa viêm nướu răng theo dân gian chỉ phát huy được hiệu quả với trường hợp viêm nướu răng nhẹ.
Trường hợp viêm nướu răng nặng hoặc đã thử các cách chữa trị tại nhà nhưng không có chiều hướng thuyên giảm, bạn cần nhanh chóng tới cơ sở y tế, phòng khám nha khoa gần nhất để khám và điều trị chuyên sâu.
Trị viêm nướu răng tại nhà với mật ong nguyên chất
Dùng mật ong để điều trị viêm nướu răng đã được ông cha ta ứng dụng từ lâu và cách làm này vẫn rất phổ biến cho tới ngày nay. Mật ong chứa nhiều tinh chất có tính kháng khuẩn và cho thấy hiệu quả rất tốt trong điều trị nhiễm trùng.
Cách dùng mật ong để cải thiện viêm nướu như sau:
- Trước tiên bạn cần chải răng và súc miệng sạch sẽ.
- Chuẩn bị 1/2 thìa cà phê mật ong.
- Thoa mật ong lên khu vực nướu bị viêm và thực hiện massage nhẹ nhàng để các vi khuẩn bám dính được loại bỏ.
Mẹo chữa viêm nướu răng bằng hạt tiêu và húng quế
Hạt tiêu có công dụng giảm sưng viêm, tấy đỏ rất hiệu quả trong khi húng quế lại có khả năng ức chế vi khuẩn trong khoang miệng phát triển và sinh sôi.
Việc kết hợp 2 loại nguyên liệu này đã tạo thành bài thuốc trị viêm nướu răng tại nhà vừa đơn giản vừa đem lại hiệu quả cao.
Chuẩn bị một lượng vừa đủ lá húng quế và hạt tiêu đen sau đó rửa sạch. Giã nhuyễn 2 nguyên liệu này thành hỗn hợp gel. Đắp hỗn hợp thu được lên vùng nướu lợi đang bị viêm sưng.
Cách trị viêm nướu răng tại nhà hiệu quả với túi trà xanh
Chữa trị viêm nướu bằng trà xanh là cách làm khá thông dụng bởi lượng axit tannic trong trà xanh có thể nhanh chóng làm giảm triệu chứng viêm.
Hơn thế nữa, chuẩn bị một túi trà xanh cũng rất đơn giản và có thể tiến hành nhiều lần trong ngày.

Trị viêm nướu răng tại nhà hiệu quả với túi trà xanh
Với cách này, bạn chỉ cần chuẩn bị trà xanh dạng túi lọc, ấm pha trà và nước sôi rồi thực hiện như sau:
- Ngâm trà xanh trong nước sôi khoảng 10 phút.
- Nước trà để cho nguội bớt sau đó bạn có thể dùng để uống hoặc súc miệng.
- Phần xác túi trà bạn giữ lại và đặt lên khu vực nướu đang bị viêm trong khoảng 5 – 10 phút.
Mẹo chữa viêm nướu răng đơn giản bằng lá ổi
Sử dụng lá ổi non là biện pháp trị viêm nướu răng nhanh chóng và tiết kiệm mà bạn không nên bỏ qua. Với cách này thì bạn cần tiến hành hàng ngày vào buổi tối trước khi đi ngủ để đạt được kết quả tối ưu nhất.
Chuẩn bị vài lá ổi non, đem rửa sạch rồi giã nát với chút nước ấm và muối. Dung dịch thu được sau khi giã bạn thấm vào bông rồi thoa lên vùng nướu răng đang bị sưng viêm. Sau khi thoa xong, bạn nên súc miệng lại với nước lọc hoặc nước ấm.
Xem thêm: Viêm nướu răng khôn phải làm gì?
Cách dùng tỏi để trị viêm nướu răng tại nhà

Sử dụng tỏi để trị viêm nướu răng tại nhà
Thêm một mẹo chữa viêm nướu răng nữa mà bạn có thể áp dụng ngay tại nhà đó là sử dụng tỏi. Các hoạt chất có trong thành phần của tỏi sẽ giúp xoa dịu nhanh chóng cảm giác đau và ngăn chặn viêm nhiễm tiến triển nặng.
Lấy một vài tép tỏi, bóc bỏ vỏ và nghiền nát chúng. Có thể thêm vào một chút muối tinh và trộn thành hỗn hợp. Thoa hỗn hợp thu được vào vị trí nướu đang bị viêm sưng, đau nhức. Giữ hỗn hợp trên nướu răng khoảng 3 – 5 phút sau đó súc miệng lại bằng nước ấm.
Lưu ý: Các mẹo chữa viêm nướu răng theo dân gian nêu trên chỉ phát huy được hiệu quả với trường hợp viêm nướu răng nhẹ và cần kiên trì thực hiện đều đặn để đạt được hiệu quả.
Trường hợp viêm nướu răng nặng hoặc đã thử các cách chữa trị tại nhà nhưng không có chiều hướng thuyên giảm, bạn cần nhanh chóng tới cơ sở y tế, phòng khám nha khoa gần đây để khám và điều trị chuyên sâu.

Trao đổi với bác sĩ trước khi áp dụng bất kì phương pháp chữa bệnh nào
Như vậy với các trường hợp viêm nướu răng mới hình thành với mức độ nhẹ, bạn có thể áp dụng các biện pháp trị viêm nướu răng tại nhà theo dân gian.
Nhưng tốt nhất, bạn vẫn nên thăm khám và tham khảo ý kiến từ bác sĩ chuyên khoa để nắm rõ mức độ bệnh lý cũng như cách chữa trị an toàn, hiệu quả và phù hợp.



