1. Lựa chọn thời điểm niềng răng phù hợp
Theo các chuyên gia, độ tuổi thích hợp nhất để niềng răng là từ 9 – 12 tuổi. Đây là thời điểm các răng vĩnh viễn đã mọc đầy đủ và các răng sữa bên trong đang dần dần thay thế bởi các răng hàm vĩnh viễn.
Với kỹ thuật nha khoa phát triển như hiện nay thì bất kỳ lứa tuổi nào cũng có thể thực hiện niềng răng được, miễn là bạn có đủ sức khỏe, răng miệng đủ chắc để đảm bảo chịu được lực kéo khi gắn các mắc cài và dụng cụ chỉnh nha.
Tuy nhiên, sự dịch chuyển các răng về vị trí mong muốn khi niềng răng ở người lớn tuổi sẽ mất nhiều thời gian hơn.
2. Viết “Nhật ký” về những chiếc răng
Viết lại những thay đổi hàng ngày của răng niềng là một việc làm vô cùng có ý nghĩa với hiệu quả của việc chỉnh nha. Các Bác sĩ còn khuyến khích viết lại tất cả những thay đổi dù là nhỏ nhất của răng, những sự cố mà bạn gặp phải hay cảm giác của khuôn miệng như thế nào.
Những thông tin này sẽ giúp Bác sĩ theo dõi diễn biến của các răng trong hàm một cách dễ dàng và cụ thể hơn.
3. Tái khám đúng lịch hẹn
Nếu muốn có kết quả chỉnh nha tốt thì bạn cần tái khám đúng lịch hẹn với Bác sĩ để kiểm tra và điều chỉnh theo sự dịch chuyển của răng.
Ngoài ra, nếu bạn gặp phải tình trạng mắc cài tuột, dây cọ vào lợi hay bất cứ vấn đề nào mà bạn cảm thấy bất thường thì cũng phải đến phòng khám nha khoa ngay, không cần chờ đến lịch hẹn.

Tái khám đúng lịch hẹn
4. Xây dựng chế độ ăn uống thích hợp
Đây là kinh nghiệm niềng răng không thể bỏ qua vì chế độ ăn uống góp phần quyết định kết quả niềng răng có đạt như mong muốn hay không.
Trong thời gian chỉnh nha, các mắc cài, dây thun liên tiếp tạo ra lực kéo lên răng, răng và xương hàm đang trong giai đoạn dịch chuyển, thay đổi; nếu phải chịu những tác động không tốt thì hướng di chuyển sẽ chệch khỏi dự liệu của Nha sĩ. Do đó, bạn nên:
- Ăn những thực phẩm mềm, lỏng vừa đủ để không phải sử dụng lực nhai quá nhiều, không tác động nhiều lên mắc cài, giúp mắc cài giữ được sự chắc chắn và độ ổn định trên cung hàm.
- Bổ sung rau xanh, các món ăn làm từ trứng, sữa để cung cấp dưỡng chất cần thiết cho cơ thể. Chú ý cắt nhỏ thức ăn trước khi sử dụng để hạn chế nhai quá nhiều.
- Uống sinh tố hoa quả hoặc hoa quả ép lấy nước để đảm bảo cơ thể luôn được cung cấp đủ chất.
- Kiêng các đồ ăn cứng, dẻo, dính hoặc quá dai bởi những dạng thức ăn này đòi hỏi bạn phải dùng nhiều lực nhai, răng phải vận động nhiều dễ khiến lực kéo răng bị sai khác, mắc cài dễ bị bung buột.
- Hạn chế các dạng thức ăn dễ bám đọng và tạo màu cho răng để tránh tình trạng răng bị đổi màu hay bị sâu sau khi kết thúc quá trình chỉnh nha.
- Hạn chế các thực phẩm chứa nhiều đường, chất tạo ngọt, acid bởi những chất này sẽ góp phần bào mòn men răng, gây ra nhiều bệnh lý răng miệng.
- Tránh các thức ăn chứa nhiều mảnh vụn khi niềng răng vì chúng rất dễ bám vào kẽ răng, gây khó khăn trong việc vệ sinh.

Xây dựng chế độ ăn uống thích hợp
5. Vệ sinh răng miệng sạch sẽ
Khi đeo niềng răng, các dây niềng, mắc cài, lò xo, các sợi chun cao su có thể giữ lại thức ăn và mảng bám trên răng. Nếu không được làm sạch thì lâu ngày sẽ hình thành nên các mảng bám, cao răng gây hôi miệng cũng như các bệnh lý về răng miệng. Vì thế, việc vệ sinh răng niềng cần được quan tâm kỹ hơn.
- Chải răng ít nhất 2 lần/ngày. Nên chọn bàn chải lông mềm và thực hiện chải răng nhẹ nhàng theo hướng vòng tròn, không nên chải theo chiều ngang.
- Sử dụng chỉ nha khoa sau bữa ăn để loại bỏ các thức ăn dính trong kẽ răng, dùng nước súc miệng có chứa Flour để súc miệng trước khi đi ngủ để bảo vệ răng được tốt nhất.
6. Lựa chọn trung tâm nha khoa uy tín, đáng tin cậy
Để đạt được kết quả niềng răng như ý cũng như đảm bảo độ an toàn khi chỉnh nha, bạn nên chú ý lựa chọn một trung tâm nha khoa uy tín. Niềng răng tại Nha khoa Nhân Tâm là sự lựa chọn hợp lý cho bất kỳ ai muốn có một hàm răng đẹp toàn diện một cách hiệu quả, an toàn.
Đội ngũ Bác sĩ giỏi, giàu kinh nghiệm
Nha khoa Nhân Tâm quy tụ đội ngũ Bác sĩ giỏi, trình độ chuyên môn cao, giàu kinh nghiệm trong lĩnh vực chỉnh nha thẩm mỹ. Trực tiếp thăm khám, tư vấn và điều trị chỉnh nha tại nha khoa là Bác sĩ Trần Thị Nga – Giám đốc chuyên môn Trung tâm Nha khoa Nhân Tâm.



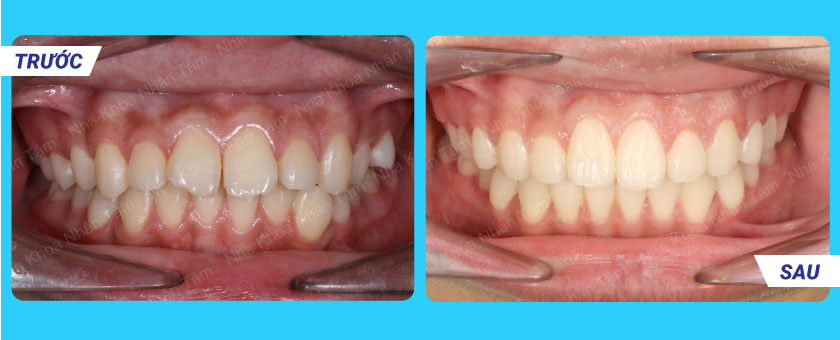
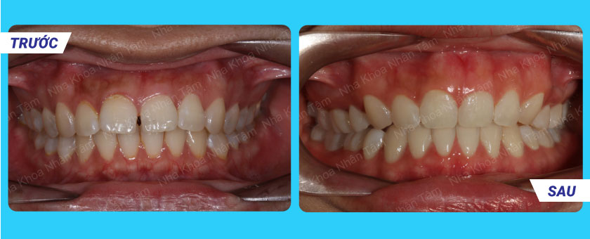
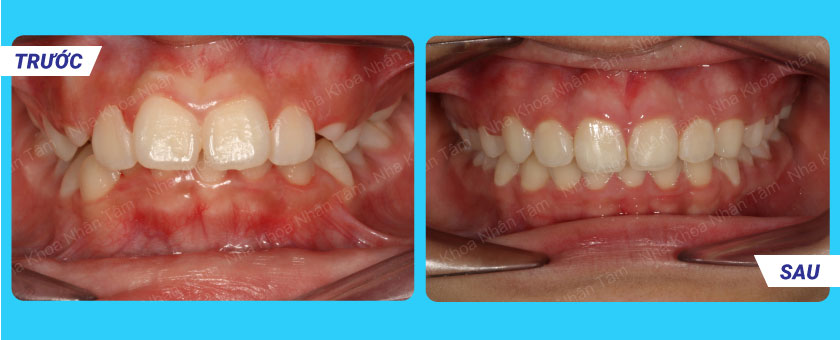
Kết quả của khách hàng khi niềng răng tại Nha khoa Nhân Tâm
Đảm bảo vô trùng tuyệt đối
Nha khoa Nhân Tâm xây dựng phòng khám đạt chuẩn quốc tế với diện tích rộng rãi, sạch sẽ và đảm bảo vô trùng tối đa.
Mỗi khách hàng khi đến thăm khám tại đây đều sẽ được sắp xếp vào một ghế nha khoa riêng biệt, có bộ thăm khám riêng, bộ tay khoan riêng nhằm đảm vô trùng và loại bỏ lây nhiễm chéo.
Máy móc, trang thiết bị hiện đại
Máy móc, trang thiết bị tại Nha khoa Nhân Tâm vô cùng hiện đại, được nhập khẩu trực tiếp từ các nước có nền nha khoa tiên tiến trên thế giới.
Đặc biệt, hệ thống máy X-quang Cone Beam CT 3D thế hệ mới nhất sẽ giúp Bác sĩ xác định cấu trúc răng, xương hàm, phản đoán được tình trạng răng miệng của Bệnh nhân; Phần mềm Vceph 3D cho phép thấy trước kết quả, dự đoán đúng những thay đổi của răng sau một khoảng thời gian nhất định,…
Công nghệ niềng răng tiên tiến
Nha khoa Nhân Tâm hiện đang thực hiện các phương pháp niềng răng như: niềng răng mắc cài (mắc cài kim loại, mắc cài sứ, mắc cài tự khóa) và niềng răng không mắc cài Invisalign.
Tùy thuộc vào tình trạng răng miệng, nhu cầu cũng như điều kiện cụ thể của từng bệnh nhân mà sẽ có phương pháp điều trị phù hợp.
Tìm hiểu thêm: Những điều cần lưu ý trong quá trình niềng răng Invisalign
Phong cách phục vụ chuyên nghiệp
Đội ngũ chăm sóc khách hàng tại Nhân Tâm được đào tào kỹ năng một cách bài bản, luôn sẵn sàng hỗ trợ cũng như giải đáp các thắc mắc của khách hàng một cách tận tình, chu đáo, làm hài lòng ngay cả khách hàng khó tính nhất.
Hỗ trợ niềng răng trả góp lãi suất 0%
Hiện nay, Nha khoa Nhân Tâm đang áp dụng chính sách niềng răng trả góp lãi suất 0% chỉ với 1 triệu đồng/tháng và không phát sinh thêm bất kỳ chi phí nào, giúp giảm bớt gánh nặng tài chính cho khách hàng, rất phù hợp với học sinh, sinh viên, người mới ra trường, nhân viên văn phòng,…
Hy vọng những kinh nghiệm niềng răng trên sẽ giúp bạn trải qua quá trình chỉnh nha một cách thoải mái và đạt kết quả như ý. Nếu còn bất kỳ thắc mắc nào cần được giải đáp, hãy liên hệ ngay đến Nha khoa Nhân Tâm để được các chuyên gia tư vấn chi tiết và hoàn toàn miễn phí.



