Trồng răng sứ Titan là phương pháp dùng mão sứ Titan để khôi phục lại chiếc răng có khiếm khuyết. Dòng răng sứ này thích hợp với các trường hợp răng xấu, răng bị hư hại mà không đòi hỏi tính thẩm mỹ quá cao. Bên cạnh đó, mức giá của dòng sản phẩm này khá bình dân, giúp mọi đối tượng khách hàng đều dễ dàng tiếp cận. Tuy nhiên chúng cũng vẫn có một số điểm trừ nhất định vậy nên trước khi trồng răng, bạn hãy tới các phòng khám nha khoa uy tín, chất lượng cao để nhận tư vấn cụ thể của bác sĩ nhé.
Trồng răng sứ Titan là gì?
Một trong những dòng răng sứ lâu đời và vẫn được sử dụng phổ biến cho đến hiện tại chính là răng sứ Titan. Sản phẩm này có cấu tạo với khung sườn bên trong chế tác từ hợp kim Crom – Niken – Titan. Loại hợp kim này có độ cứng cao và chứa 6 – 8% Titanium. Phần ngoài của răng được phủ sứ với màu sắc tương tự như răng thật. Dòng răng sứ này được đánh giá ít nhạy cảm với thực phẩm nóng, lành tính với cơ thể người.
Trồng răng sứ Titan là phương pháp dùng mão sứ Titan để khôi phục lại chiếc răng có khiếm khuyết. Dòng răng sứ này thích hợp với các trường hợp răng xấu, răng bị hư hại mà không đòi hỏi tính thẩm mỹ quá cao. Sản phẩm trên cũng phù hợp với các trường hợp buồng tủy răng lớn, không thể sử dụng răng toàn sứ để phục hình.
Bài viết liên quan: Khi nào nên bọc răng sứ? Bọc răng sứ đem lại ích lợi gì?
Có nên trồng răng sứ Titan không?

Có nên trồng răng sứ Titan không?
Chất liệu sứ Titan rất phổ biến trên thị trường hiện nay và là sự lựa chọn của không ít người. Răng sứ Titan sở hữu nhiều ưu điểm nổi bật như sau:
- Nhẹ và rất khó oxy hóa: Sản phẩm răng sứ này có kích cỡ tương đương với răng thật nhưng trọng lượng rất nhẹ nên thường được sử dụng trong phục hình răng hàm trên. Bên cạnh đó, sản phẩm này còn hạn chế được sự oxy hóa và các tác động của nước bọt trong khoang miệng.
- Độ bền chắc cao, khả năng ăn nhai tốt: Vì được cấu tạo từ sứ và kim loại nên khả năng chịu lực của chúng rất tốt, bạn có thể thoải mái ăn nhai mà không lo răng sứ bị sứt mẻ, gãy vỡ.
- An toàn, lành tính: Titan là chất liệu đã được kiểm định về độ lành tính và an toàn với cơ thể. Khi ở trong khoang miệng, sản phẩm này không gây ra bất cứ tác động xấu nào đến nướu hay các mô mềm quanh răng.
- Dễ thực hiện: Quá trình trồng răng sứ Titan khá dễ thực hiện, không đòi hỏi sự hỗ trợ từ nhiều máy móc công nghệ cao.
- Chi phí bình dân: So với các sản phẩm khác, giá răng sứ Titan ở mức bình dân hơn nhiều nhưng vẫn bảo đảm tốt về mặt chất lượng và khả năng ăn nhai.
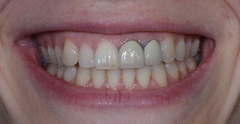
Bên cạnh các ưu điểm nêu trên, răng sứ Titan cũng còn tồn tại một số điểm trừ như sau một thời gian sử dụng, chúng có thể gây đen viền nướu, làm ngả màu răng. Hạn chế này tuy không ảnh hưởng đến sức khỏe nhưng lại làm mất đi tính thẩm mỹ. Vì vậy bạn nên chọn sử dụng sản phẩm này cho các răng hàm phía trong sẽ tốt, đối với các răng phía ngoài, bạn có thể cân nhắc bọc răng toàn sứ để đảm bảo thẩm mỹ tối ưu.

Hiện tượng đen viền nướu sau một thời gian trồng răng sứ Titan
Chi phí trồng răng sứ Titan là bao nhiêu?
Nhìn chung, mức giá răng sứ Titan trên thị trường hiện nay không quá cao, đây gần như là sản phẩm có mức giá bình dân nhất trong các loại răng sứ. Chi phí trồng răng sứ Titan còn tùy thuộc vào nhiều yếu tố như phương pháp trồng răng, số răng cần phục hình và cơ sở nha khoa thực hiện.
Dưới đây là bảng giá răng sứ Titan và các dòng sứ khác hiện đang áp dụng tại Nha khoa Nhân Tâm, bạn có thể tham khảo và dựa vào đây để cân nhắc, tính toán mức chi phí nhé.
Bài viết trên là một số thông tin cơ bản cần nắm được về trồng răng sứ Titan. Sản phẩm răng sứ này có giá thành tương đối tiết kiệm, chất lượng tốt, lành tính và an toàn với người dùng. Tuy nhiên chúng cũng vẫn có một số điểm trừ nhất định. Trước khi trồng răng, bạn hãy tới các phòng khám nha khoa gần đây tốt ở Sài Gòn để nhận tư vấn cụ thể của bác sĩ nhé.


