Trồng răng sứ là phương pháp mà bác sĩ sẽ màu đi lớp ngoài của răng thật, sau đó chế tác và lắp vào trụ răng thật một mão răng sứ nhằm thay thế cho thân răng thật bị khiếm khuyết, từ đó phục hồi chức năng nhai và thẩm mỹ cho hàm răng.
Khi thực hiện trồng răng sứ, nhiều người thường có tâm lý lo lắng, sợ cảm giác đau nhức, ê buốt. Về bản chất, trồng răng sứ rất an toàn, nhẹ nhàng và không hề gây cảm giác đau nhức, khó chịu khi thực hiện.
Tuy nhiên, trên thực tế, trồng răng sứ có thể khiến bạn gặp phải một số rắc rối như: mão sứ bị kênh, gây đau khi ăn nhai, lợi bị sưng tấy hoặc viêm nhiễm do quá trình này không được thực hiện đúng kỹ thuật.
Nha khoa Nhân Tâm là trung tâm răng sứ uy tín hàng đầu tại Việt Nam.
Với đội ngũ bác sĩ giỏi, chuyên sâu trong lĩnh vực bọc răng sứ thẩm mỹ, hệ thống trang thiết bị hiện đại, ứng dụng công nghệ răng sứ tiên tiến cùng chất lượng dịch vụ luôn đi đầu, giá cả hợp lý, Nha khoa Nhân Tâm luôn được nhiều khách hàng trong và ngoài nước tin tưởng lựa chọn.
Trồng răng sứ có đau không?
Trồng răng sứ có đau không là thắc mắc của rất nhiều người khi có ý định lựa chọn phương pháp này để cải thiện các khuyết điểm của hàm răng.
Giải đáp câu hỏi này, Ts.Bs Võ Văn Nhân – Giám đốc Nha khoa Nhân Tâm chia sẻ: Về bản chất, phương pháp trồng răng sứ thật sự an toàn, nhẹ nhàng, không hề gây cảm giác đau đớn hay bất kỳ khó chịu nào cho các khách hàng nếu được thực hiện bởi bác sĩ có trình độ chuyên môn cao, chuyên sâu trong lĩnh vực răng sứ thẩm mỹ, giàu kinh nghiệm kết hợp với sự hỗ trợ của công nghệ hiện đại.
Tuy nhiên trên thực tế, có nhiều trường hợp trồng răng sứ làm cho khách hàng cảm thấy đau. Nguyên nhân là do:
- Kỹ thuật mài cùi răng: Việc mài cùi răng nếu thực hiện không chuẩn xác, không đúng tỷ lệ và xâm lấn đến ngà hay tủy răng sẽ khiến khách hàng cảm thấy đau nhức.
- Kỹ thuật lắp mão răng sứ: Thông thường, nếu việc lắp mão sứ bị kênh, cộm, không đúng gờ rãnh sẽ gây nên cảm giác khó chịu, đồng thời còn khiến thức ăn bị giắt vào bên trong thân răng, gây nên nhiều biến chứng nguy hiểm khác.
- Tình trạng răng miệng của khách hàng: Nếu khi trồng răng sứ, răng bị sâu răng hay viêm tủy thì cần phải tiến hành điều trị các bệnh lý này trước. Đây cũng là nguyên nhân gây đau nhức cho khách hàng.

Trồng răng sứ có đau không còn phụ thuộc vào tay nghề bác sĩ
Những lưu ý khi trồng răng sứ
Để ngăn ngừa cảm giác đau, đồng thời đảm bảo tốt nhất tính thẩm mỹ và sức khỏe răng miệng, bạn cần phải biết những lưu ý khi trồng răng sứ dưới đây:
- Không ăn các thực phẩm quá cứng hay quá dai vì có thể khiến răng sứ bị gãy, vỡ.
- Hạn chế ăn đồ ăn quá nóng hoặc quá lạnh để tránh làm tổn hại đến men răng.
- Hạn chế các thực phẩm chứa nhiều đường, axit, các đồ uống có gas,… Những thực phẩm này có thể làm hỏng men răng, tạo điều kiện cho vi khuẩn phát triển gây sâu răng, nếu không can thiệp kịp thời có thể dẫn đến mất răng.
- Không nên hút thuốc lá bởi thuốc lá có thể làm cho răng sứ bị ố vàng, xỉn màu, mất thẩm mỹ.
- Nên ăn những thức ăn mềm, bổ sung các loại hoa quả chứa axit malic như dâu tây, táo,… để làm sạch răng.
- Chú ý nhai đều hai bên hàm khi ăn để lựa tác động đều nhau, giúp bảo tồn răng sứ được tốt hơn.
- Thăm khám răng miệng định kỳ theo lịch hẹn của bác sĩ để kiểm tra độ khít sát cũng như chất lượng của răng sứ.

Không ăn thức ăn quá cứng, dai khi trồng răng sứ
Điều quan trọng là bạn hãy dành thời gian lựa chọn cho mình một phòng khám nha khoa gần đây có dịch vụtrồng răng sứ thật sự uy tín để có được những chiếc răng sứ đều đẹp và chắc khỏe, đồng thời không còn phải lo sợ trồng răng sứ có đau không nữa.
Xem thêm: Răng toàn sứ có tốt không?
Nha khoa Nhân Tâm – Trung tâm răng sứ hàng đầu Việt Nam
Nha khoa Nhân Tâm đã khẳng định được uy tín và chất lượng của mình bởi hơn 23 năm hoạt động. Đây là địa chỉ đứng đầu trong lĩnh vực răng sứ thẩm mỹ tại TP.HCM cùng các dịch vụ phục hình răng thẩm mỹ khác như: mặt dán sứ veneer, cấy ghép implant, niềng răng – chỉnh nha,…
Dưới đây là những lý do giúp Nhân Tâm luôn được nhiều khách hàng lựa chọn để trồng răng sứ nhất hiện nay:
- Đội ngũ bác sĩ nha khoa thẩm mỹ giỏi với hơn 23 năm kinh nghiệm trong nghề, luôn đề cao y đức, nâng cao trình độ chuyên môn, tận tâm trong việc chăm sóc và điều trị nhằm đem lại kết quả điều trị tốt nhất cùng sự hài lòng tối ưu cho khách hàng.
- Cơ sở vật chất, trang thiết bị hiện đại, giúp quá trình trồng răng sứ diễn ra nhẹ nhàng, nhanh chóng, không đau.
- Có phòng Labo riêng giúp rút ngắn thời gian chế tác răng sứ, đồng thời xử lý nhanh mọi trường hợp có thể xảy ra.
- Đặc biệt, khi trồng răng sứ tại Nha khoa Nhân Tâm, khách hàng còn được áp dụng chính sách bảo hành lâu dài, đồng thời đội ngũ nhân việc chuyên nghiệp, luôn sẵn sàng hỗ trợ giải đáp mọi thắc mắc của khách hàng.

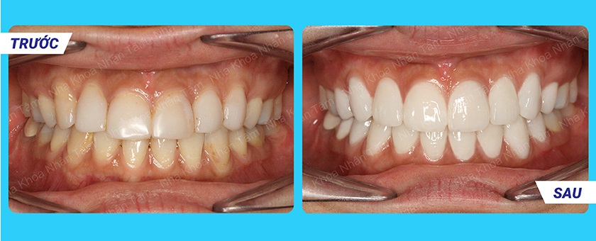
Khách hàng trồng răng sứ tại Nha khoa Nhân Tâm
Với những thông tin được cung cấp trên đây, hy vọng bạn đã biết trồng răng sứ có đau không. Tốt nhất hãy lựa chọn cho mình địa chỉ nha khoa uy tín để sở hữu hàm răng chắc khỏe và đẹp tự nhiên. Liên hệ ngay đến Nha khoa Nhân Tâm để được tư vấn cụ thể!



