Theo Bác sĩ Võ Văn Nhân cho biết: Trám răng thẩm mỹ có một màu sắc giống hệt như màu răng tự nhiên, giúp phục hồi lại hình dạng, thậm chí giúp che đi một số các khuyết điểm trên men răng. Sau đó, một lớp keo đặc biệt được nha sĩ bôi lên răng, một lớp vật liệu Composite có màu khá giống với màu răng.
Trám răng thẩm mỹ là gì?
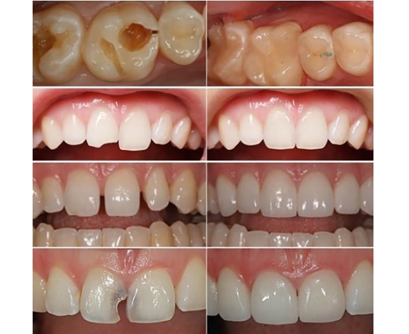
Trám răng thẩm mỹ là một phương pháp điều trị được sử dụng rộng rãi trong nha khoa nhằm phục hồi những răng bị hư hỏng hoặc sâu nhằm khôi phục lại tính thẩm mỹ cũng như chức năng ăn nhai.
Đây là một phương pháp điều trị nha khoa thông thường nên sẽ không gây khó chịu cho bạn. Đối với những trường hợp sâu răng nhẹ, việc điều trị bằng phương pháp trám răng có thể giúp ngăn chặn sâu răng phát triển, lây lan thêm, vì vậy tốt nhất nên thực hiện trám răng ngay khi răng bắt đầu bị sâu hoặc khi sâu răng còn nhỏ.
Sau khi lớp vật liệu composite quang hóa được phủ lên răng, lớp vật liệu composite sẽ tự động đóng rắn lại sau khi được chiếu bằng đèn Halogen trong một thời gian được định sẵn. Các phần thô của composite cứng được mài và đánh bóng để trông giống như một chiếc răng tự nhiên.
Xem thêm: Trám răng sâu giá bao nhiêu?
Các trường hợp nên trám răng thẩm mỹ
- Răng sâu, hoặc mới chớm sâu răng (chưa chạm đến tủy răng), điều trị lỗ sâu, điều trị tủy.
- Răng bị nứt vỡ, sứt mẻ.
- Răng thưa hở, bị mòn men răng, hở kẽ nhỏ.
- Răng bị thiểu sản men răng, mòn phần cổ răng.
- Răng khấp khểnh nhẹ.
- Người bị sâu răng.
- Răng bị bể, vỡ, mẻ do chấn thương gây ra.
- Người muốn trám lại các răng bị thưa để tăng thêm tính thẩm mỹ cho hàm răng của mình.

Những trường hợp cần trám răng thẩm mỹ
Lưu ý về việc trám răng
Sâu răng là bệnh lý phổ biến nhất mà hầu như tất cả mọi người đều mắc phải. Nguyên nhân chính dẫn đến sâu răng là do việc vệ sinh răng miệng không được sạch sẽ sau khi ăn. Khiến cho các mảng bám còn đọng lại ở trên răng. Lúc này, các vi khuẩn sẽ chuyển hóa phần mảng bám này thành axit. Chúng ăn mòn và phá hoại lớp men răng, tạo thành những vệt đen trên răng. Hoặc nặng hơn là những lỗ sâu to gây ảnh hưởng nghiêm trọng đến tủy răng.
Do đó, khi phát hiện răng bị sâu, bạn phải ngay lập tức đến nha khoa để các bác sĩ điều trị sớm nhất. Răng của bạn sẽ được phục hình lại một cách tốt nhất và hạn chế bệnh sâu răng tái phát. Chính vì thế bạn nên khám răng định kỳ mỗi 6 tháng. Để kiểm tra răng miệng và phát hiện các trường hợp cần nên điều trị.
Lợi ích của trám răng thẩm mỹ
Trám răng thẩm mỹ là một giải pháp mang đến nhiều lợi ích toàn diện. Có khả năng “hóa phép” cho bạn 1 hàm răng khỏe đẹp như mong muốn:
- Tái tạo ngoại hình mới, đẹp – bền lâu cho răng đẹp hoàn chỉnh.
- Bảo vệ răng một cách hiệu quả khi điều trị sâu răng, viêm tủy.
- Nhanh chóng – an toàn – hiệu quả, răng thật sẽ được bảo tồn tối đa nhất.
- Ngăn ngừa được các tình trạng răng sâu giúp loại bỏ các khuyết điểm của răng còn những.
- Hiệu quả lâu dài nhờ Nha Khoa Nhân Tâm sử dụng chất liệu hàn trám răng cao cấp để đảm bảo được độ bền – an toàn cho hoạt động ăn nhai tốt hơn.
- Với hàn trám răng, răng thật sẽ được bảo tồn một cách tối đa.

Trám răng thẩm mỹ mang đến 1 hàm răng khoẻ đẹp như mong muốn
Tại sao nên trám răng thẩm mỹ tại Nha Khoa Nhân Tâm?
Dù rằng trám răng thẩm mỹ không phải kỹ thuật quá phức tạp nhưng bạn vẫn cần đảm bảo được điều trị bởi các sĩ có chuyên môn cao, lành nghề, nhiều kinh nghiệm thực tiễn và tỉ mỉ để đạt kết quả tốt. Bên cạnh đó, Nha Khoa Nhân Tâm còn có phòng phẫu thuật đạt chuẩn được chứng nhận từ Sở y tế, bạn có thể hoàn toàn yên tâm khi lựa chọn và thực hiện các dịch vụ của chúng tôi.
Nha khoa Nhân Tâm là một địa chỉ đáng tin cậy để “giải quyết” triệt để các vấn đề của Khách hàng về răng miệng, giúp khách hàng có nụ cười đẹp – hàm răng khỏe toàn diện.
Khi có nhu cầu trám răng, hoặc cần tư vấn cách điều trị tốt nhất, bạn có thể liên hệ ngay với chúng tôi. Khi bạn liên hệ theo thông tin bên dưới, Nha khoa Nhân Tâm sẽ tiến hành tư vấn miễn phí mọi thông tin chi tiết về dịch vụ này.




