Trám răng sâu lấy tủy giá bao nhiêu sẽ được tính toán dựa trên chi phí điều trị tủy và trám răng đối với từng trường hợp. Giá lấy tủy sẽ có sự chênh lệch giữa các răng khác nhau do sự khác biệt về số lượng ống tủy, cấu trúc răng và độ rộng hẹp nên mức độ phức tạp khi thực hiện sẽ khác nhau. Còn chi phí cho dịch vụ trám răng sẽ tùy thuộc vào vật liệu sử dụng. Do vậy, để biết chính xác chi phí trám răng sâu lấy tủy, bạn nên tới trung tâm nha khoa để thăm khám và nhận tư vấn từ bác sĩ.
Phương pháp trám răng sâu lấy tủy
Để có cái nhìn cụ thể nhất, hãy cùng tìm hiểu về khái niệm và ý nghĩa của biện pháp điều trị trước khi giải đáp trám răng sâu lấy tủy giá bao nhiêu nhé.
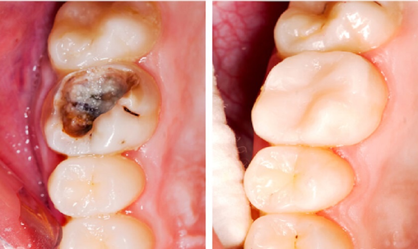
Biện pháp trám răng sâu lấy tủy bao gồm 2 kỹ thuật diệt tủy và trám răng được tiến hành trong một lần điều trị. Diệt tủy là lấy đi các mô tủy đã bị hư hỏng và trám lại răng bằng kỹ thuật trám răng sâu. Phương pháp này sẽ giúp ngăn chặn sự phát triển các mầm mống vi khuẩn gây ra các biến chứng phức tạp hơn như viêm chóp răng, áp xe răng,… Lấy tủy và trám răng được đánh giá là biện pháp hiệu quả giúp bảo tồn răng khi phát hiện răng bị viêm tủy và không thể phục hồi được nữa.

Lấy tủy và trám răng là biện pháp hiệu quả giúp bảo tồn răng khi bị viêm tủy
Trường hợp trám răng không cần lấy tủy
Đa phần các răng bị thương tổn nhẹ, chưa ảnh hưởng đến tủy răng sẽ không cần điều trị tủy như sâu răng nhẹ không gây đau nhức, răng vỡ mẻ do sâu răng hoặc tai nạn, chấn thương nhưng chưa lộ tủy và một số trường hợp trám răng để phục hình răng thưa, hở kẽ,…
Trường hợp trám răng cần lấy tủy
Những người đã có biểu hiện viêm tủy như đau nhói do sâu răng, răng nhạy cảm với đồ ăn lạnh, nóng hoặc đau buốt nhiều khi ăn uống, mô răng bị vỡ lớn làm lộ tủy do chấn thương, nguy cơ nhiễm trùng cao.
Các trường hợp diệt tủy cần phải được thăm khám kỹ lưỡng, chụp X – quang để đánh giá chính xác mức độ, tình trạng viêm nhiễm. Từ đó, bác sĩ sẽ tư vấn cụ thể cho khách hàng có nên lấy tủy, trám răng hay không.
Trám răng sâu lấy tủy giá bao nhiêu?

Trám răng sâu lấy tủy giá bao nhiêu?
Thông thường, chi phí trám răng sâu và điều trị tủy sẽ được tính riêng. Đối với các khách hàng thực hiện đồng thời cả hai biện pháp này: Chi phí trám răng sâu lấy tủy = Chi phí điều trị tủy + Chi phí trám răng
Đối với dịch vụ điều trị tủy
Mức giá lấy tủy sẽ có sự chênh lệch giữa các răng khác nhau do sự khác biệt về số lượng ống tủy, cấu trúc răng và độ rộng hẹp nên mức độ phức tạp khi thực hiện sẽ khác nhau.
Chi phí điều trị tủy tại Nha khoa Nhân Tâm hiện nay được đề cập cụ thể trong bảng giá dưới đây:
Theo bảng báo giá nêu trên, bạn có thể thấy dịch vụ điều trị tủy cho răng hàm sẽ cao hơn so với răng cửa vì răng hàm có nhiều ống tủy, mỗi chiếc răng có thể có từ 3 đến 4 ống tủy, trong khi răng cửa chỉ có 1 ống tủy mà thôi.
Đặc biệt trong trường hợp điều trị tủy cho răng khó thì chi phí lại có phần cao hơn vì đây là quá trình điều trị có độ phức tạp cao, đòi hỏi bác sĩ phải có tay nghề tốt, nhiều kinh nghiệm lâm sàng và được hỗ trợ bởi các trang thiết bị hiện đại.
Đối với dịch vụ trám răng

Chi phí trám răng tùy thuộc vào vật liệu sử dụng
Chi phí cho dịch vụ này sẽ tùy thuộc vào vật liệu sử dụng để trám răng. Trên thị trường hiện nay có hai loại vật liệu trám răng là vật liệu trám răng thẩm mỹ và vật liệu trám răng thông thường. Chất liệu trám thông thường như amalgam thì độ cứng chắc cao, độ bền tốt nhưng màu sắc lại không giống với màu răng tự nhiên nên thường được lựa chọn để phục hình các răng ở vị trí khuất.
Chất liệu trám răng thẩm mỹ được dùng phổ biến là composite với màu sắc tương tự như răng thật, đem lại tính thẩm mỹ cao và tuổi thọ lâu dài. Vì các đặc điểm vượt trội này nên mức giá trám răng thẩm mỹ sẽ cao hơn trám răng thông thường.
Chi phí cụ thể bạn có thể cập nhật trong bảng sau:
Thông qua bảng báo giá nêu trên, chắc hẳn các bạn đã không còn băn khoăn trám răng sâu lấy tủy giá bao nhiêu nữa rồi phải không. Để sử dụng các dịch vụ nha khoa với chất lượng cao và chi phí phải chăng nhất, bạn hãy ghé qua Nha khoa Nhân Tâm – trung tâm nha khoa quận 10 với uy tín lâu năm, được cả giới chuyên môn và khách hàng đánh giá cao.




