Trám răng cửa thưa là một trong những giải pháp tối ưu để cải thiện răng thưa, hở kẽ một cách nhanh chóng, an toàn, giúp khách hàng lấy lại hàm răng sát khít, đều đẹp.
Nha khoa Nhân Tâm là địa chỉ trám răng uy tín, chất lượng mà bạn không nên bỏ qua. Với công nghệ laser hiện đại và bàn tay khéo léo, lành nghề của các bác sĩ giỏi chuyên môn, giàu kinh nghiệm, trám răng tại Nhân Tâm sẽ diễn ra cực kì an toàn, nhanh chóng và đem lại hiệu quả cao.
Lý do nên trám răng cửa thưa
Răng cửa thưa là hiện tượng giữa các răng có khoảng cách lớn, thường là do răng mọc ngầm, mọc lệch, kích cỡ răng nhỏ, ảnh hưởng từ các bệnh nha chu hoặc các thói quen xấu liên quan đến răng miệng,… Không những làm mất đi vẻ đẹp thẩm mỹ, tạo tâm lý không thoải mái, kém tự tin mà răng cửa thưa còn khiến hoạt động ăn uống, cắn xé thức ăn, vệ sinh răng gặp nhiều khó khăn và là yếu tố làm tăng nguy cơ mắc các bệnh lý răng miệng.
Trám răng cửa thưa hiện được xem là một trong những giải pháp tối ưu để cải thiện khuyết điểm răng mọc thưa, hở kẽ một cách nhanh chóng, an toàn, giúp khách hàng lấy lại hàm răng sát khít, đều đẹp.

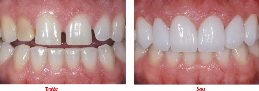
Trám răng cửa thưa để lấy lại hàm răng sát khít, đều đẹp
Trám răng cửa thưa và các ưu điểm nổi trội
Trám răng cửa thưa là một kỹ thuật đơn giản trong nha khoa, được tiến hành bằng cách lấp kín khoảng trống giữa các răng bằng vật liệu trám răng chuyên dụng, giúp khôi phục cả chức năng ăn nhai và vẻ đẹp thẩm mỹ.
Đây là biện pháp mang lại hiệu quả cao và được chỉ định trong những trường hợp có nhu cầu khắc phục khiếm khuyết răng thưa nhờ những ưu điểm nổi bật như:
- Chất liệu trám răng có độ chịu lực cao, độ cứng lớn nên răng đã trám vẫn đảm nhận tốt chức năng ăn nhai. Bên cạnh đó, trám răng thưa còn giúp hạn chế thức ăn thừa mắc lại kẽ răng, giảm nguy cơ mắc bệnh lý răng miệng.
- Màu sắc tương đồng với răng tự nhiên, đem lại cho khách hàng hàm răng sát khít, đẹp hơn, từ đó lấy lại tự tin trong giao tiếp.

Chất liệu trám có màu sắc tương đồng với răng thật giúp đảm bảo tính thẩm mỹ
- Vết trám không bị kích thích khi ăn đồ ăn nóng, lạnh, không bị cong vênh trong thời gian sử dụng.
- Tuổi thọ của vật liệu trám rất lâu dài và không gây ra bất cứ biến chứng hay phản ứng phụ nào.
Chi phí trám răng cửa thưa
Giá trám răng cửa thưa trên thực tế sẽ tùy thuộc vào nhiều yếu tố như tình trạng răng, chất lượng nha khoa, chất liệu sử dụng, có cần chữa trị các bệnh lý khác đi kèm hay không,…
Trên thị trường hiện nay có 2 dòng chất liệu trám răng là chất liệu thông thường và chất liệu thẩm mỹ. Những chất liệu trám răng thông thường như amalgam thì độ cứng chắc, độ bền cao nhưng màu sắc lại không giống với răng thật nên không được sử dụng để trám răng cửa.
Khi gặp tình trạng thưa răng cửa, các bác sĩ thường khuyên bạn nên sử dụng chất liệu trám răng thẩm mỹ composite. Mặc dù chi phí trám răng bằng chất liệu này có phần cao hơn so với chất liệu thông thường nhưng sẽ giúp bạn đảm bảo tính thẩm mỹ và độ bền chắc lâu dài.
Chi phí trám răng cửa thưa tại Nha khoa Nhân Tâm sẽ được đề cập chi tiết trong bảng sau đây, mời các bạn cùng tham khảo:
Trám răng cửa thưa chất lượng cao tại Nha khoa Nhân Tâm
Được xây dựng theo tiêu chuẩn quốc tế, đáp ứng đầy đủ các tiêu chí của một trung tâm nha khoa hàng đầu, trám răng cửa thưa tại Nha khoa Nhân Tâm sẽ là chọn lựa tối ưu nhất, giúp khách hàng có được kết quả điều trị như ý muốn.
Tại đây, bạn sẽ các bác sĩ chuyên khoa trực tiếp thăm khám và tư vấn phương pháp điều trị phù hợp tùy vào từng tình trạng răng. Nếu có chỉ định trám răng cửa thưa, bác sĩ cũng sẽ giải thích cho bạn về phương pháp thực hiện và những điều mà bạn đang băn khoăn.
Trám răng tại Nha khoa Nhân Tâm được tiến hành với công nghệ laser hiện đại và bàn tay khéo léo, lành nghề của các bác sĩ giỏi chuyên môn, giàu kinh nghiệm, việc trám răng sẽ diễn ra cực kì an toàn và nhanh chóng.

Trám răng an toàn và nhanh chóng tại Nha khoa Nhân Tâm
Bên cạnh đó, Nha khoa Nhân Tâm còn đặc biệt chú trọng đến yếu tố vô trùng. Mỗi khách hàng đến đây đều được sử dụng một bộ dụng cụ riêng, không gian khám chữa bệnh cũng được khử khuẩn thường xuyên nên tình trạng nhiễm trùng hoặc lây nhiễm chéo sẽ được ngăn chặn hiệu quả.
Nha khoa Nhân Tâm là phòng khám nha khoa tốt nhất Sài Gòn – địa chỉ trám răng cửa thưa uy tín, chất lượng mà bạn không nên bỏ qua. Nếu bạn còn câu hỏi nào cần được giải đáp, hãy liên hệ với chúng tôi theo số điện thoại 1900 56 5678 hoặc đến trực tiếp Nha khoa Nhân Tâm để được bác sĩ thăm khám và tư vấn cụ thể nhé.



