Vôi răng là nguyên nhân hàng đầu gây nên các bệnh lý răng miệng nguy hiểm như: sâu răng, viêm nướu, viêm nha chu,… Vôi răng rất “cứng đầu” và không thể làm sạch bằng cách chải răng thông thường. Do đó, để bảo vệ sức khỏe răng miệng được tốt nhất, bạn cần thực hiện cạo vôi răng định kỳ 6 tháng/lần.
Cạo vôi răng được đánh giá là kỹ thuật đơn giản trong nha khoa, hoàn toàn không tác động đến men răng hay các vùng khác trong khoang miệng.
Tuy nhiên, nếu thực hiện sai cách gây nên những hậu quả khôn lường: tổn thương cấu trúc răng, nhiễm trùng mô mềm, mắc phải các bệnh truyền nhiễm,… Để đảm bảo an toàn khi thực hiện cạo vôi răng, bạn cần lựa chọn được địa chỉ nha khoa uy tín.
Hiện nay, Nha khoa Nhân Tâm là một trong những nha khoa uy tín tại TP.HCM đáp ứng hoàn toàn các tiêu chí lấy vôi răng an toàn. Khi thực hiện cạo vôi răng tại đây, bạn sẽ được trực tiếp bác sĩ giỏi, giàu kinh nghiệm thăm khám và điều trị, cùng với đó là sự hỗ trợ của công nghệ cao vôi hiện đại, đảm bảo vô trùng – vô khuẩn tuyệt đối.
Tác hại của cạo vôi răng sai cách
Cạo vôi răng là phương pháp giúp làm sạch các mảng bám ra khỏi bề mặt răng cũng như sâu bên dưới nướu, giúp bảo vệ sức khỏe răng miệng toàn diện. Việc lấy vôi răng khá đơn giản, không gây tác động đến men răng, nướu răng hay bất kỳ vùng nào trong khoang miệng.
Tuy nhiên trên thực tế, vẫn còn khá nhiều trường hợp thực hiện cạo vôi sai cách và gây ảnh hưởng không nhỏ đến răng, nướu. Dưới đây là một số tác hại của cạo vôi răng không đúng cách mà bạn nên biết:
Tổn thương cấu trúc răng
Nếu quá trình cạo vôi răng sử dụng dụng cụ để cạo vôi trực tiếp trên bề mặt răng có thể khiến men răng bị tổn thương, hoặc cũng có thể bị bào mòn dần dần. Điều này sẽ khiến bạn thường xuyên cảm thấy đau nhức, gặp nhiều khó khăn khi ăn nhai, đồng thời còn khiến cho phần ngà răng và tủy răng bị phá hủy.
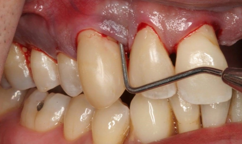
Nhiễm trùng mô mềm
Vôi răng để lâu ngày sẽ xuất hiện ngày càng nhiều và lan xuống cả bên dưới nướu, khi thực hiện cạo vôi ở phần này có thể sẽ gây chảy máu. Đây là hiện tượng bình thường và không có gì đáng lo ngại nếu được xử lý đúng cách.
Tuy nhiên, nếu không xử lý đúng cách sẽ gây viêm nhiễm vùng nướu, lan sâu vào vùng nha chu và gây nên những biến chứng nguy hiểm khác.

Cạo vôi răng không đúng cách có thể gây tổn thương mô mềm
Bệnh truyền nhiễm
Bệnh truyền nhiễm thường diễn ra nếu cạo vôi răng sai cách, các dụng cụ, máy móc thực hiện không đảm bảo yếu tố vô trùng. Mặc dù lây nhiễm chéo chiếm tỷ lệ rất nhỏ nhưng là vấn đề bạn cần phải lưu ý thật kỹ để đảm bảo an toàn cho bản thân.
Những nguyên tắc an toàn khi cạo vôi răng
Để cạo vôi răng an toàn, không biến chứng, không gặp phải những tác hại của cạo vôi răng vừa đề cập ở trên, bạn cần tuân theo một số quy tắc an toàn chung dưới đây.
- Cần thực hiện cạo vôi răng tại địa chỉ nha khoa uy tín. Bác sĩ thực hiện phải có tay nghề cao, giàu kinh nghiệm để thực hiện thao tác chuẩn xác và hoàn thành nhanh chóng.
- Ngoài ra, nha khoa phải ứng dụng công nghệ cạo vôi răng bằng sóng siêu âm hiện đại để cạo vôi răng nhẹ nhàng, không đau, tránh cạo trực tiếp trên bề mặt men răng hay tác động quá nhiều đến mô mềm.
- Các viêm nhiễm do cao răng gây ra cần được xác định cụ thể và có biện pháp xử lý ngay sau khi cạo vôi xong, tránh bỏ qua viêm nhiễm khiến chúng phát triển nặng hơn.

Cạo vôi răng cần được thực hiện tại địa chỉ nha khoa uy tín
- Quy trình cạo vôi được thực hiện theo đúng tiêu chuẩn của Bộ Y tế, dụng cụ và môi trường nha khoa phải được vô trùng – vô khuẩn 100% trước khi thực hiện dịch vụ.
- Việc lạm dụng cạo vôi răng nhiều lần có thể gây tổn thương răng. Do đó, bạn chỉ nên thực hiện theo định kỳ 3 – 6 tháng/lần.
- Ngoài ra, tùy theo sức khỏe răng miệng, mức độ hình thành vôi răng nhiều hay ít mà bác sĩ sẽ chỉ định thời gian nên lấy cao răng.
Hy vọng rằng những thông tin trong bài viết trên đã giúp bạn hiểu rõ hơn về tác hại của cạo vôi răng sai cách đối với sức khỏe răng miệng của mình.
Nếu cần được tư vấn thêm thông tin hoặc đặt lịch hẹn khám, hãy liên hệ ngay đến Nha khoa Nhân Tâm theo Hotline 1900 56 5678 để được các chuyên gia hỗ trợ nhanh chóng.



