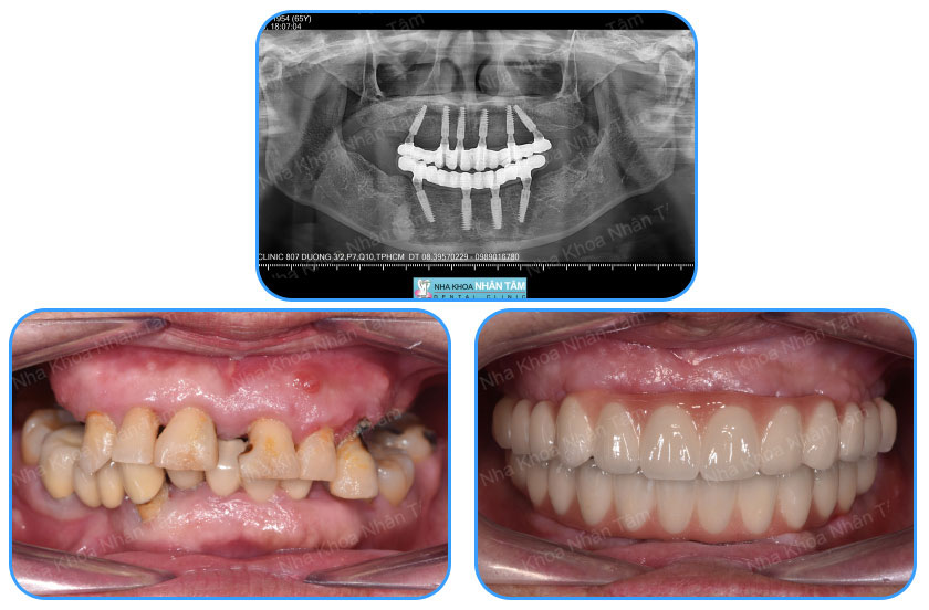
Với kỹ thuật Implant All on 4, Bác sĩ chỉ sử dụng 4 Implant trên 1 hàm, bao gồm 2 Implant giữa được cấy thẳng góc và 2 Implant phía bên được cấy nghiêng với góc nghiêng tối đa 45 độ, cùng với sự hỗ trợ của Multi-unit Abutment nâng đỡ, giúp cho phục hình trên 4 Implant đạt được 12 răng/hàm.
Quá trình cấy ghép Implant All on 4 sẽ được chia làm 2 lần, mỗi lần cắm 2 trụ Implant nhằm đảm bảo hiệu quả và an toàn cho khách hàng.
Khi cấy ghép Implant All on 4, người bệnh sẽ không cần phải ghép xương, đảm bảo thẩm mỹ và chức năng ăn nhai, giúp khách hàng có được nụ cười tự tin, rạng rỡ trên môi và không phải quá băn khoăn về giá cả hay thời gian phục hình răng.
Cấy ghép Implant All on 4 là gì?
Kỹ thuật cấy ghép Implant All on 4 là một kỹ thuật mới do Nobel Biocare phát minh (công ty sản xuất Implant nổi tiếng của Đức).
Kỹ thuật này cấy ghép 4 Implant vào xương hàm, trong đó 2 trụ Implant giữa được cấy thẳng và 2 trụ Implant bên được cấy nghiêng với góc nghiêng tối đa lên tới 45 độ. Quá trình cắm trụ Implant sẽ được chia làm 2 lần, mỗi lần cắm 2 trụ Implant nhằm đảm bảo hiệu quả và an toàn cho khách hàng.

Kỹ thuật cấy ghép Implant All on 4
Ưu điểm của phương pháp cấy ghép Implant All on 4
Với kỹ thuật cấy ghép Implant All on 4, người bệnh sẽ không cần phải ghép xương, nhưng kết quả mang đến là thành công mỹ mãn, chỉ với 4 trụ Implant nhưng toàn bộ răng mất sẽ được khôi phục, cố định chắc chắn trên cung hàm.
Implant All on 4 sẽ giúp khách hàng đảm bảo chức năng ăn nhai như răng thật và tính thẩm mỹ cũng được nâng lên đáng kể.
Bên cạnh đó, cấy ghép Implant All on 4 có thời gian điều trị ngắn hơn, ít đau và tiết kiệm chi phí hơn là cấy ghép Implant cho từng vị trí răng.
Nếu cấy ghép trụ Implant cho từng răng, khách hàng sẽ phải gánh chi phí rất cao đồng thời chờ đợi thời gian phục hình, Implant tương thích với xương cũng mất rất nhiều, song với Implant All on 4, thời gian để có được hàm răng cố định hoàn chỉnh được rút ngắn rất nhiều, khách hàng không phải băn khoăn quá nhiều về chi phí.

Khách hàng thực hiện cấy ghép Implant All on 4
Tuy nhiên, để xác định được tình trạng xương hàm, chất lượng xương cũng như mật độ xương để có thể cấy ghép được Implant All on 4 phải cần đến một bác sĩ giỏi chuyên môn, giàu kinh nghiệm thực tiễn mới có thể quyết định được.
Thường thì những vùng xương không có trụ Implant lâu năm sẽ gặp phải tình trạng tiêu xương hàm, vì thế chỉ định Implant All on 4 sẽ tùy thuộc vào từng đối tượng phù hợp để có thể duy trì Implant ổn định trên cung hàm.
Nhược điểm của phương pháp Implant All on 4
Bên cạnh những ưu điểm vượt trội thì trồng răng Implant All on 4 vẫn tồn tại một số hạn chế nhất định.
| Nhược điểm của Implant All on 4 | Cách khắc phục từ chuyên gia |
|---|---|
| Chỉ áp dụng cho trường hợp có đủ xương và xương tốt vùng răng cửa. | Chất lượng xương không tốt và số lượng xương không đủ thì cần tiến hành nâng xoang - ghép xương, có thể thực hiện cấy ghép Implant đơn lẻ để có thể phục hồi thẩm mỹ và chức năng một cách tốt nhất. |
| Kỹ thuật khó do cấy 2 Implant phía bên nghiêng góc, đòi hỏi bác sĩ phẫu thuật phải có chuyên môn cao và giàu kinh nghiệm, kiểm soát tốt hướng cấy Implant. | Để biết trường hợp của mình có phù hợp để cấy ghép Implant All on 4 hay không và thực hiện cấy ghép Implant an toàn, khách hàng cần phải tìm hiểu thật kỹ các thông tin về trồng răng và lựa chọn cho mình địa chỉ nha khoa uy tín. Bác sĩ phải là người chuyên sâu về Implant nha khoa, am tường cấu trúc giải phẫu của khách hàng. Hơn nữa, nha khoa phải trang bị đầy đủ các thiết bị cần thiết, hệ thống vô trùng đảm bảo. |
| Khi trồng răng Implant All on 4, bạn bắt buộc phải tái khám định kỳ để được bác sĩ kiểm tra và bảo dưỡng răng đúng cách. | Hãy chăm sóc răng miệng kỹ lưỡng, thăm khám định kỳ theo đúng lịch hẹn của bác sĩ để hạn chế tối đa các bệnh răng miệng và giữ cho răng Implant được tồn tại lâu dài. |

Cấy ghép Implant All on 4 cần được thực hiện tại địa chỉ nha khoa uy tín
Ai nên trồng răng Implant All on 4?
Có thể khẳng định rằng trồng răng Implant All on 4 là một bước tiến đột phá trong nha khoa. Sự ra đời của Implant All on 4 giúp khắc phục tất cả các nhược điểm của phương pháp điều trị tình trạng mất răng thật trước đây như làm cầu răng sứ, làm hàm giả tháo lắp,…
Ưu điểm nổi bật của All on 4 chính là đem đến cho bạn hàm răng chắc khỏe, khôi phục tính thẩm mỹ và chức năng ăn nhai giống với răng thật.
Những đối tượng được chỉ định cấy ghép Implant All on 4 là:
- Khách hàng bị mất răng toàn hàm, tiêu xương vùng răng trong.
- Khách hàng có răng bị sâu, hoặc viêm nha chu không thể giữ được.
- Khách hàng vừa mới nhổ răng toàn hàm, mong muốn có hàm răng cứng chắc và lâu bền.

Các trường hợp nên tiến hành trồng răng Implant All on 4
Chi phí trồng răng Implant All on 4 hiện nay
Có nhiều người cho rằng, việc cắm 4 trụ Implant để phục hồi răng mất toàn hàm sẽ giúp tiết kiệm một khoản chi phí đáng kể so với các kỹ thuật phục hình răng toàn hàm khác.
Tuy nhiên thực tế thì trồng răng Implant all on 4 có mức giá không chệch quá nhiều với những biện pháp phục hình răng toàn hàm khác bởi:
- Trụ Implant được sử dụng phải là sản phẩm chất lượng cao, thường có giá thành cao hơn những loại thông thường nhằm đảm bảo chức năng giữ vững và nâng đỡ hàm giả trên Implant.
- Việc thiết kế, sản xuất hàm giả phục hình thân răng cũng khá phức tạp và yêu cầu tính tỉ mỉ nhiều hơn những cấu trúc phục hình khác nên giá thành cũng cao hơn.
Ngoài ra chi phí cấy ghép Implant all on 4 cũng sẽ có sự khác biệt giữa các nha khoa dựa trên công nghệ cấy ghép, hệ thống máy móc hỗ trợ, trình độ y bác sĩ, chất lượng của trung tâm nha khoa,…
Quy trình trồng răng Implant All on 4 diễn ra như thế nào?
Nhìn chung, cấy ghép Implant sẽ được chia thành 2 giai đoạn:
- Giai đoạn 1: Bác sĩ sẽ tiến hành ghép xương (nếu có), cấy ghép trụ Implant, phục hình răng tạm thời để khách hàng có thể ăn, nhai, đáp ứng nhu cầu thẩm mỹ.
- Giai đoạn 2: Khoảng 3-6 tháng sau khi đặt trụ Implant, trụ Implant đã ăn nhập hoàn toàn với xương hàm, bác sĩ sẽ tiến hành bước cuối cùng là phục hình răng sứ cố định trên Implant.
Quy trình trong các giai đoạn sẽ diễn ra cụ thể theo các bước sau:
Bước 1: Bác sĩ thăm khám và đưa ra phương pháp điều trị.
Bước 2: Kiểm tra sức khỏe răng miệng, chụp Xquang để kiểm tra cấu trúc xương.
Bước 3: Xây dựng phương án điều trị phù hợp với từng trường hợp dựa trên phần mềm Implant giả định.
Bước 4: Quá trình cắm trụ Implant vào trong xương hàm sẽ được chia làm 2 lần, mỗi lần cắm 2 trụ Implant.
Bước 5: Sau 3 - 6 tháng tiến hành lắp đặt răng trên Implant.
Bước 6: Đặt lịch khám và hoàn tất quá trình điều trị.

Cần chụp phim X-quang trước khi tiến hành cấy ghép Implant
Xem thêm: Trồng răng Implant là gì? Trồng răng Implant tức thì là gì?
Cần lưu ý những gì khi trồng răng Implant All on 4?
Chọn địa chỉ trồng răng thật sự uy tín
Trồng răng Implant All on 4 rất phổ biến ở giai đoạn này, tuy nhiên trồng răng là một kỹ thuật rất khó và cần được thực hiện bởi nha khoa Implant uy tín, bác sĩ Implant giỏi chuyên môn, giàu kinh nghiệm lâm sàng, kết hợp với công nghệ hiện đại để có kết quả tốt nhất.
Bác sĩ nha khoa cấy ghép Implant giỏi là yếu tố đầu tiên và quan trọng nhất quyết định sự thành công của ca phục hình răng Implant
Thông báo tình trạng bệnh lý đến Bác sĩ điều trị
Bệnh lý nội khoa: Những khách hàng có tiền sử tim mạch, ung thư di căn, rối loạn tâm thần, tiểu đường, khách hàng xạ trị, phụ nữ mang thai,… thì không thể thực hiện trồng răng.
Bệnh lý răng miệng: Những khách hàng bị viêm nha chu, viêm nha chu, sâu răng, viêm lợi và các bệnh lý răng miệng khác cần được điều trị triệt để trước khi thực hiện trồng răng.

Nói chuyện với bác sĩ đã điều trị tiền sử bệnh của bạn để được tư vấn cách điều trị tốt nhất
Không hút thuốc lá khi thực hiện trồng răng Implant
Hút thuốc lá ảnh hưởng đến quá trình liên kết của xương hàm với Implant và hạn chế khả năng lành thương. khách hàng tuyệt đối không được hút thuốc trong 2-4 tuần kể từ trước và sau khi đặt Implant.
Khách hàng tuyệt đối không được sử dụng thuốc lá trong 2-4 tuần trước và sau khi cấy ghép Implant
Chăm sóc răng đúng cách sau trồng răng
Giai đoạn sau cấy ghép Implant: Nếu có sưng má ngoài thì dùng túi chườm lạnh, không tác động trực tiếp đến vị trí cấy ghép, không nghiến răng, không ăn nóng, lạnh, cay, chua, cứng, đàn hồi, dính, vv .. Không sử dụng đồ uống có cồn và vệ sinh răng miệng nhẹ nhàng.
Giai đoạn hoàn thiện của quá trình điều trị: Chăm sóc răng miệng đúng cách với dùng chỉ nha khoa, dùng chỉ nha khoa, chải kẽ, nước súc miệng để giữ cho Implant chắc khỏe.

Chăm sóc răng miệng đúng cách trước và sau khi cấy ghép Implant theo chỉ định của bác sĩ
Khám răng định kỳ
Sau khi thực hiện trồng răng Implant, bạn cần tái khám theo chỉ định của bác sĩ. Cạo vôi răng thường xuyên từ 3-6 tháng để bảo vệ răng tối ưu.

Sau khi cấy ghép Implant, bạn nên khám răng định kỳ 3 - 6 tháng/lần để bảo vệ răng tốt nhất
Hy vọng những thông tin trên đây đã giúp bạn hiểu rõ hơn về phương pháp cấy ghép Implant All on 4. Để được tư vấn thêm thông tin, đừng ngần ngại liên hệ ngay đến Nha khoa Nhân Tâm - Nha khoa tốt ở Sài Gòn, các bác sĩ sẽ tư vấn cụ thể và hoàn toàn miễn phí cho bạn.




