Phục hình sứ được xem là cách điều trị răng bị nhiễm màu kháng sinh hiệu quả nhất. Phương pháp này có thể khắc phục được mọi mức độ nhiễm màu của răng nhờ mão răng sứ được chụp lên trên cùi răng thật.
Từ đó khôi phục thẩm mỹ cho hàm răng, mang lại sự tự tin cùng nụ cười rạng rỡ cho mọi người. Với chất liệu sứ tiên tiến hiện nay thì độ bền của răng sứ có thể tồn tại lâu dài với thời gian.
Phục hình sứ cho răng nhiễm Tetracycline
Hiện nay có 2 cách cơ bản để cải thiện răng bị nhiễm màu kháng sinh: Một là tẩy trắng răng trong trường hợp răng bị nhiễm màu ở mức độ nhẹ; Hai là phục hình sứ cho răng bị nhiễm màu nặng.
Phục hình sứ được xem là giải pháp cứu cánh cuối cùng cho trường hợp răng bị nhiễm màu nặng mà việc tẩy trắng không hiệu quả, giúp bạn tìm lại hàm răng trắng sáng, khỏe mạnh.

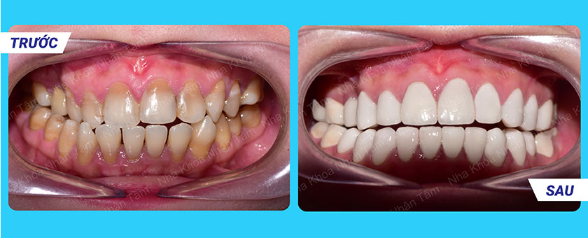
Khách hàng bị mòn răng và nhiễm màu kháng sinh được phục hình sứ
Khi bọc răng sứ, Bác sĩ sẽ mài đi những răng thật cần phục hình, tạo thành những trụ nhỏ (hay còn được gọi là cùi răng) theo đúng tỷ lệ chuẩn. Sau đó, gắn mão răng sứ lên trên và tạo thành một chiếc răng mới hoàn chỉnh giống như răng thật.
Ưu điểm khi phục hình sứ cho răng nhiễm màu kháng sinh
Bọc răng sứ cho răng bị nhiễm màu kháng sinh sẽ mang lại những ưu điểm vượt trội như sau:
- Tạo vẻ đẹp cho hàm răng: Răng sứ sẽ khắc phục tình trạng răng bị nhiễm màu nặng một cách nhanh chóng, mang lại cho bạn hàm răng đều đẹp và trắng sáng tự nhiên.
- Đảm bảo chức năng ăn nhai: Răng sứ có thể chịu được tác động lực rất lớn, từ 360Mpa đến 900Mpa trong khi răng thật chỉ chịu được lực từ 80Mpa đến 120Mpa. Chính vì thế, chức năng ăn nhai sẽ được đảm bảo, thậm chí còn có thể vượt trội hơn răng thật.
- Độ bền cao: Răng sứ có tuổi thọ trung bình từ 10 - 25 năm, tùy vào từng loại răng cũng như cách chăm sóc răng miệng của người sử dụng. Trong đó, răng sứ titan, răng sứ thường sẽ có tuổi thọ 10 - 15 năm, còn răng toàn sứ và răng sứ kim loại quý sẽ có độ bền lên đến 25 năm, thậm chí còn lâu hơn.

Khách hàng sở hữu hàm răng đẹp như mong ước nhờ bọc sứ tại Nha khoa Nhân Tâm
Trong trường hợp phục hình sứ cho răng nhiễm màu kháng sinh thì răng toàn sứ Cercon là giải pháp được nhiều khách hàng lựa chọn.
Răng sứ Cercon thuộc nhóm răng sứ toàn sứ, tức răng sứ không kim loại, được thiết kế và có cấu tạo hoàn toàn là sứ nguyên chất từ khung sườn cho đến bề mặt men răng bên ngoài.

Răng toàn sứ Cercon là giải pháp phục hình thẩm mỹ cho răng được nhiều khách hàng lựa chọn
Loại răng sứ này có thể khắc phục hoàn toàn các phản ứng thường gặp trên của răng sứ kim loại với đặc tính cứng chắc, tương hợp sinh học tốt, thẩm mỹ cao, mang lại vẻ đẹp tự nhiên như răng thật và độ bền lâu dài.
Nha khoa Nhân Tâm – Trung tâm sứ thẩm mỹ mang đến chất lượng điều trị tuyệt vời

Nha khoa Nhân Tâm là địa chỉ bọc răng sứ uy tín tại TPHCM
Đội ngũ Bác sĩ nha khoa thẩm mỹ trên 25 năm kinh nghiệm trong lĩnh vực sứ thẩm mỹ, luôn có tiên lượng chính xác cho mọi trường hợp lệch lạc của răng.
Phần mềm thiết kế nụ cười bản quyền, giúp người điều trị thoải mái thảo luận và chọn ra nụ cười ưng ý.
Hệ thống Lab hiện đại tại Nha khoa, cho kết quả chế tác sứ nhanh chóng, tinh tế và hoàn mỹ nhất.
Hệ thống vô trùng nha khoa hiện đại, loại bỏ lây nhiễm chéo, đảm bảo an toàn tuyệt đối cho người điều trị.
Chăm sóc tận tâm trước – trong và sau quá trình điều trị.
Nha khoa Nhân Tâm – Cho bạn nụ cười hoàn mỹ nhất
Xem thêm: Chăm sóc răng miệng sau khi bọc sứ thế nào cho hiệu quả
Hy vọng rằng những thông tin trên đây đã giúp bạn hiểu rõ hơn về những lợi ích của phương pháp phục hình sứ cho răng nhiễm màu kháng sinh, đồng thời biết được địa chỉ nha khoa uy tín để phục hình sứ hiệu quả và an toàn.
Nếu cần tư vấn thêm thông tin, hãy liên hệ ngay đến Hotline 1900 56 5678, các chuyên gia sẽ tư vấn cụ thể và hoàn toàn miễn phí cho bạn.




