Biết được nguyên nhân răng hô, bạn có thể giúp trẻ phòng ngừa được tình trạng sai lệch khớp cắn này một cách hiệu quả. Bài viết này sẽ giới thiệu bạn cách khắc phục vàđiều trị răng hô hiệu quả nhất với công nghệ niềng răng hô hiện đại, giúp bạn có nụ cười tự tin, tỏa sáng với hàm răng đều đẹp.
Những nguyên nhân khiến răng bị hô
Hô vẩu được chia làm 2 loại là hô răng và hô hàm dựa theo nguyên nhân trực tiếp dẫn đến hô. Nghĩa là khi xương hàm phát triển quá mức hoặc răng mọc bị sai lệch, chìa vểnh thì sẽ dẫn đến 1 trong 2 kiểu hô này.
Đối với hô hàm thì nguyên nhân tại sao răng bị hô bắt nguồn từ những yếu tố nội tại bên trong cơ thể, khi cấu trúc hàm mặt hình thành và phát triển. Điều này nằm ngoài sự kiểm soát của chúng ta.
Đối với hô răng thì bắt nguồn từ rất nhiều những nguyên nhân khác nhau:
- Trước tiên là do chính bản thân những chiếc răng mọc bị sai lệch về thế răng, đặc biệt là răng cửa. Khi mọc chúng không mọc theo phương thẳng đứng mà lại chìa ra ngoài.
- Bên cạnh đó, răng có kích cỡ quá to khiến cung hàm không đủ diện tích để các răng mọc đều. Khi đó, sẽ xảy ra hiện tượng răng hoặc là phải mọc chìa ra ngoài, hoặc là mọc chen chúc lên nhau.
- Quá trình thay răng ở trẻ bị xáo trộn và không đúng thời điểm cũng dẫn đến tình trạng hô răng. Cụ thể là răng sữa rụng sớm khiến cho các răng khác di lệch sang làm thu hẹp diện tích của vị trí răng mất khiến răng vĩnh viễn mọc lên không đủ chỗ và phải mọc nghiêng hoặc mọc lệch hẳn ra ngoài gây vẩu răng.
- Thói quen khi ngậm mút ngón tay, ngậm ti giả trong thời gian dài cũng gây ra hô răng. Tật liếm môi và ngủ thở miệng cũng là nguyên nhân gây ra răng hô thường gặp vì đã vô tình tác động đến các răng cửa hàm trên. Trong một thời gian dài, những chiếc răng cửa này sẽ bị đẩy ra, vểnh lên tạo khớp cắn hở và gây răng hô.

Hô răng gây mất thẩm mỹ và suy giảm chức năng ăn nhai
Phòng tránh răng bị hô từ nhỏ như thế nào?
Quá trình phát triển của xương hàm chịu sự chi phối của yếu tố di truyền gây ra tình trạng hô vẩu. Do đó, đối với hô hàm, gần như chúng ta không phòng ngừa được mà chỉ có thể tác động điều chỉnh hàm mặt vào thời điểm thích hợp. Biện pháp khắc phục khi đó là phẫu thuật chỉnh hình xương hàm.
Nhưng với hô răng thì khác, chúng ta hoàn toàn có thể phòng ngừa được ngay từ khi trẻ mới mọc răng sữa. Chúng ta không nên chủ quan coi thường hàm răng sữa.
Mặc dù những chiếc răng sữa sẽ được thay thế nhưng dựa vào những nguyên nhân răng bị hô kể trên có thể thấy các vấn đề của răng sữa cũng là nguyên nhân không nhỏ gây ra tình trạng hô cho răng vĩnh viễn.
Các thói quen xấu như mút tay, đẩy lưỡi, mút môi dưới, thở miệng, cắn viết kéo dài sẽ tạo ra những di chuyển răng ngoài ý muốn, gây ra những lệch lạc về răng và hàm mặt.

Tật mút tay ở trẻ là một trong những nguyên nhân gây hô răng sau này
Vì vậy, bạn cần lưu ý những điều cụ thể như sau để phòng ngừa hô răng cho trẻ:
- Theo dõi và chăm sóc răng sữa. Nên tập cho trẻ đi Nha sỹ càng sớm càng tốt. Tốt nhất là ngay khi trẻ mọc răng sữa thì nên dẫn trẻ đi Nha sỹ để theo dõi lịch thay răng nhằm phòng ngừa các vấn đề bệnh lý răng miệng khác.
- Không tạo cho trẻ những thói quen xấu như mút ngón tay, ngậm ti giả, liếm môi, đẩy lưỡi, ngủ thở miệng. Nếu phát hiện thấy bé có những tật xấu này hãy nhắc nhở và giúp bé khắc phục ngay.
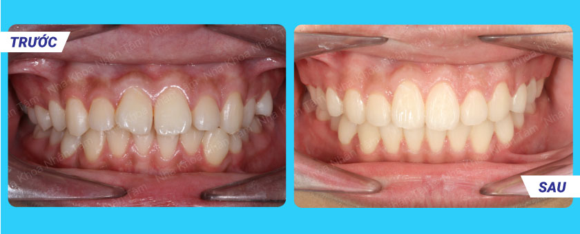
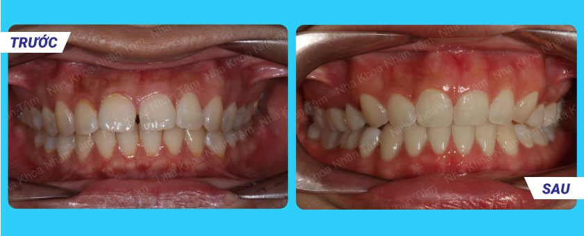
Cách điều trị răng hô
Hầu hết các thói quen xấu này đều phải chữa trị trước khi răng vĩnh viễn mọc lên để tránh tình trạng răng bị lệch lạc, sai khớp cắn. Nếu để ảnh hưởng lên hệ răng vĩnh viễn thì phải dùng phương pháp chỉnh nha – niềng răng để khôi phục lại vẻ đẹp thẩm mỹ và chức năng ăn nhai của răng.
Thời gian điều trị phụ thuộc nhiều vào sự phát triển của xương hàm và độ phức tạp của tình trạng răng miệng của bệnh nhân.
Theo Tiến sĩ. Bác sĩ Võ Văn Nhân: có trường hợp chỉ cần 6 tháng đến 1 năm nhưng cũng có trường hợp từ 2 đến 3 năm. Sau khi tháo niềng, bạn sẽ đeo thêm một khí cụ duy trì trong khoảng 6 tháng nhằm tránh trường hợp răng bị dịch chuyển lại. Sau đó, bạn chỉ cần trở lại phòng khám 6 tháng 1 lần để kiểm tra độ ổn định của răng.
Nha khoa Nhân Tâm trang bị phần mềm chỉnh nha (niềng răng) OrthoVison giúp hạn chế nhổ răng, rút ngắn thời gian điều trị và dự đoán được kết quả điều trị. Đây là một trong nhiều công nghệ được trang bị tại Nhân Tâm, hy vọng sẽ giúp giải đáp được câu hỏi phòng khám nha khoa nào tốt của bạn.

Phần mềm chỉnh nha (niềng răng) OrthoVison tại Nha khoa Nhân Tâm
Quy trình niềng răng hô thẩm mỹ, an toàn và hiệu quả tại Nha khoa Nhân Tâm
Bước 1: Chụp phim bằng máy Xquang Cone Beam CT 3D
Đầu tiên, bệnh nhân sẽ được chụp phim bằng máy Xquang Cone Beam CT 3D thế hệ mới nhất, nhằm tìm ra nguyên nhân gây ra hiện tượng răng mọc sai lệch và tình trạng răng hiện tại. Qua đó, Bác sĩ sẽ tư vấn cho bạn phương pháp niềng răng phù hợp nhất.
Bước 2: Lập kế hoạch điều trị bằng phần mềm Vceph 3D
Dựa trên phần mềm Vceph 3D, Bác sĩ tiến hành lập phác đồ niềng răng chi tiết và chính xác với hình ảnh 3D hiện đại, đảm bảo đem đến kết quả thẩm mỹ cao, nhanh chóng.
Đoc thêm: Lợi ích của việc niềng răng
Bước 3: Lấy dấu mẫu hàm và vệ sinh răng miệng
Trước khi niềng răng, các Bác sĩ sẽ vệ sinh răng miệng cho bạn thật kỹ lưỡng nhằm tránh sâu răng, bệnh nha chu, viêm nướu…Sau đó lấy dấu mẫu hàm và chuyển sang Labo chế tạo mắc cài hoặc khay niềng tùy thuộc vào sự lựa chọn của khách hàng.
Bước 4: Tiến hành niềng răng hô thẩm mỹ
Khâu gắn mắc cài và đeo khay niềng, các Bác sĩ thực hiện theo đúng kỹ thuật đảm bảo hiệu quả khi niềng mà vẫn tạo sự thoải mái trong ăn uống, sinh hoạt và vệ sinh răng miệng trong quá trình niềng răng.
Bước 5: Chăm sóc khi niềng răng hô thẩm mỹ
Cuối cùng, Bác sĩ sẽ hướng dẫn chu đáo cách chăm sóc khi đeo niềng và đặt lịch thăm khám sao cho thuận tiện nhất. Hai bên cùng phối hợp để mang lại kết quả tốt, một hàm răng đẹp và nụ cười tự tin.


Điều trị răng hô tại Nha khoa Nhân Tâm



