Niềng răng còn là phương pháp mang đến rất nhiều công dụng vượt trội không chỉ về mặt thẩm mỹ mà còn tác động tích cực tới sức khỏe cũng như chất lượng cuộc sống. Vậy lợi ích của việc niềng răng gồm những gì? Hãy cùng khám phá một số thông tin dưới đây để rõ và có cái nhìn tổng quan hơn.
Lợi ích của niềng răng
Thứ nhất, niềng răng giúp răng đều và khuôn mặt hoàn hảo: nay có các phương pháp chỉnh nha như niềng răng mắc cài (mắc cài kim loại, mắc cài sứ, mắc cài tự khóa) và Niềng răng vô hình Invisalign (sử dụng khay niềng trong suốt). Những phương pháp giúp răng di chuyển từ từ, cho khuôn mặt, hài hòa, cân đối, đẹp tự nhiên.
Thứ hai, góp phần làm quá trình ăn uống dễ dàng hơn: Sau khi niềng răng, giải quyết triệt để khiếm khuyết hô, móm, vẩu, mọc thưa, khớp cắn sâu, cắn hở, cắn ngược… khắc phục tình trạng ăn uống khó khăn, thức ăn ít được nghiền nát hay thường cắn phải lưỡi, phần mô hai bên má, hoặc thậm chí là khắc phục tình trạng đau bao tử.
Thứ ba, ngăn ngừa và giảm các bệnh lý về răng miệng: Răng mọc lệch lạc vừa khiến ăn uống khó khăn và giảm vẻ đẹp của nụ cười, vừa dễ gây ra các bệnh lý như: Sâu răng, viêm lợi, viêm nướu, nha chu, hư men răng, răng bị ố vàng… vì những chiếc răng bị che khuất thường là nơi thức ăn bám vào và khó vệ sinh. Lâu ngày, khu vực này sẽ tạo điều kiện cho vi khuẩn sinh sôi, hoạt động.
Thứ tư, tốt cho sức khỏe của cơ thể: Răng miệng và cơ thể có sự tương quan chặt chẽ với nhau. Khi răng thực hiện chức năng ăn nhai bình thường, khỏe mạnh thì sẽ giảm thiểu các bệnh tiêu hóa, dạ dày và ngăn ngừa hiện tượng đau đầu, đau lưng, mỏi cơ hàm do sai khớp cắn, răng mọc lệch lạc gây ra.
Xem thêm: Những điều cần biết trước khi niềng răng
Quy trình niềng răng an toàn và hiệu quả tại Nha khoa Nhân Tâm
Bước 1: Chụp phim bằng máy Xquang Cone Beam CT 3D
Đầu tiên, bệnh nhân sẽ được chụp phim bằng máy Xquang Cone Beam CT 3D thế hệ mới nhất, nhằm tìm ra nguyên nhân gây ra hiện tượng răng mọc sai lệch và tình trạng răng hiện tại. Qua đó, Bác sĩ sẽ tư vấn cho bạn phương pháp niềng răng phù hợp nhất.

Chụp phim bằng máy Xquang Cone Beam CT 3D
Bước 2: Lập kế hoạch điều trị bằng phần mềm Vceph 3D
Dựa trên phần mềm Vceph 3D, Bác sĩ tiến hành lập phác đồ niềng răng chi tiết và chính xác với hình ảnh 3D hiện đại, đảm bảo đem đến kết quả thẩm mỹ cao, nhanh chóng.
Bước 3: Lấy dấu mẫu hàm và vệ sinh răng miệng
Trước khi niềng răng, các Bác sĩ sẽ vệ sinh răng miệng cho bạn thật kỹ lưỡng nhằm tránh sâu răng, bệnh nha chu, viêm nướu…Sau đó lấy dấu mẫu hàm và chuyển sang Labo chế tạo mắc cài hoặc khay niềng tùy thuộc vào sự lựa chọn của khách hàng.
Bước 4: Tiến hành niềng răng thẩm mỹ
Khâu gắn mắc cài và đeo khay niềng, các Bác sĩ thực hiện theo đúng kỹ thuật đảm bảo hiệu quả khi niềng mà vẫn tạo sự thoải mái trong ăn uống, sinh hoạt và vệ sinh răng miệng trong quá trình niềng răng.
Bước 5: Chăm sóc khi niềng răng thẩm mỹ
Cuối cùng, Bác sĩ sẽ hướng dẫn chu đáo cách chăm sóc khi đeo niềng và đặt lịch thăm khám sao cho thuận tiện nhất. Hai bên cùng phối hợp để mang lại kết quả tốt, một hàm răng đẹp và nụ cười tự tin.


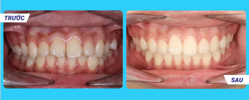
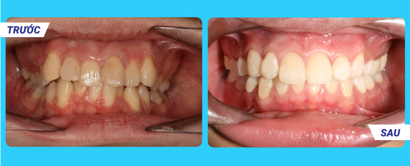
Khách hàng niềng răng tại Nha khoa Nhân Tâm
Nha khoa Nhân Tâm là một trong top những review nha khoa tốt, có 20 năm kinh nghiệm trong niềng răng thẩm mỹ và từng áp dụng thành công cho hàng ngàn khách hàng trong cũng như ngoài nước. Với Đội ngũ Bác sĩ giỏi chuyên môn, giàu kinh nghiệm và tinh tế, có cảm quan thẩm mỹ tốt trong việc thiết kế một nụ cười đẹp, Nha khoa Nhân Tâm tự tin là một trong những địa chỉ uy tín để khách hàng lựa chọn.



