Niềng răng là giải pháp sử dụng các khí cụ nha khoa hay khay niềng trong suốt để điều chỉnh các răng mọc lệch lạc, hô, móm, thưa,… Qua đó mang lại cho bạn một hàm răng đều đẹp với nụ cười tỏa sáng.
Quá trình này đòi hỏi phải mất một thời gian lâu dài, thông thường kéo dài từ 18 – 24 tháng, tùy theo mức độ lệch lạc của răng, độ tuổi, tay nghề bác sĩ cũng như chế độ chăm sóc tại nhà,…
Hiện nay, chi phí niềng răng giá bao nhiêu tiền có sự khác nhau giữa các nha khoa, bởi mức chi phí này sẽ tùy vào phương pháp niềng, mức độ lệch lạc của răng cũng như chất lượng dịch vụ của mỗi nha khoa.
Nha khoa Nhân Tâm là trung tâm chuyên sâu về niềng răng – chỉnh nha với đội ngũ bác sĩ trên 23 năm kinh nghiệm, hệ thống máy móc, trang thiết bị hiện đại.
Đặc biệt, Nha khoa Nhân Tâm áp dụng chính sách niềng răng trả góp lãi suất 0% chỉ với 1 triệu đồng/tháng và không phát sinh thêm bất kỳ chi phí nào khác nhằm giảm bớt gánh nặng tài chính cho các khách hàng.
Thời gian niềng răng mất bao lâu?
Bác sĩ Trần Thị Nga – Giám đốc chuyên môn Nha khoa Nhân Tâm – Chuyên gia chỉnh nha trên 23 năm kinh nghiệm cho biết: Niềng răng là một phương pháp khá phức tạp và cần rất nhiều thời gian. Thông thường, thời gian niềng răng trung bình mất khoảng 18 – 24 tháng.
Tuy nhiên, trên thực tế, không có một con số chung cho thời gian niềng răng, bởi khoảng thời gian này là khác nhau ở mỗi người và phụ thuộc vào rất nhiều yếu tố.
Độ tuổi niềng răng
Độ tuổi niềng răng lý tưởng là từ 12 – 16 tuổi hoặc có thể sớm hơn tùy theo tình trạng phát triển của trẻ. Ở độ tuổi này, xương hàm chưa phát triển hoàn chỉnh, giúp việc di chuyển các răng được thuận lợi và dễ dàng hơn, thời gian tháo niềng vì thế cũng sớm hơn so với độ tuổi trưởng thành.

Niềng răng khi còn nhỏ sẽ thuận lợi và nhanh chóng hơn
Tình trạng răng cụ thể
Độ lệch lạc của răng cũng quyết định rất nhiều đến thời gian niềng răng. Nếu răng của bạn bị lệch lạc quá nhiều, xương hàm không vững chắc và ổn định thì thời gian niềng sẽ kéo dài hơn so với những trường hợp nhẹ.
Tay nghề bác sĩ
Đặc thù của niềng răng đó chính là bác sĩ phải có trình độ chuyên môn cao, chuyên sâu vào lĩnh vực niềng răng – chỉnh nha, am hiểu tường tận về sự phát triển và tăng trưởng của hệ thống sọ mắt, hiểu biết sâu về tác động cơ học của từng loại khí cụ.
Có như vậy, bác sĩ mới có thể dự đoán hướng dịch chuyển của răng, lên kế hoạch niềng răng cụ thể đến từng chi tiết cho từng trường hợp khách hàng, giúp quá trình niềng răng diễn ra thuận lợi và kết thúc đúng thời gian dự tính.

Bác sĩ niềng răng có vai trò quan trọng đến kết quả niềng răng
Cách chăm sóc tại nhà
Trong suốt quá trình niềng răng, bạn cần vệ sinh và chăm sóc răng miệng đúng cách theo những hướng dẫn của bác sĩ. Răng miệng sạch sẽ, loại bỏ các mảng bám sẽ ngăn ngừa được các bệnh lý như sâu răng, viêm nướu,… từ đó không tốn thêm thời gian điều trị.
Bên cạnh đó, bạn nên thăm khám định kỳ theo đúng lịch đã hẹn để bác sĩ theo dõi và nắn chỉnh những sai lệch, giúp rút ngắn thời gian niềng răng.
Niềng răng giá bao nhiêu tiền hiện nay?
Giá niềng răng bao nhiêu tiền là một vấn đề được rất nhiều người quan tâm. Hiện nay, chi phí niềng răng là khác nhau ở mỗi nha khoa, bởi mức chi phí này sẽ tùy vào phương pháp niềng răng (niềng răng mắc cài kim loại, niềng răng mắc cài sứ, niềng răng mắc cài mặt lưỡi, niềng răng mắc cài tự khóa, niềng răng vô hình Invisalign), mức độ lệch lạc của răng cũng như chất lượng dịch vụ của mỗi nha khoa.
Tùy theo tình trạng, nhu cầu cũng như điều kiện kinh tế của mỗi người mà bác sĩ sẽ tư vấn phương pháp niềng răng phù hợp và thông báo chi phí chính xác nhất.
Dưới đây là bảng giá niềng răng chi tiết của từng phương pháp niềng răng đang được áp dụng tại Nha khoa Nhân Tâm. Bạn có thể tham khảo để chủ động hơn trong việc chuẩn bị chi phí niềng răng cho bản thân hoặc người thân trong gia đình nhé.
Nha khoa Nhân Tâm – Địa chỉ niềng răng uy tín tại TP.HCM
Hiện nay có rất nhiều phòng khám nha khoa vì để thu hút khách hàng mà đưa ra hàng loạt ưu đãi hấp dẫn mà xem nhẹ tiêu chí về an toàn, nhất là bác sĩ thiếu chuyên môn, chưa có kinh nghiệm để thực hiện niềng răng. Hậu quả là kết quả niềng răng không như mong muốn mà còn gây nên một số biến chứng nguy hiểm.
Chính vì lẽ đó, ngoài việc tìm hiểu chi phí niềng răng, thời gian niềng răng, bạn hãy tham khảo nha khoa niềng răng uy tín để trao gửi niềm tin của mình. Nha khoa Nhân Tâm là trung tâm niềng răng chuyên sâu, được giới chuyên gia đánh giá cao và đông đảo khách hàng tin tưởng lựa chọn.
Khi niềng răng tại Nha khoa Nhân Tâm, bạn sẽ được trực tiếp bác sĩ Trần Thị Nga thăm khám và điều trị dưới sự hỗ trợ của hệ thống máy móc, trang thiết bị hiện đại nhằm tăng cường hiệu quả chỉnh nha và rút ngắn tối đa thời gian điều trị.

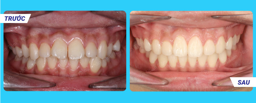
Kết quả niềng răng tại Nha khoa Nhân Tâm
Ngoài ra, để giảm bớt gánh nặng tài chính cho khách hàng, đặc biệt là học sinh, sinh viên, nhân viên văn phòng,… Nha khoa Nhân Tâm áp dụng chính sách niềng răng trả góp lãi suất 0% chỉ với 1 triệu đồng/tháng và không phát sinh thêm bất kỳ chi phí nào khác.
Bằng những thế mạnh trên, Nha khoa Nhân Tâm đã giúp hàng ngàn Khách hàng có được nụ cười rạng rỡ, lấy lại sự tự tin trong cuộc sống với hàm răng đều đẹp. Nếu còn bất kỳ vấn đề nào cần được giải đáp, hãy liên hệ ngay đến Hotline 1900 56 5678 để được hỗ trợ nhanh chóng.






