Răng sậm màu do nhiều nguyên nhân gây nên, trong đó có thể kể đến:
- Răng sậm màu do các mảng bám, vết dính trên bề mặt
- Răng sậm màu do nhiễm Flour
- Răng sậm màu do nhiễm Tetracyline
- Răng sậm màu do chết tủy hoặc bị sâu
- Răng sậm màu do tuổi tác
Để điều trị tình trạng này, tẩy trắng răng là giải pháp được nhiều người áp dụng nhất bởi hiệu quả đạt được tốt, thời gian thực hiện nhanh chóng mà chi phí vừa phải.
Tuy nhiên, với những trường hợp răng bị nhiễm màu quá nặng mà tẩy trắng răng không hiệu quả thì bọc răng sứ sẽ là giải pháp hữu hiệu, không chỉ giúp răng trắng sáng như mong muốn mà còn đều đẹp, chuẩn khớp cắn.
Tình trạng răng bị sậm màu không nên để lâu, gây mất thẩm mỹ, tạo tâm lý e ngại, tự ti khi giao tiếp với người khác. Bạn nên tìm đến nha khoa uy tín với đội ngũ Bác sĩ giỏi, trang thiết bị hiện đại để khắc phục kịp thời.
Nha khoa Nhân Tâm với hơn 20 năm kinh nghiệm, đã mang lại nụ cười hoàn hảo cho hàng ngàn khách hàng chắc chắn sẽ khiến bạn hài lòng.
Răng sậm màu do các mảng bám, vết dính trên bề mặt
Những vết dính và mảng bám này có thể là kết quả của quá trình ăn uống hay do chưa thực hiện tốt việc vệ sinh, chăm sóc răng miệng hàng ngày.
Đó có thể là vết dính của thực phẩm, nước uống hay do thói quen hút thuốc lá gây ra. Một số loại thức ăn dễ khiến răng bị sậm màu như là cà ri, sốt cà chua, rượu vang đỏ, trà xanh, nước ép rau má…

Sử dụng thực phẩm đậm màu có thể gây màu cho răng
Thông thường, các mảng bám, vết dính này sẽ bám vào những chỗ răng bị trũng, các rãnh trên bề mặt răng. Cũng có khi chúng bám lên cả bề mặt nhẵn và bao phủ toàn bộ răng.
Các mảng bám và vết dính có thể có nhiều màu khác nhau như vàng đậm, nâu nhạt, nâu đậm hay thậm chí là màu đen.
Răng sậm màu do nhiễm Flour
Fluor là một chất hóa học có nhiều trong tự nhiên, đặc biệt là ở nước giếng. Vì loại chất này có khả năng chống sâu răng nên nó thường được cho thêm vào nước máy, sữa, kem đánh răng…
Các Bác sĩ cho biết, phụ nữ mang thai hay trẻ em nếu nuốt phải fluor quá nhiều từ các nguồn nói trên, nhất là trẻ em hay dùng kem đánh răng của người lớn, thì sau này răng sẽ có những vết nâu hay trắng đục.
Ở các trường hợp nặng có thể gây khiếm khuyết trên cấu trúc răng.
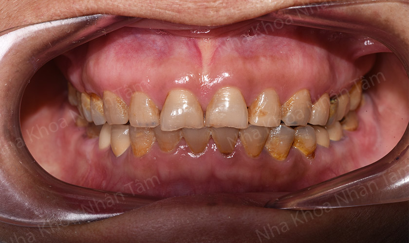
Răng sậm màu do nhiễm Tetracyline
Ngoài Tetracycline, ngày nay còn có Doxycycline, Minocycline… là các loại thuốc kháng sinh và có thể làm sậm màu men răng của bạn.
Theo đó, nếu người mẹ uống các loại thuốc này khi đang mang thai hoặc cho trẻ uống các thuốc này ở độ tuổi dưới 8 tuổi thì có thể làm răng trẻ đổi màu.
Mức độ sậm màu nhiều hay ít sẽ tùy thuộc vào thời điểm, thời gian dùng thuốc, liều lượng và loại thuốc.

Răng bị nhiễm tetracycline
Các nhà khoa học cho biết, màu răng có thể trở nên vàng, nâu hay xám xanh. Sự thay đổi màu này có thể xảy ra trên toàn bộ răng hay chỉ ở một vùng nào đó, khiến răng có những dải màu khác nhau.
Trong trường hợp nặng, răng còn có thể bị lỗ chỗ, khiếm khuyết, mất đi hình dạng bình thường.
Răng sậm màu do chết tủy hoặc bị sâu
Tủy răng là nơi chứa các dây thần kinh và mạch máu, đây là nguồn cung cấp chất dinh dưỡng để nuôi răng. Đối với những chiếc răng đã bị hoại tử, chết tủy thì sau một thời gian nhất định, chiếc răng này sẽ trở nên khô, dễ gãy và sậm màu.
Những chiếc răng bị sâu cũng sẽ bị tối và sậm màu, nguyên nhân là do răng bị chảy máu từ bên trong.
Răng sậm màu do tuổi tác
Đây là điều không thể tránh khỏi, càng lớn tuổi thì răng sẽ có xu hướng yếu đi, dễ gãy và màu răng cũng không còn giữ được vẻ trắng sáng như khi còn trẻ.
Như vậy, có thể thấy rằng có khá nhiều nguyên nhân răng sậm màu. Và nếu đang ở trong tình trạng này thì bạn cũng đừng quá buồn, bởi tình trạng răng sậm màu hoàn toàn có thể khắc phục được.
Trong đó, tẩy trắng răng là phương pháp được nhiều người áp dụng nhất, bởi hiệu quả đạt được tốt, thời gian thực hiện nhanh chóng mà chi phí vừa phải.

Một số phương pháp điều trị răng sậm màu hiệu quả
Tuy nhiên, với những trường hợp răng bị nhiễm màu tetracycline quá nặng thì giải pháp phù hợp và hiệu quả nhất vẫn là bọc răng sứ. Không chỉ mang lại hàm răng trắng sáng, sau khi làm răng sứ xong, bạn sẽ sở hữu một hàm răng đều, đẹp, chuẩn khớp cắn và tính thẩm mỹ đạt được rất cao.
Với đội ngũ Bác sĩ có nhiều năm kinh nghiệm, chuyên môn giỏi cùng công nghệ CAD/ CAM hiện đại, Nha khoa Nhân Tâm chắc chắn sẽ mang đến một hàm răng đẹp như mơ cho bạn chỉ trong vòng 1 – 2 ngày.




