Niềng răng nhanh nhất hiện nay mất bao lâu?
Thông thường, thời gian niềng răng kéo dài từ 1,5 đến 2 năm để hoàn thành và cho kết quả hoàn hảo. Thời gian nhanh nhất để đạt được điều này là khoảng 6-12 tháng. Đây chỉ là khoảng thời gian điều trị tối thiểu đối với những trường hợp răng nhẹ, ít phức tạp.
Ngoài ra, nếu là niềng răng thưa hoặc bệnh nhân đã mất răng trước đó thì thời gian có thể rút ngắn hơn một chút vì không cần nhổ răng và chờ lành lại.

Những người bận rộn có thể chọn phương án niềng răng để làm đẹp răng
Giải pháp hữu hiệu niềng răng nhanh cho người bận rộn
Hiện nay có rất nhiều phương pháp niềng răng: mắc cài kim loại, mắc cài sứ, mắc cài tự buộc, mắc cài vô hình Invisalign.
Mỗi phương pháp đều có những ưu điểm khác nhau và phù hợp với tình trạng răng miệng, nhu cầu thẩm mỹ, khả năng tài chính của mỗi người. Vì vậy, có thể nói phương pháp niềng răng cho người bận rộn nhanh nhất là phương pháp phù hợp nhất với từng trường hợp của khách hàng.
Tuy nhiên, trong số các khí cụ chỉnh nha hiện nay thì mắc cài tự buộc và niềng răng vô hình Invisalign được xem là giải pháp niềng răng nhanh chóng, tiết kiệm thời gian cho những người bận rộn nhất.
Niềng răng mắc cài tự khóa
Niềng răng mắc cài tự buộc được nhiều người yêu thích bởi nhiều ưu điểm nổi bật. Giá đỡ và dây cung được thiết kế tự động với độ bám dính tốt giúp giữ cố định dây cung trong rãnh trượt.

Niềng răng mắc cài tự khóa
Ưu điểm:
- Sự ổn định của mắc cài và dây cung tạo lực kéo đều đặn, giúp răng di chuyển đúng hướng và rút ngắn thời gian điều trị
- Dễ sử dụng, khá bền, không bị nới lỏng, hạn chế tình trạng bung sút mắc cài
- Không mất nhiều thời gian để tái khám trong quá trình niềng răng
Niềng răng vô hình Invisalign
Đây là phương pháp chỉnh nha vô hình, màu sắc gần giống với màu răng tự nhiên nên người đối diện khó nhận biết bạn đang niềng răng.

Niềng răng vô hình Invisalign
Ưu điểm:
- Hiệu quả chỉnh nắn cao giúp răng nhanh chóng đều và đẹp
- Giảm thiểu thời gian niềng răng của bạn từ 6 đến 18 tháng
- Niềng răng trong suốt có thể tháo lắp dễ dàng tại nhà
- Ít hư hỏng và vỡ như mắc cài và ít thời gian đến nha sĩ hơn
- Hạn chế việc tái khám, phù hợp với những khách hàng bận rộn hoặc ở xa
Xem thêm: Bật mí 6 dụng cụ vệ sinh răng niềng không thể thiếu
Các yếu tố khác giúp quá trình niềng răng nhanh chóng
Bác sĩ giỏi
Niềng răng là một kỹ thuật chỉnh nha toàn diện, đòi hỏi sự hiểu biết chuyên sâu về cấu trúc răng miệng. Do đó, một bác sĩ chỉnh nha giỏi sẽ giúp quá trình niềng răng được thực hiện nhanh chóng, an toàn và hiệu quả.

Một bác sĩ chỉnh nha giỏi sẽ giúp quá trình niềng răng được thực hiện nhanh chóng, an toàn và mang lại kết quả tuyệt vời
Những tiêu chí để đánh giá một Bác sĩ niềng răng giỏi:
- Bác sĩ cần được Bộ Y tế cấp phép hành nghề
- Bác sĩ được đào tạo chuyên sâu về niềng răng và hiểu rõ cấu tạo của răng và hàm
- Bác sĩ tay nghề cao, giàu kinh nghiệm thực tế
- Bác sĩ có tâm với nghề, đặc biết là bệnh nhân
Trang thiết bị hiện đại
Ngoài tay nghề của bác sĩ, trang thiết bị máy móc hiện đại sẽ giúp bác sĩ xác định được độ chính xác của kỹ thuật cũng như kết quả.
Máy X-quang Paronex & Cephalometric hiện đại, máy X-quang 3D Cone Beam CT giúp bác sĩ xác định cấu trúc răng, xương hàm của từng bệnh nhân, phán đoán tình trạng răng miệng và tình trạng khuyết điểm của răng, từ đó lên kế hoạch điều trị chi tiết.
Phần mềm Vceph 3D có thể xem trước kết quả và dự đoán chính xác sự thay đổi của răng theo thời gian.


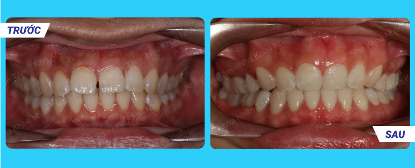
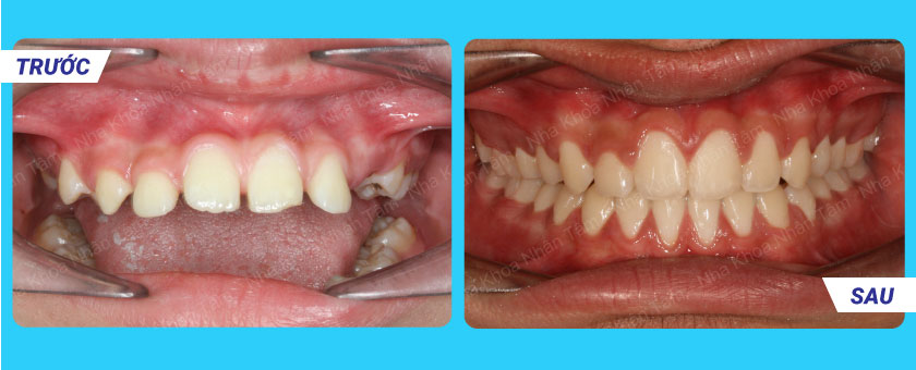
Kết quả của khách hàng sau khi niềng răng tại Nha khoa Nhân Tâm
Nha khoa Nhân Tâm - Địa chỉ niềng răng chuyên sâu
- Được thăm khám, tư vấn và điều trị trực tiếp bởi chuyên gia của phòng khám Nha khoa Nhân Tâm, Bác sĩ Trần Thị Nga, với hơn 20 năm kinh nghiệm Chỉnh nha - Niềng răng, Hội viên Hội Chỉnh nha TP.HCM.
- Kết hợp công nghệ chỉnh nha thế hệ mới với phần mềm Vceph 3D, phần mềm chỉnh nha Orthovision, hệ thống CT Cone Beam 3D… mang lại hiệu quả chỉnh nha hoàn hảo.
- Hệ thống vô trùng hiện đại, với bộ dụng cụ chế biến riêng cho từng khách hàng, đảm bảo vô trùng, loại bỏ tình trạng lây nhiễm chéo.
- Dịch vụ chất lượng cao mang đến sự hài lòng tuyệt đối cho khách hàng. Hỗ trợ trả góp không lãi suất khi niềng răng, chỉ 1.000.000đ / tháng không phát sinh thêm bất kỳ khoản phí nào khác.




