Trồng răng bằng phương pháp implant
Trồng răng bằng phương pháp implant là phương pháp phục hình răng hiệu quả được rất nhiều người quan tâm bởi tính hiệu quả và độ an toàn. Nếu bạn bị mất răng thì đừng bỏ quan phương pháp trồng răng tuyệt vời này.
Trồng răng Implant là gì?
Phương pháp trồng răng implant là phương pháp đặt trụ implant cấy trực tiếp vào trong xương hàm, nhằm mục đích thay thế cho chân răng đã mất. Sau đó, trụ implant được kết nối với răng sứ thông qua một khớp nối là Arbutin. Răng implant được nhiều người lựa chọn bởi có tính thẩm mỹ và độ bền chắc như răng thật.
Phần trụ implant của răng implant được làm từ chất liệu titan có khả năng tích hợp với xương hàm, hạn chế tình trạng tiêu xương, ảnh hưởng đến sức khỏe răng miệng.
Ngoài ra, cấy ghép implant vào xương hàm còn hạn chế được tình trạng lão hóa sớm của răng, tạo được hình dáng cho khuôn mặt. Trụ implant có nhiều loại khác nhau. Tùy từng loại mà có những ưu điểm vượt trội, phù hợp với từng loại xương hàm khác nhau.
Xem thêm: Tìm hiểu quy trình và thời gian trồng răng Implant
Phần răng sứ, thông thường thì các phương pháp trồng răng implant sẽ dùng răng sứ titan – loại răng sứ kim loại có độ bền chắc để đặt trên trụ implant. Tuy nhiên, bạn hoàn toàn có thể lựa chọn các loại răng sứ kim loại hoặc răng toàn sứ để tăng tính thẩm mỹ, đặc biệt khi bạn bị mất răng ở phần trước.
Với những mô tả tương đối cơ bản như trên, bạn đã hiểu được trồng răng implant là gì rồi. Đây là một trong những biện pháp phục hình răng bị mất hiệu quả nhất trên thế giới hiện nay mà bạn nên thực hiện. Biện pháp có thể giúp bạn phục hình 1 răng bị mất, nhiều răng bị mất hoặc thậm chí mất cả hàm răng.
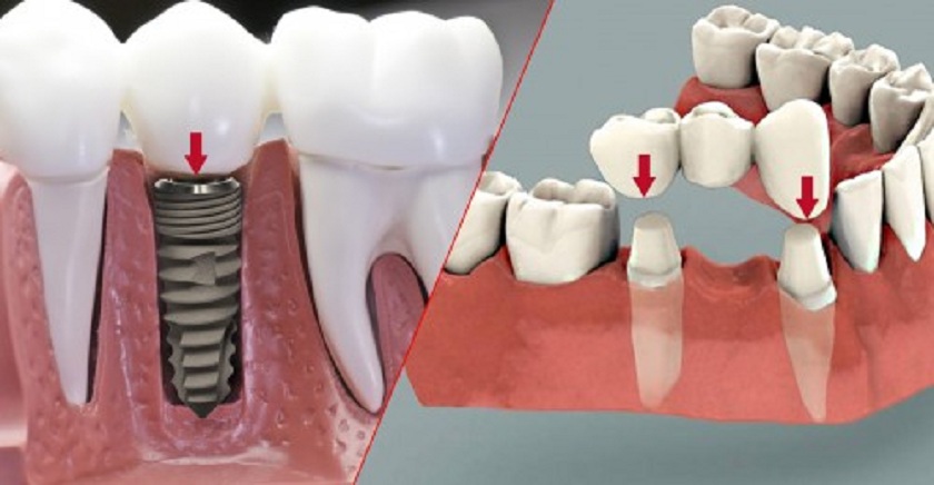
Điểm khác nhau giữa trồng răng bằng phương pháp Implant và cầu răng sứ
Phương pháp cấy ghép Implant tại tphcm được đánh giá là tốt nhất hiện nay, có nhiều ưu điểm vượt trội hơn các biện pháp trồng răng trước đây như cầu răng sứ.
Cầu răng sứ có ưu điểm là thời gian phục hình răng tương đối nhanh chóng, chỉ mất từ 2 đến 3 ngày. Ngoài ra, mức chi phí làm cầu răng sứ cũng rẻ hơn so với phương pháp trồng răng implant.

Điểm khác biệt giữa cầu răng sứ và trồng răng implant
Tuy nhiên, tính về lâu về dài, cầu răng sứ lại bộc lộ ra nhiều nhược điểm như nướu bị tụt, lộ chân răng của trụ. Đây quả thực là một biện pháp phục hình răng không hề an toàn, thậm chí sau này còn ảnh hưởng rất nhiều đến sức khỏe của bạn.
Với phương pháp trồng răng implant, bạn hoàn toàn an tâm về tính thẩm mỹ, mức độ an toàn và khả năng ăn nhai, bền chắc theo thời gian. Tuổi thọ của răng implant có thể kéo dài đến trọn đời nếu bạn biết cách chăm sóc răng miệng tốt.
Nên trồng răng bằng phương pháp Implant nào tốt?
Trồng răng bằng phương pháp Implant nào là câu hỏi nhiều bạn đặt ra sau khi đã quyết định trồng răng implant. Hiện nay có rất nhiều phương pháp trồng răng implant để cho bạn lựa chọn. Nếu bạn muốn trồng răng implant chất lượng tốt thì dùng trụ implant Straumann, trụ implant Nobel.
Các loại trụ implant này có khả năng tích hợp vào xương nhanh chóng, thời gian sử dụng lâu bền, đạt tỷ lệ thành công với các loại xương hàm yếu, mỏng. Những bạn muốn trồng răng bằng phương pháp implant tức thì thì nên lựa chọn các loại trụ này.

Có nhiều loại trụ implant để cho bạn lựa chọn
Bên cạnh đó, bạn cũng có thể lựa chọn các loại trụ implant có mức giá rẻ hơn để cấy ghép.
Các loại trụ implant như implant Tekka, implant Ossen của Hàn Quốc vẫn đáp ứng tốt nhu cầu về phục hình răng, cả về tính thẩm mỹ và chức năng ăn nhai. Bạn nên đến phòng khám nha khoa gần đây để được bác sĩ nha khoa tư vấn lựa chọn loại trụ implant sử dụng phù hợp.
Nha khoa Nhân Tâm – địa chỉ nha khoa uy tín, chuyên về trồng răng bằng phương pháp implant là nơi bạn an tâm gửi gắm niềm tin. Tại đây hội tụ đội ngũ bác sĩ nha khoa có hơn 20 năm kinh nghiệm về implant có thể giúp bạn phục hình răng bị mất bằng phương pháp cấy ghép implant hiệu quả và tuyệt đối an toàn.
Bạn sẽ cảm thấy vô cùng hài lòng về chất lượng dịch vụ trồng răng implant của Nha khoa Nhân Tâm! Liên hệ ngay để được tư vấn tốt nhất!



