Khi bị mất răng hay không có hàm răng thẳng đều như mong muốn nhiều người đã đã nghĩ đến dịch vụ bọc răng sứ thẩm mỹ. Bởi chỉ trong một thời gian ngắn bạn đã có hàm răng đẹp tự nhiên, vừa đảm bảo khả năng ăn nhai lại vừa có tính thẩm mỹ cao.
Bọc răng sứ phù hợp với những người có răng bị nhiễm màu nặng, răng bị sứt, mẻ, vỡ, răng hư, chết tủy, răng hô, móm vẩu ở mức độ nhẹ, răng thưa hoặc người bị mất một răng.
Nha khoa Nhân Tâm với 25 năm hoạt động chắc chắn sẽ là địa chỉ uy tín hàng đầu để bạn có thể an tâm lựa chọn dịch vụ bọc răng sứ. Bởi chúng tôi không chỉ có đội ngũ y bác sĩ giỏi mà còn ứng dụng công nghệ hiện đại hàng đầu thế giới.
Bọc răng sứ phù hợp với những trường hợp nào?
Răng bị nhiễm màu nặng:
Rất nhiều người sau một thời gian dài sử dụng thuốc kháng sinh hay hút thuốc lá đã làm mất đi vẻ trắng sáng tự nhiên của răng. Thay vào đó là tình trạng răng xỉn màu, ố vàng và nhiễm màu nặng. Lúc này tẩy trắng răng đã không còn hiệu quả.
Tuy nhiên, bạn không cần phải quá lo lắng, bởi đã có giải pháp hữu hiệu hơn, đó chính là bọc răng sứ thẩm mỹ.
Răng bị sứt, mẻ, vỡ:
Quá trình ăn nhai hàng ngày có thể khiến răng bị sứt, mẻ hay vỡ. Dù bạn đã thực hiện trám răng nhưng cũng không kéo dài được bao lâu. Không những vậy, tình trạng sứt mẻ răng còn khiến khả năng ăn nhai bị giảm sút, làm mất thẩm mỹ cho hàm răng.
Vây nên việc bọc sứ để thay thế chiếc răng không còn giá trị sử dụng sẽ là điều mà bạn nên ưu tiên lựa chọn.

Những trường hợp nên làm răng sứ
Răng hư, chết tủy:
Những chiếc răng chết tủy sẽ trở nên giòn, dễ gãy và khiến màu răng bị đục. Để bảo vệ răng thật và tránh tình trạng mất răng, bạn nên tiến hành trồng răng sứ sau khi đã được các bác sĩ chữa tủy cẩn thận.
Răng thưa, kẽ hở:
Trường hợp răng thưa và có kẽ hở sẽ làm mất thẩm mỹ cho hàm răng. Nhất là khi đó lại là vùng răng cửa. Ở mức độ quá thưa hoặc có quá nhiều kẽ hở giữa các răng thì trám không thể mang lại hiệu quả tốt nhất. Việc bạn nên làm đó chính là bọc sứ cho răng để giúp hàm răng khít sát và đều nhau.
Răng mọc lộn xộn, hô, móm nhẹ:
Với những người bị hô, móm nhẹ và răng mọc lộn xộn thì trồng răng sứ sẽ giúp tiết kiệm thời gian hơn là niềng răng. Về tính thẩm mỹ, độ bền chắc thì răng sứ có màu trắng tự nhiên, tuổi thọ tương đương với răng thật. Còn về thời gian thì nếu niềng răng bạn cần thời gian từ 1 – 2 năm và phải thăm khám định kì, trong khi đó làm răng sứ chỉ tốn từ 7 – 10 ngày.
Bị mất răng:
Phục hồi cho răng bị mất bằng phương pháp làm cầu răng sứ cũng là một giải pháp không chỉ đảm bảo khả năng ăn nhai mà còn mang lại tính thẩm mỹ rất cao. Tuy nhiên, phương pháp này chỉ thực sự phù hợp nếu bạn bị mất một răng.
Trường hợp bạn bị mất từ hai chiếc răng liền nhau trở lên thì có thể tiến hành trồng răng Implant để mang lại hiệu quả và độ an toàn cao nhất.
Bao nhiêu tuổi thì được bọc răng sứ?
Chia sẻ về độ tuổi có thể tiến hành làm răng sứ, Tiến sĩ, Bác sĩ Võ Văn Nhân - Giám đốc nha khoa Nhân Tâm cho biết: Thông thường, những người từ 18 tuổi trở lên thì mới được chỉ định bọc răng sứ. Vì lúc này răng vĩnh viễn đã mọc tương đối đầy đủ trên cung hàm, xương hàm đã phát triển hoàn thiện.
Cho nên tiến hành bọc sứ cho răng sẽ không làm ảnh hưởng đến sức khỏe cũng như khả năng ăn nhai của họ.

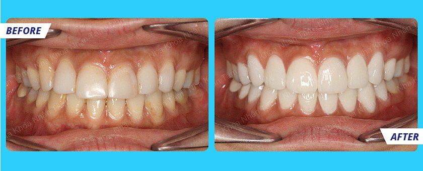
Kết quả sau khi bọc răng sứ tại nha khoa Nhân Tâm
Tuy nhiên, bác sĩ Nhân cũng lưu ý rằng trong một vài trường hợp đặc biệt, những người dưới 18 tuổi cũng có thể được tiến hành làm răng sứ. Đó là khi răng bị sâu, gãy, vỡ do chấn thương tai nạn, bác sĩ có thể chỉ định bọc sứ để giúp bảo vệ răng thật, đảm bảo thẩm mỹ và chức năng ăn nhai cho hàm răng.
Xem thêm: Trồng răng sứ có đau không?
Bọc răng sứ ở đâu an toàn và hiệu quả nhất?
Tọa lạc tại số 807 Đường 3/2, Phường 7, Quận 10, TP. HCM, nha khoa Nhân Tâm là một trong những nha khoa uy tín hàng đầu cả nước về các dịch vụ phục hình và thẩm mỹ răng miệng.
Với 25 năm hoạt động, nha khoa đã giúp hàng triệu người có thể tự tin ăn uống và giao tiếp nhờ hàm răng chắc khỏe và sáng đẹp. Nếu bạn đang tìm kiếm địa chỉ bọc răng sứ an toàn, chất lượng thì hãy liên hệ ngay với chúng tôi để được tư vấn cụ thể, chi tiết.
Nha khoa Nhân Tâm hội tụ đầy đủ các yếu tố giúp bạn có thể an tâm lựa chọn làm điểm đến để thực hiện các dịch vụ nha khoa như:
Đội ngũ bác sĩ nha khoa thẩm mỹ giỏi chuyên môn, giàu kinh nghiệm trong lĩnh vực răng sứ. Chúng tôi luôn cập nhật xu hướng thẩm mỹ hiện đại, mới nhất nhằm mang đến kết quả tốt cho các khách hàng.

Vô trùng dụng cụ để tránh lây nhiễm chéo
Nha khoa ứng dụng công nghệ làm răng sứ thẩm mỹ hiện đại với phần mềm thiết kế nụ cười Smile Design Pro, phần mềm lấy dấu mẫu răng 3Shape 3D, hệ thống chẩn đoán hình ảnh CT Cone Beam 3D, hệ thống CAD/CAM kỹ thuật số,... đảm bảo kết quả phục hình tinh tế và thẩm mỹ toàn diện.
Nha khoa Nhân Tâm có hệ thống Lab rộng lớn ngay tại nha khoa với trang bị hiện đại, đảm bảo thiết kế theo đúng thông số kỹ thuật, rút ngắn thời gian làm răng sứ cho bệnh nhân.
Quy trình thực hiện trồng răng sứ của chúng tôi được vô trùng nghiêm ngặt, mỗi khách hàng được trang bị 1 ghế nha khoa, 1 bộ dụng cụ riêng biệt đã được vô trùng, loại bỏ hoàn toàn lây nhiễm chéo.
Hơn nữa, nha khoa còn có dịch vụ trả góp 0% lãi suất, chăm sóc tận tâm trước, trong và sau khi làm răng sứ nhằm giảm bớt lo lắng về câu hỏi làm răng sứ bao nhiêu tiền của nhiều người.
Nếu bạn đang có bất kỳ thắc mắc nào liên quan đến việc bọc răng sứ, trồng răng Implant, niềng răng hay tẩy trắng răng, thiết kế nụ cười… thì hãy liên hệ ngay nha khoa gần đây tại Nha khoa Nhân Tâm để được giải đáp trực tiếp. Đừng ngần ngại, hãy liên hệ sớm để nhanh chóng có được nụ cười tự tin!



