Có nên làm răng sứ thẩm mỹ không? Răng sứ sẽ là một trong những lựa chọn tốt khi bạn muốn cải thiện hàm răng có khuyết điểm để lấy lại nụ cười đẹp tự nhiên.
Cùng với việc tìm hiểu về về răng sứ là những lợi ích mà chúng mang lại, sự tư vấn trực tiếp từ bác sĩ sau khi thăm khám cũng là điều quan trọng giúp bạn biết được tình trạng răng của mình có phù hợp để bọc sứ hay không.
Có nên làm răng sứ thẩm mỹ không?
Trước khi quyết định có nên làm răng sứ thẩm mỹ không? Bạn cần hiểu được bản chất của phương pháp này cũng như những ích lợi mà nó đem lại một cách cụ thể và chính xác.
Làm răng sứ là kỹ thuật thẩm mỹ, phục hình răng đang rất phổ biến và được nhiều khách hàng lựa chọn. Sở dĩ răng sứ trở nên thông dụng như vậy là nhờ khả năng cải thiện khiếm khuyết răng trong thời gian điều trị ngắn, giúp khách hàng nhanh chóng có được hàm răng trắng sáng, đều đẹp tự nhiên.
Trong quá trình bọc sứ, các bác sĩ sẽ mài răng thật theo tỉ lệ nhất định đã tính toán trước, rồi lấy dấu răng để chế tác răng sứ. Sau khi hoàn thiện, những chiếc răng mới sẽ có màu sắc, kích thước và hình dáng không khác gì răng tự nhiên.
Có nên làm răng sứ thẩm mỹ không? Câu trả lời sẽ là có trong những tình huống sau:
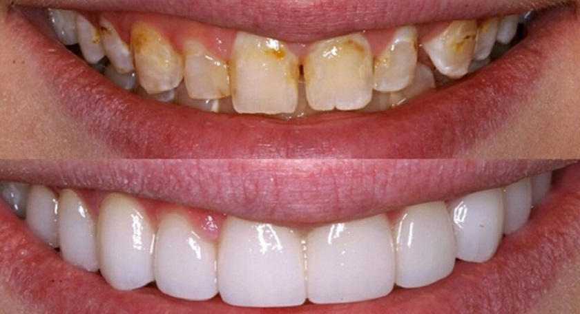
- Răng bị ngả màu, nhiễm kháng sinh, ố vàng nghiêm trọng mà biện pháp tẩy trắng không thể cải thiện được.
- Răng đã trám nhưng bị viêm lợi và tụt lợi nặng.
- Răng cửa mọc thưa không trám răng được.
- Men răng không tốt hoặc thiểu sản men răng.

Răng sứ thẩm mỹ giúp khắc phục tình trạng răng ngả màu
Bên cạnh đó, bạn cũng có thể lựa chọn bọc răng sứ nhằm khắc phục những tình trạng như:
- Răng sâu nặng, vỡ lớn, răng đã điều trị tủy.
- Mặt nhai của răng đã bị mòn nghiêm trọng.
- Răng bị gãy vỡ, mẻ lớn không thể trám lại được.
- Mất một hoặc nhiều răng và có nhu cầu phụ hình bằng cầu răng sứ.
- Tái tạo lại màu sắc và hình thể cho một hoặc nhiều răng để cải thiện thẩm mỹ.
- Phục hình răng sứ trên Implant.
Xem thêm: Răng sứ Zirconia là gì? Ưu điểm và hạn chế so với loại răng sứ khác
Bọc răng sứ đem lại lợi ích gì?
Để quyết định được có nên làm răng sứ thẩm mỹ không thì bạn cũng nên tìm hiểu về những lợi ích mà biện pháp này mang lại. Dưới đây sẽ là những lợi ích tuyệt vời mà răng sứ đem lại cho người sử dụng:
Cải thiện nụ cười
Khi lựa chọn răng sứ, các khuyết điểm trên răng sẽ nhanh chóng được khắc phục, trả lại cho bạn hàm răng đều đẹp, trắng sáng cùng nụ cười rạng rỡ, tự tin.

Răng sứ thẩm mỹ đem lại cho bạn nụ cười rạng rỡ cùng thần thái tự tin
Đem đến hàm răng đẹp tự nhiên
Nhờ công nghệ chế tác hiện đại mà những chiếc răng sứ được làm ra sẽ có màu sắc, hình thể tương tự như răng thật. Nếu bạn chỉ bọc sứ một vài răng thì cũng có thể hoàn toàn yên tâm vì răng sứ giống với răng thật đến nỗi khi người khác nhìn vào họ cũng sẽ không thể phân biệt được đâu là răng thật, đâu là răng sứ.
Khôi phục khả năng ăn nhai
Khả năng chịu lực và độ bền chắc của răng sứ sẽ giúp bạn thoải mái ăn nhai, thưởng thức các món ngon mà không lo bị sứt vỡ hay nứt mẻ. Tất nhiên là bạn vẫn nên hạn chế những đồ ăn quá cứng như xương sụn, đá viên,…
Cố định chắc chắn trên khuôn hàm
Khác với răng giả tháo lắp có thể bị di chuyển, lệch ra khỏi vị trí hoặc bóng tróc sau khi trám răng, răng sứ sẽ được bác sĩ cố định chắc chắn bên ngoài cùi răng thật, bạn có thể yên tâm sử dụng mà không cần lo lắng về tình trạng bung tuột.
Bảo vệ răng thật
Không chỉ có công dụng khôi phục hình dáng răng mà việc bọc răng sứ còn giúp bảo vệ chiếc răng thật khỏi sự tấn công, phá hủy nặng nề hơn của axit, vi khuẩn trong khoang miệng. Từ đó, răng thật có thể tồn tại lâu hơn.
Hy vọng rằng các thông tin trong bài trên đây sẽ giúp bạn hiểu hơn về răng sứ và đưa ra được lựa chọn có nên làm răng sứ thẩm mỹ không. Để biết chắc chắn biện pháp bọc sứ có phù hợp với tình trạng răng của mình không, một buổi hẹn với bác sĩ chuyên khoa tại các trung tâm phòng khám nha khoa tốt sẽ là điều vô cùng cần thiết. Đừng chần chừ mà hãy đặt hẹn với các chuyên gia tại Nha khoa Nhân Tâm ngay để nhanh chóng lấy lại nụ cười hoàn mỹ nhé.


