Khớp cắn chéo là sự sai lệch của hàm răng khi răng trên cung hàm chia thành nhiều nhóm khác nhau thò ra thụt vào, phá vỡ sự đối xứng của hai hàm răng trên dưới và làm mất cân đối toàn bộ răng trên cung hàm.
Khớp cắn chéo ít biểu hiện ra ngoài nên khi nhìn vào, bạn khó có thể phát hiện người đối diện có bị khớp cắn chéo hay không. Tuy nhiên, thường thì nụ cười của những người này sẽ không được tự nhiên và kém thẩm mỹ. Sai lệch khớp cắn chéo có thể thấy rõ khi quan sát răng cửa.
Khớp cắn chéo là gì?
Khớp cắn chéo được định nghĩa là sự sai lệch của hàm răng khi mà các răng trên cung hàm chia thành nhiều nhóm thò thụt khác nhau, phá vỡ sự đối xứng hoàn toàn của hai hàm răng trên và dưới đồng thời gây ra sự cân đối hài hòa của toàn bộ răng trên cung hàm.
Tuy hai hàm răng không cân đối nhưng khớp cắn chéo lại ít có biểu hiện ra ngoài. Khi nhìn vào khuôn mặt của người đối diện, bạn khó có thể phát hiện ra người đó có bị khớp cắn chéo hay không, nhưng khi nở nụ cười họ sẽ không được tự nhiên và kém thẩm mỹ hơn. Sai lệch khớp cắn chéo có thể thấy rõ khi quan sát răng cửa.
Xem thêm: Những lưu ý khi niềng răng cho trẻ mà phụ huynh cần nắm được
Đặc điểm khớp cắn chéo
Khớp cắn chéo bị chia thành nhiều nhóm răng xô lệch
Đây là sự biến dị nghiêm trọng của tình trạng khớp cắn chéo với những đặc điểm như:
Trên cùng một cung răng, nhưng có thể bị phân chia thành nhiều nhóm răng sai lệch khác nhau, nhóm thò ra, nhóm thụt vào rất mất cân đối, không thể phân biệt được đó là hô vẩu hay móm.
Đoạn thì nằm ngoài, đoạn thì nằm trong không thể phân biệt là hàm răng trên ở ngoài hàm dưới hay hàm dưới ở ngoài hàm trên.
Khớp cắn chéo răng cửa gây mất đối xứng hai hàm
Sự mất đối xứng này diễn ra với cả tổng thể hai hàm răng và ngay cả khi xét trên từng nhóm răng, từng răng và kẽ răng.

Khớp cắn chéo gây mất đối xứng giữa 2 hàm răng
Hàm trên và dưới mất sự đối xứng về vị trí răng cũng như kẽ răng
Khi răng cửa chỉnh hàm trên và hàm dưới lệch nhau, đường nối từ đỉnh mũi qua 2 khe răng cửa và 2 hàm xuống tới trung tâm của cằm không tạo thành một đường thẳng mà bị gấp khúc ở khe răng cửa.
Qua đường thẳng này các răng trên cùng một hàm đối xứng với nhau và giữa hai hàm có sự cân đối từ từng vị trí răng đến các khe răng thưa.
Không cân đối giữa các răng
Toàn bộ các răng cũng như kẽ răng không có sự cân đối hài hòa với nhau, trong đó, khớp cắn chéo thể hiện rõ nhất ở răng cửa.
Sự tiếp xúc giữa các nhóm răng ở cả hàm trên và dưới không đạt tiêu chuẩn tốt nhất
Điều này gây ảnh hưởng đến quá trình tạo lực khi ăn nhai không chuẩn và không đầy đủ.
Điều trị khớp cắn chéo như thế nào?
Khớp cắn chéo cần phải được khắc phục để tránh ảnh hưởng đến răng và xương hàm, đồng thời giúp hồi phục chức năng ăn nhai và đem lại hiệu quả thẩm mỹ cho cả khuôn mặt.
Để điều trị tình trạng này, cần phải căn cứ trực tiếp vào sự sai lệch cụ thể của từng trường hợp rồi mới đưa ra phương pháp phù hợp nhằm mang lại hiệu quả tốt nhất.
Với trường hợp bị khớp cắn chéo do răng
Bác sĩ sẽ thực hiện chỉnh nha – niềng răng để kéo các răng về đúng vị trí trên cung hàm, từ đó giúp hàm răng đều, đẹp và ổn định lâu dài.

Niềng răng chỉnh nha điều chỉnh khớp cắn chéo
Với trường hợp bị khớp cắn chéo do hàm
Tiến hành đeo khí cụ để kích thích sự phát triển của xương hàm trên, tuy nhiên chỉ mang lại hiệu quả cao đối với trẻ em từ 9 – 12 tuổi. Đối với Bệnh nhân trong độ tuổi trưởng thành thì sẽ tiến hành phẫu thuật hàm để cải thiện khớp cắn, đảm bảo thẩm mỹ và khả năng ăn nhai.
Với trường hợp bị khớp cắn chéo do cả hàm và răng
Bác sĩ sẽ kết hợp phẫu thuật hàm và chỉnh nha – niềng răng để mang lại kết quả tốt nhất.
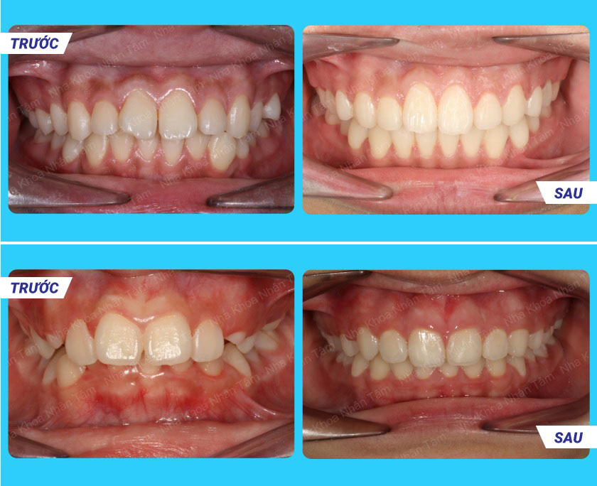
Nha khoa Nhân Tâm với đội ngũ Bác sĩ chuyên khoa răng hàm mặt giỏi tại Tp.HCM, trình độ chuyên môn cao, giàu kinh nghiệm cùng hệ thống trang thiết bị kỹ thuật hiện đại theo tiêu chuẩn Quốc tế đã khắc phục thành công cho hàng nghìn ca khớp cắn chéo từ đơn giản đến phức tạp.
Khi điều trị tại phòng khám nha khoa chúng tôi bạn có thể hoàn toàn yên tâm về kết quả vì chúng tôi luôn nỗ lực hết mình để mang lại kết quả cao nhất cho mọi khách hàng.

Hình ảnh khách hàng niềng răng tại Nha khoa Nhân Tâm
Trên đây là những đặc điểm nhận biết khớp cắn chéo và những chỉ định để điều trị tình trạng này hiệu quả. Nếu còn bất kỳ thắc mắc nào, hãy liên hệ ngay với Nha khoa Nhân Tâm để được các chuyên gia tư vấn chi tiết và hoàn toàn miễn phí.




