Răng hàm đóng vai trò rất quan trọng, được xem là một “bộ máy” giúp nghiền nhỏ thức ăn. Chính vì thế, khi răng hàm bị sâu, nhiều người lo lắng không biết có nên nhổ không.
Răng hàm bị sâu chia thành nhiều cấp độ khác nhau, tùy theo từng cấp độ mà Bác sĩ chỉ định có nên nhổ răng hàm bị sâu hay không? Trường hợp răng bị sâu nhẹ chỉ cần lấy sạch vết sâu rồi trám lại;
Trường hợp răng bị sâu đến tủy thì cần phải thực hiện chữa tủy, sau đó trám lại và bọc răng sứ; trường hợp răng sâu nặng không thể cứu chữa thì sẽ phải nhổ bỏ.
Nha khoa Nhân Tâm với đội ngũ Bác sĩ trên 20 năm kinh nghiệm, ứng dụng công nghệ hiện đại sẽ giúp bạn kiểm tra răng sâu một cách tỉ mỉ, từ đó đưa ra chỉ định chính xác nhất cho bạn.
Có nên nhổ răng hàm bị sâu không?
Khi bị sâu răng, nhiều người bệnh thường nghĩ ngay đến việc nhổ răng. Tuy nhiên, tùy vào từng mức độ sâu răng mà sẽ có phương pháp điều trị cụ thể chứ không phải trường hợp nào cũng có thể nhổ, nhất là đối với răng hàm.
Việc nhổ răng hàm bị sâu sẽ dẫn đến hiện tượng mất răng, ảnh hưởng lớn tới việc ăn nhai, sức khỏe và gây tốn kém chi phí khi phải thực hiện trồng răng giả.
Chính vì thế, bệnh nhân khi bị sâu răng hàm nên đến địa chỉ nha khoa gần đây uy tín để được Bác sĩ thăm khám nhằm biết chính xác mức độ sâu răng.
Nếu răng hàm bị sâu nhẹ, Bác sĩ sẽ tiến hành điều trị loại bỏ vi khuẩn, phục hình răng để giúp bạn hết đau nhức và ăn nhai bình thường trở lại. Trong trường hợp sâu răng quá nặng, không thể bảo tồn được thì mới phải nhổ răng hàm bị sâu đi.

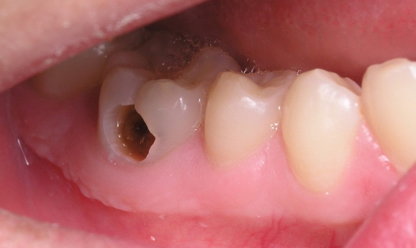
Tùy vào mức độ răng sâu mà bác sĩ sẽ có chỉ định phù hợp
Thời điểm nhổ răng hàm bị sâu
Răng hàm bị sâu chia thành nhiều cấp độ khác nhau, tùy vào từng cấp độ mà Bác sĩ chỉ định có nên nhổ răng hàm bị sâu hay không. Trên thực tế, có những chiếc răng bị sâu tới 80 – 90% vẫn có thể phục hồi lại hình dạng và chức năng ăn nhai như ban đầu.
Tuy nhiên, nếu bắt buộc phải nhổ răng thì thời điểm tốt nhất là khi vi khuẩn sâu răng đã phá hủy được lớp men răng, ngà răng, cấu trúc răng để xâm nhập và tấn công tới tủy răng.
Vi khuẩn sâu răng sẽ ăn mòn răng một cách thầm lặng cho đến khi tủy răng bị nhiễm trùng, gây nên cảm giác đau nhức, khó chịu, thậm chí còn lây lan sang những chiếc răng khác.

Thời điểm nhổ răng hàm bị sâu
Nhổ răng hàm bị sâu có đau không?
Răng hàm bị sâu khi được Bác sĩ chỉ định nhổ bỏ thì chắc chắn đã không thể phục hồi lại được. Do đó, tủy răng lúc này đã bị tổn thương khá nghiêm trọng. Nếu thực hiện nhổ răng sống (không sử dụng các biện pháp giảm đau) thì Bệnh nhân sẽ khó có thể chịu đựng được cơn đau này.
Hiện nay, phương pháp nhổ răng với máy siêu âm được ứng dụng khá phổ biến, cho nên Bệnh nhân có thể hoàn toàn yên tâm khi nhổ răng hàm bị sâu sẽ giảm thiểu tối đa tình trạng đau nhức răng, chảy máu, đồng thời rút ngắn thời gian thực hiện tiểu phẫu.

Nhổ răng không đau bằng máy siêu âm Piezotome
Nha khoa Nhân Tâm là cơ sở nha khoa uy tín, ứng dụng thành công công nghệ nhổ răng siêu âm Piezotome thế hệ mới nhất hiện nay.
Với đội ngũ Bác sĩ giỏi, giàu kinh nghiệm cùng máy móc, trang thiết bị hiện đại, chất lượng dịch vụ chuyên nghiệp, Nha khoa Nhân Tâm chắc chắn sẽ khiến bạn hài lòng khi thực hiện nhổ răng hàm bị sâu nhanh chóng, an toàn, không đau.
- Toàn bộ quá trình thăm khám, tư vấn và thực hiện đều do Đội ngũ bác sĩ giàu kinh nghiệm, chuyên môn giỏi, có chứng chỉ hành nghề, tốt nghiệp răng hàm mặt trong cũng như ngoài nước trực tiếp làm.
- Trang bị hệ thống máy máy móc tiên tiến, công nghệ nhổ răng không đau bằng máy siêu âm Piezotome và sử dụng thuốc tê chất lượng cao, giúp việc nhổ răng diễn ra chuẩn xác, an toàn, không đau.
- Quy trình nhổ răng chuyên nghiệp theo tiêu chuẩn quốc tế, tuân thủ nghiêm ngặt quy định của cơ quan y tế.
- Bảo đảm vô trùng vô khuẩn tuyệt đối bằng việc trang bị máy phun sương tiệt trùng, phòng vô trùng trung tâm,… Mỗi khách hàng khi đến thăm khám tại đây đều được sắp xếp vào một ghế nha khoa riêng biệt, có bộ thăm khám và bộ tay khoan riêng nhằm đảm vô trùng, loại bỏ tình trạng lây nhiễm chéo.
Xem thêm: Có nên nhổ bỏ răng nanh mọc ngầm không?

Nha khoa Nhân Tâm – Trung tâm chăm sóc răng miệng uy tín
Nếu vẫn còn băn khoăn về việc có nên nhổ răng hàm bị sâu hay không hoặc muốn được các Bác sĩ tư vấn trước, bạn có thể liên hệ ngay đến Nha khoa Nhân Tâm theo những thông tin dưới đây để được giải đáp nhanh chóng.




