Có nên lấy cao răng hay không? Theo lời khuyên từ các bác sĩ nha khoa, bạn nên lấy cao răng định kì ít nhất 1 lần/năm để duy trì răng miệng sạch sẽ, ngăn chặn sự phát triển của vi khuẩn cùng nhiều bệnh lý nha khoa khác như viêm nướu, chảy máu chân răng, viêm nha chu, hôi miệng, lở miệng,… Tại Nha khoa Nhân Tâm bạn sẽ được trải nghiệm các dịch vụ nha khoa chất lượng cao, bao gồm cả lấy cao răng với mức giá phải chăng nhất.
Có nên lấy cao răng hay không?
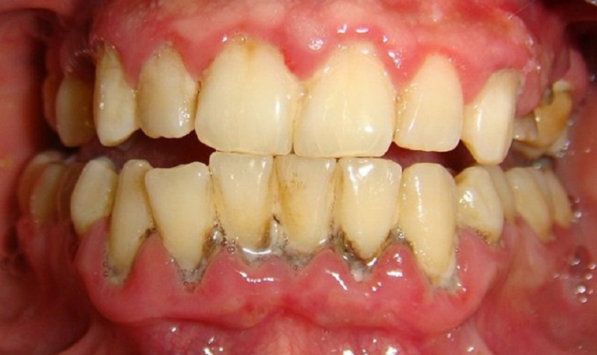
Cao răng hay vôi răng chính là những mảng bám màu trắng ngà đọng lại thân răng, kẽ răng và giữa chân răng với nướu, đôi khi chúng còn tồn tại cả bên dưới nướu. Cao răng hình thành là di sự tích tụ của các vệt mảng bám mỏng kết hợp với sự phát triển, sinh sôi của vi khuẩn gây hại. Theo kết quả từ một số nghiên cứu thì vi khuẩn chiếm tới 70% khối lượng cao răng. Bên cạnh đó, việc chải răng hàng ngày chỉ có thể làm sạch một phần mảng bám mềm, mỏng.
Theo thời gian, các cặn thức ăn sót lại cùng với hợp chất muối có trong nước bọt sẽ khiến lớp cao răng dày hơn, cứng chắc hơn và bám chặt vào mép lợi, chân răng. Đây cũng chính là nguyên nhân dẫn tới tình trạng chảy máu chân răng, viêm lợi,… Với tình trạng như vậy, bạn nên tới trung tâm nha khoa để vệ sinh răng miệng, lấy cao răng nhằm ngăn chặn sự phát triển của vi khuẩn và loại bỏ vi khuẩn đang trú ngụ ở nướu và chân răng.

Cao răng tích tụ lâu ngày là nguyên nhân gây viêm lợi
Nhiều năm về trước, phần đông khách hàng thường không để tâm đến việc lấy cao răng nhưng đây lại là lý do gây ra nhiều triệu chứng răng miệng bất thường, điển hình là hôi miệng, viêm nha chu, chảy máu chân răng, ê buốt răng,…
Ngoài ra, vôi răng cũng là tác nhân làm phát sinh vấn đề viêm tủy ngược dòng. Lúc này, vi khuẩn trú ngụ trong vôi răng lại gây nên các bệnh lý khác như viêm họng, viêm amidan, lở miệng,… Chính vì vậy, mỗi năm bạn nên đi khám răng miệng định kỳ và thực hiện lấy cao răng tối thiểu 1 lần. Chủ động cạo vôi răng tại nha khoa hàng năm sẽ giúp ngăn chặn nguy cơ vôi răng bám dày gây ra viêm nhiễm đối với các khu vực xung quanh.
Chi phí lấy cao răng là bao nhiêu?
Tại hầu hết các bệnh viện, phòng khám nha khoa đều cung cấp dịch vụ cạo vôi răng, tuy nhiên khách hàng cần tìm hiểu cẩn thận và chọn lựa cho mình một địa chỉ uy tín, chất lượng để đảm bảo an toàn và hiệu quả.

Chi phí cạo vôi răng là bao nhiêu?
Trên thực tế, chi phí lấy cao răng còn tùy thuộc vào một số yếu tố như:
- Độ dày của cao răng: Tùy theo lượng cao răng của mỗi khách hàng mà bác sĩ sẽ tính toán và đưa ra mức giá phù hợp. Đối với những người có ít vôi răng thì chi phí cho dịch vụ lấy cao răng sẽ ít hơn. Còn đối với những người lần lấy cao răng với nhiều mảng cao răng cứng và dày thì mức giá sẽ có phần cao hơn.
- Dịch vụ và trang thiết bị, máy móc tại mỗi cơ sở: Mỗi cơ sở nha khoa sẽ có một bảng giá dịch vụ khác nhau tùy vào hệ thống máy móc, trang thiết bị, tay nghề bác sĩ, chất lượng phục vụ,… Với các nha khoa uy tín, trình độ y bác sĩ cao, chất lượng dịch vụ tốt, áp dụng công nghệ hiện đại thì mức giá sẽ có phần cao hơn so với những trung tâm nha khoa thông thường.
Tại Nha khoa Nhân Tâm, chi phí cạo vôi răng luôn ở mức hợp lý, tương xứng với chất lượng và được công khai niêm yết rõ ràng để mọi khách hàng đều có thể nắm bắt, bạn có thể tham khảo mức giá chi tiết trong bảng dưới đây:
Qua các thông tin được cung cấp trong bài viết, các bạn đã giải đáp được băn khoăn có nên lấy cao răng không cũng như nắm được chi phí cụ thể cho dịch vụ này rồi đúng không. Cạo vôi răng không chỉ giúp hàm răng của bạn sạch sẽ, thẩm mỹ hơn mà còn ngăn chặn được rất nhiều bệnh lý nha khoa, duy trì răng miệng luôn khỏe mạnh. Do đó, bạn hãy chủ động tới phòng khám nha khoa để cạo vôi răng định kì hàng năm nhé. Nếu còn vấn đề băn khoăn nào, bạn có thể liên hệ với Nha khoa Nhân Tâm để được hỗ trợ nhanh nhất.



