Chân răng bị đen là hiện tượng xuất hiện những đốm đen trên bề mặt hoặc quanh cổ răng. Đen chân răng sẽ ảnh hưởng đến sức khỏe và thẩm mỹ răng miệng, khiến khách hàng thiếu tự tin trong giao tiếp.
Nguyên nhân gây đen chân răng
Chân răng bị đen có nhiều nguyên nhân:
Do mảng bám từ thức ăn hoặc thức uống sẫm màu
Khi bạn ăn hay uống đồ có màu như cà phê, socola, cocacola, nước cà rốt,...khi bạn hút thuốc lá hoặc khi bạn súc miệng bằng nước súc miệng có màu như Betadine,... màu ở đồ ăn, uống,..sẽ bám trên mặt răng. Mảng bám màu bám càng nhiều nếu bề mặt của răng không được giữ gìn sạch sẽ. Khi đánh răng, một phần mảng bám màu sẽ bị đánh bật nếu bạn đánh răng sạch. Phần răng ở vị trí sát lợi dễ bị bỏ qua khi đánh răng, nhất là ở mặt trong của răng. Mảng bám màu lâu dần thành màu đen gây mất thẩm mỹ.
Vôi răng
Là những mảng bám xung quanh các mặt của răng. Chúng bám trên mặt răng ở cả trên và dưới lợi. Lúc đầu mảng bám có màu vàng hoặc nâu sẫm, mềm. Sở dĩ vôi răng có màu đen là do mảng bám có bề mặt xù xì nên các thực phẩm có màu rất dễ bám lại, cộng thêm sự lắng đọng của những mảnh vụn thức ăn, xác vi khuẩn trong miệng, lâu dần mảng bám cứng lại gọi là vôi răng và chuyển thành màu đen. Đặc biệt ở những người hút thuốc nhiều, có thói quen uống nhiều cà phê, chè, vệ sinh răng miệng không kỹ thì vôi răng rất nhanh hình thành.
Sâu răng
Do phần răng ở vị trí sát lợi dễ bị bỏ qua khi đánh răng, tổ chức sâu răng sẽ dễ hình thành tạo nên lỗ sâu. Tổ chức ngà răng ở vị trí bị sâu sẽ chiến đấu lại với tổ chức sâu răng, ngà răng ở đó sẽ cứng lại đổi sang màu sẫm đen để ngăn không cho sâu răng phát triển thêm nữa. Vì vậy ở vị trí sâu răng, răng thường có màu đen.
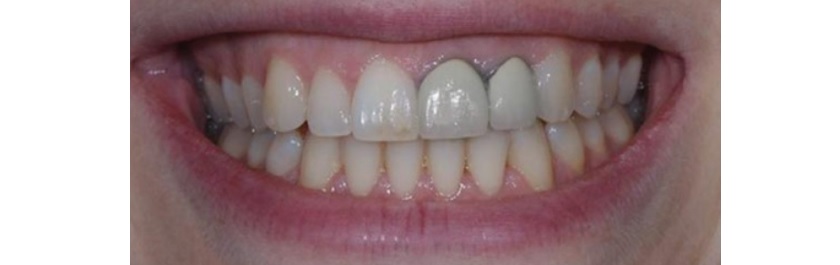
Do sử dụng mão răng kim loại
Với răng sứ được làm bằng vật liệu là kim loại, sau một thời gian, phần kim loại bị oxi hóa, kết hợp với mảng bám, thức ăn bám tại bờ của chụp răng gây nên đường viền đen ở phần răng sát lợi.

Răng bị đen chân do sử dụng mão răng sứ kim loại
Điều trị chân răng bị đen có khó không?
Chân răng bị đen dù là nguyên nhân gì cũng cần được khắc phục sớm, tránh những tác hại xấu tới sức khỏe răng miệng động thời cải thiện chức năng thẩm mỹ.
Chữa chân răng bị đen không hề khó, bác sĩ sẽ đưa ra phương án điều trị dựa theo nguyên nhân:
Với nguyên nhân là mảng bám và vôi răng
Bác sĩ khuyên bạn nên đi lấy vôi răng. Việc lấy vôi răng nên được làm cẩn thận và kỹ lưỡng để loại bỏ hết vôi răng, mảng bám ở cả trên và dưới lợi trên tất cả các mặt của răng. Đánh bóng sau khi lấy vôi răng cũng rất quan trọng để mặt răng láng bóng, nhẵn nhụi, hạn chế mảng bám và vôi răng nhanh chóng hình thành.
Với nguyên nhân sâu răng
Bạn nên đi trám răng sâu. Nha sĩ sẽ lấy hết tổ chức sâu và ngà bệnh ở vị trí sâu trước khi dùng chất hàn thẩm mỹ tạo hình lại răng.
Với nguyên nhân là bọc răng sứ kim loại
Cách tốt nhất là thay chụp răng khác. Để tránh chân răng bị đen, bạn nên chọn chụp răng là vật liệu toàn sứ tốt và không bị oxy hóa.
Xem thêm: Sau khi bọc răng sứ nên làm gì để giữ răng bền đẹp?
Lưu ý để tránh chân răng bị đen
Muốn giữ hàm răng của mình luôn trắng sáng và khỏe mạnh, bạn luôn nghĩ phòng bệnh hơn chữa bệnh. Sau đây là vài lưu ý dành cho bạn:
- Quan trong nhất là việc giữ gìn vệ sinh răng miệng sạch sẽ tại nhà. Bạn cần đánh răng đúng cách, đánh sạch các mặt của răng, dùng chỉ tơ nha khoa để chải sạch kẽ răng. Bạn cũng có thể dùng máy tăm nước để làm sạch các kẽ răng to và bề mặt răng. Đánh răng, dùng chỉ tơ nha khoa và dùng máy tăm nước sẽ kết hợp với nhau giúp làm sạch hàm răng.
- Chế độ ăn uống cũng quan trọng. Bạn nên tránh dùng đồ ăn, đồ uống có màu, hạn chế dùng đồ ngọt, chua.

Nên tránh sử dụng những thực phẩm gây ra cho răng miệng
- Bạn nên chủ động đặt hẹn với Bác sĩ để được khám và lấy vôi răng định kỳ 6 tháng/lần để hàm răng luôn khỏe mạnh, trắng sáng.
- Bạn cũng nên chọn những cơ sở khám chữa răng uy tín để điều trị răng.
Nếu chân răng bị đen, bạn hãy đến ngay phòng khám nha khoa uy tín để chữa trị kịp thời, tránh ảnh hưởng đến sức khỏe và thẩm mỹ. Hãy liên hệ đến Nha khoa Nhân Tâm, chúng tôi sẽ tư vấn miễn phí, giúp bạn giải đáp thắc mắc về bệnh lý răng miệng.




