Niềng răng là phương pháp sử dụng các khí cụ chỉnh nha bao gồm: mắc cài, dây thun hoặc khay niềng,… để tạo ra lực kéo nhằm dịch chuyển các răng mọc lệch lạc về đúng vị trí như mong muốn, giúp hàm răng đều đẹp, chuẩn khớp cắn.
Hiện nay, có rất nhiều yếu tố ảnh hưởng đến chi phí niềng răng như: tình trạng răng của mỗi người, phương pháp niềng răng, chất lượng dịch vụ của nha khoa,…
Để biết được chính xác bảng giá niềng răng là bao nhiêu, bạn nên đến nha khoa uy tín để được thăm khám, kiểm tra về tình trạng răng miệng, qua đó bác sĩ sẽ tư vấn phương pháp điều trị phù hợp cũng như thông báo chi tiết giá niềng răng để bạn nắm rõ.
Nha khoa Nhân Tâm là một trong những trung tâm niềng răng chuyên sâu được đông đảo khách hàng tin tưởng lựa chọn. Nếu bạn đang tìm một địa chỉ niềng răng uy tín, hiệu quả với chi phí hợp lý, Nha khoa Nhân Tâm sẽ không làm bạn thất vọng.
Các yếu tố ảnh hưởng đến bảng giá niềng răng
Trên thực tế, không có giá niềng răng chung cho mỗi người bởi mức giá này sẽ thay đổi dựa trên rất nhiều yếu tố.
Dưới đây là những yếu tố ảnh hưởng đến bảng giá niềng răng mà bạn có thể tham khảo:
Tình trạng miệng của mỗi người
Đây là yếu tố quyết định rất nhiều đến giá niềng răng. Tùy theo các mức độ của răng hô, móm, lệch lạc,… nặng hay nhẹ mà chi phí niềng răng sẽ dao động cao hay thấp hơn.
Trường hợp răng bị xô lệch nhẹ hoặc trung bình thì mức giá sẽ thấp hơn so với những trường hợp khách hàng có răng xô lệch ở mức độ nặng. Ngoài ra, nếu bạn mắc phải các bệnh lý răng miệng thì phải điều trị triệt để rồi mới bắt đầu niềng. Do đó sẽ tốn thêm khoảng chi phí cho các dịch vụ này.
Phương pháp niềng răng
Hiện nay có rất nhiều loại niềng răng như: niềng răng mắc cài kim loại, niềng răng mắc cài sứ, niềng răng mắc cài tự khóa, niềng răng vô hình invisalign.
Những phương pháp này đều có những ưu nhược điểm riêng biệt nên sẽ có mức giá khác nhau. Thông thường, phương pháp niềng răng bằng khay niềng trong suốt sẽ có chi phí cao hơn các phương pháp niềng răng bằng mắc cài.

Giá niềng răng tùy thuộc vào phương pháp niềng răng mà bạn lựa chọn
Chất lượng dịch vụ của nha khoa
Niềng răng là một quá trình lâu dài với kỹ thuật khá phức tạp, bác sĩ cần phải phân tích kỹ tình trạng của răng để đưa ra phác đồ điều trị hiệu quả và tiết kiệm thời gian nhất.
Do đó, niềng răng cần được thực hiện tại phòng khám nha khoa tốt và uy tín có đội ngũ bác sĩ có trình độ chuyên môn cao, giàu kinh nghiệm cùng với sự hỗ trợ của công nghệ hiện đại. Bảng giá niềng răng tại các nha khoa uy tín sẽ có phần đắt hơn những nha khoa kém uy tín, không có giấy phép hoạt động.
Bảng giá niềng răng tại Nha khoa Nhân Tâm
Như đã phân tích, giá niềng răng sẽ phụ thuộc vào nhiều yếu tố. Để biết chính xác chi phí niềng răng là bao nhiêu, bạn nên tới trực tiếp nha khoa để bác sĩ thăm khám, kiểm tra về tình trạng răng miệng, mức độ sai lệch của răng.
Qua đó, bác sĩ sẽ tư vấn phương pháp điều trị phù hợp cũng như thông báo chi tiết bảng giá niềng răng để bạn nắm rõ.

Để biết chi phí niềng răng chính xác, bạn cần thăm khám và tư vấn bởi bác sĩ
Nha khoa Nhân Tâm được đông đảo khách hàng tin tưởng và đánh giá cao về chất lượng niềng răng. Nếu bạn đang tìm một địa chỉ niềng răng uy tín, hiệu quả và có chi phí hợp lý, Nha khoa Nhân Tâm sẽ không làm bạn thất vọng khi lựa chọn tới điều trị.
Dưới đây là chi phí niềng răng tại Nha khoa Nhân Tâm mà bạn có thể tham khảo.
Xem thêm: Niềng răng có đau không? Bí quyết giảm đau khi niềng răng
An tâm khi chọn niềng răng tại Nha khoa Nhân Tâm
Với hơn 23 năm kinh nghiệm trong lĩnh vực răng hàm mặt, trong đó niềng răng là dịch vụ thế mạnh của Nha khoa Nhân Tâm, vì thế nơi đây được rất đông khách hàng yêu thích và trao gửi niềm tin.
Đội ngũ bác sĩ giỏi, chuyên sâu về niềng răng – chỉnh nha, 100% có chứng chỉ hành nghề.
Hệ thống máy móc hiện đại, tối tân bậc nhất được nhập khẩu từ Châu Âu: máy chụp X-quang CT Cone Beam 3D giúp bác sĩ xác định chính xác tình trạng răng miệng của khách hàng, từ đó lên kế hoạch điều trị chi tiết; phần mềm Vceph 3D có khả năng dự đoán chính xác những thay đổi của răng,…

Nha khoa Nhân Tâm là trung tâm chuyên sâu về niềng răng
Quy trình thực hiện theo tiêu chuẩn quốc tế, tuân thủ nghiêm ngặt yếu tố vô trùng – vô khuẩn, mỗi khách hàng loại một phòng điều trị riêng biệt, bộ dụng cụ riêng biệt, ngăn ngừa nguy cơ lây nhiễm chéo.
Dịch vụ chăm sóc khách hàng chu đáo với chính sách bảo hành lâu dài. Đây cũng chính là sự cam kết của Nha khoa Nhân Tâm về chất lượng điều trị đối với khách hàng.
Hỗ trợ trả góp lãi suất 0% bằng 2 hình thức: thanh toán trực tiếp tại nha khoa hoặc thanh toán qua thẻ tín dụng của ngân hàng Sacombank.

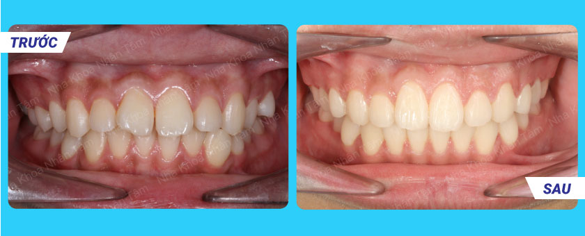
Kết quả niềng răng tại Nha khoa Nhân Tâm
Hy vọng rằng với những thông tin trên, bạn đã nắm được các yếu tố ảnh hưởng đến bảng giá niềng răng. Để có thông tin chính xác, hãy đến trực tiếp Nha khoa Nhân Tâm để thăm khám và nhận thông tin vấn về bảng giá niềng răng chi tiết nhé.




