Trồng răng sứ răng cửa như thế nào?
Răng cửa là răng ở mặt trước hàm vì vậy khi chúng ta cười hay giao tiếp, chúng sẽ là những chiếc răng đầu tiên lộ ra trước mắt những người xung quanh. Việc chiếc răng cửa gặp một số khuyết điểm như bị thưa, nhỏ, mòn vỡ, sứt mẻ, hay lệch lạc… sẽ gây mất tính thẩm mỹ và khiến bạn không còn tự tin trong giao tiếp hàng ngày.
Khắc phục những khuyết điểm này, trồng răng sứ răng cửa được cho là một giải pháp tối ưu, an toàn nhất, có tính thẩm mỹ và độ bền chắc cao.
Bọc răng sứ răng cửa là phương pháp phục hình răng sử dụng mão sứ được thiết kế với hình dáng như một chiếc răng tự nhiên, bọc lên trên răng gốc có khuyết điểm. Để làm được điều này, bác sĩ sẽ phải thực hiện mài răng cửa để bọc sứ, tỷ lệ mài sẽ được tính toán sao cho phù hợp và có thể cố định vững chắc cho thân răng bên trên.
Khi nào nên trồng răng sứ răng cửa?
Vì vị trí răng cửa ở ngay mặt ngoài của hàm răng nên khi có khuyết điểm khó khắc phục được là lúc bạn nên trồng răng sứ răng cửa để giải quyết vấn đề này. Dưới đây là một số trường hợp mà bác sĩ khuyến khích áp dụng phương pháp bọc răng sứ để phục hình lại răng cửa.
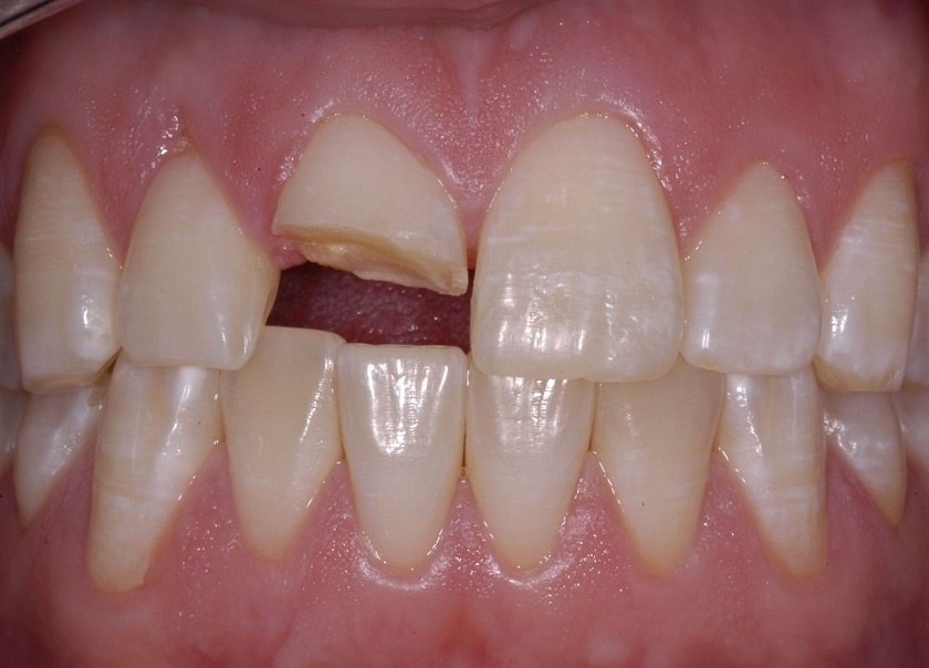
Răng cửa bị mẻ, vỡ

Răng sứ bị mẻ, vỡ
Trước kia khi răng bị mẻ, vỡ… mọi người thường có xu hướng sẽ tìm đến phương pháp trám răng thẩm mỹ để phục hồi răng lại nguyên trạng. Tuy nhiên, theo khuyến cáo của các bác sĩ, trám răng bị mẻ vỡ thường chỉ có tác dụng nếu như tỷ lệ vỡ không vượt quá 2.5. Nếu tỷ lệ này lớn hơn thì khách hàng nên lựa chọn phương pháp bọc răng sứ.
Ưu điểm khi trồng răng sứ răng cửa bị mẻ vỡ… là răng mới sẽ có độ bền cao hơn, do được làm nguyên khối nên khi ăn nhai răng không dễ bung sút, màu sắc hài hòa với các răng xung quanh hơn.
Răng cửa thưa, nhỏ
Răng cửa bị thưa, nhỏ sẽ tạo thành khoảng cách lớn giữa hai chiếc răng cửa khiến cho người ngoài nhìn vào có thể thấy rõ 2 khe giữa răng. Tình trạng này sẽ làm mất thẩm mỹ, giảm đi sự tự tin khi giao tiếp. Ngoài ra, khe hở giữa hai răng quá lớn, thức ăn cũng dễ kẹt lại và trở thành mầm mống của các bệnh lý răng miệng khác như cao răng, viêm chân răng, sâu răng…
Răng cửa bị hô

Răng cửa bị hô nhẹ
Răng cửa bị mọc lệch, hô, chìa ra ngoài không chỉ gây mất thẩm mỹ mà còn dẫn tới tình trạng sai khớp cắn khiến cho việc ăn nhai khó khăn hơn. Về lâu dài, điều này còn có thể dẫn tới một số bệnh lý như đau nhức thái dương, sai khớp hàm…
Để khắc phục tình trạng mọc chìa của răng cửa, đa phần mọi người sẽ nghĩ đến phương pháp niềng răng. Tuy nhiên, niềng răng đòi hỏi bạn phải đầu tư rất nhiều công sức và thời gian ít nhất.
Vì vậy, nếu như răng cửa bị mọc chìa không quá nghiêm trọng, bạn có thể lựa chọn phương pháp bọc răng sứ 2 răng cửa. Lựa chọn này vừa có thể giúp bạn tiết kiệm được nhiều thời gian, công sức.
Răng cửa mọc lệch
Và với tình trạng răng cửa mọc lệch bạn hoàn toàn có thể bọc răng sứ. Phương pháp này giúp bạn cải thiện tình trạng răng miệng nhanh chóng chỉ trong khoảng thời gian 2 đến 3 ngày, không giống với phương pháp niềng răng bạn sẽ mất 1 khoảng thời gian dài mới có được kết quả.
Với phương pháp bọc răng sứ 2 răng cửa các bác sĩ sẽ tiến hành mài 1 phần cùi răng thật, sau đó lắp mão sứ lên trên răng cửa bị lệch. Như vậy bạn đã có thể cải thiện được tình trạng răng mọc lệch lạc, khấp khểnh, cũng như cải thiện được màu sắc răng, hình dáng răng như mong muốn.
Những lưu ý sau khi bọc răng sứ
Sau khi trồng răng sứ, bạn cần biết những lưu ý sau khi khi bọc sứ răng cửa sau để không ảnh hưởng đến tuổi thọ của răng:

Hạn chế uống cà phê sau khi bọc răng sứ
Hạn chế dùng các thực phẩm, đồ uống có màu đậm như trà, cà phê trong vòng 1 đến 2 tuần đầu sau khi bọc răng sứ.
Không ăn các thực phẩm cứng, quá nóng hoặc lạnh để tránh làm tổn thương răng. Nếu ăn thức ăn quá cứng sẽ dễ làm cho răng sứ bị mẻ, vỡ, thậm chí làm hỏng cả răng thật.
Đánh răng đều đặn ít nhất 2 lần mỗi ngày bằng các loại bàn chải có đầu lông mềm nhằm không gây ảnh hưởng đến răng. Đồng thời kết hợp sử dụng tăm nước và chỉ nha khoa để làm sạch răng miệng hơn.
Hạn chế tình trạng nghiến răng trong khi ngủ để không làm cho răng sứ bị mòn hoặc vỡ.
Yếu tố quan trọng quyết định đến sự thành bại của một ca trồng răng sứ răng cửa là tay nghề bác sĩ, chất lượng thiết bị, máy móc và vật liệu sử dụng tại nha khoa. Có không ít ca điều trị gặp phải các tình trạng bị hở, bị kênh cộm hay bị đau nhức răng do thực hiện sai kỹ thuật, mài răng sai với tỉ lệ chuẩn. Do đó, để tránh xa những rủi ro không mong muốn thì bạn hãy tìm kiếm cho mình một nha khoa uy tín, chất lượng cao về bọc răng sứ.



