Hiện nay, viêm lợi răng hàm khá phổ biến vì có rất nhiều người đang trong tình trạng này. Nhưng rất ít người biết viêm lợi răng hàm là do đâu? Nên chữa trị bằng cách nào để mau khỏi? Muốn biết thì hãy đọc bài viết chi tiết bên dưới đây nhé!
Nguyên nhân gây viêm lợi răng hàm
Có rất nhiều nguyên nhân dẫn đến tình trạng viêm lợi răng hàm, phổ biến nhất là:
Mọc răng khôn
Hiện tượng răng khôn mọc lệch, mọc ngầm cũng khiến lợi bị sưng, viêm và đau nhức. Đối với trường hợp răng khôn mọc thẳng, mới nhú được một phần ra khỏi nướu cũng tạo thành hiện tượng mô nướu mở. Khi này vi khuẩn sẽ xâm nhập vào và gây hiện tượng đau nhức hoặc sưng viêm.
Thói quen xấu hằng ngày
Trong trường hợp các bạn có thói quen hay dùng tăm xỉa răng, ăn đồ cay sẽ khiến nướu răng bị kích thích dẫn đến tổn thương. Những người thường xuyên hút thuốc lá, dùng bàn chải cứng, đánh mạnh tay cũng là nguyên nhân làm viêm lợi răng hàm.

Nguyên nhân gây viêm lợi răng hàm
Bệnh lý về răng miệng
Nếu bị sâu răng nhưng không sớm điều trị để vùng sâu lan rộng, ăn sâu vào tủy cũng làm đau nhức và sưng viêm. Phụ nữ trong thời kỳ kinh nguyệt, thai nghén hoặc mãn kinh cũng dễ bị viêm lợi răng hàm.
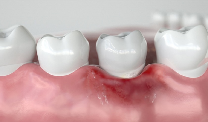
Triệu chứng của viêm lợi răng hàm như thế nào?
- Lợi sẽ có màu đỏ đậm, giống như sung huyết, ấn thấy đau, mềm hoặc sưng phồng
- Dễ bị chảy máu chân răng khi vệ sinh răng miệng hằng ngày
- Bị tụt lợi khiến răng có vẻ dài hơn
- Xuất hiện tình trạng hôi miệng và hơi thở có mùi
Biến chứng nguy hiểm khi bị viêm lợi răng hàm
Nhiều người thường có tâm lý chủ quan là lợi sưng sẽ tự khỏi mà không cần phải dùng bất kỳ phương pháp điều trị nào. Thật ra, điều này chỉ đúng đối với những trường hợp sưng lợi răng hàm xuất phát từ thói quen ăn uống. Khi nào bạn thay đổi thực đơn ăn uống thì mới có thể chấm dứt được tình trạng sưng lợi.
Hầu hết các trường hợp viêm lợi răng hàm nếu để lâu sẽ khiến bệnh càng trở nên nghiêm trọng. Đầu tiên là sẽ làm ảnh hưởng đến quá trình ăn nhai, lợi sưng khiến bạn gặp khó khăn trong việc nghiền nát thức ăn, thời gian lâu còn tăng nguy cơ bị bệnh về đường tiêu hóa.

Biến chứng nguy hiểm khi bị viêm lợi răng hàm
Tình trạng này còn gây tình trạng đau nhức, hôi miệng, khiến việc sinh hoạt và giao tiếp hằng ngày của bạn bị ảnh hưởng khá nhiều. Bạn sẽ không còn tự tin khi nói chuyện trước đám đông hoặc bạn bè.
Quan trọng hơn hết chính là nướu răng, một trong những bộ phận dùng để cố định chân răng. Một khi nướu không khỏe mạnh, dễ bị tổn thương thì chân răng cũng dễ bị lung lay, thậm chí là rụng mất. Ngoài ra sưng lợi còn là nguyên nhân chính dẫn đến một loạt các vấn đề về bệnh lý nguy hiểm như: tiêu xương hàm, tiểu đường, nhiễm trùng, sinh non hoặc đột quỵ,…
Chữa viêm lợi răng hàm tại nhà
Sưng lợi kéo dài vừa gây ra nhiều biến chứng mà còn làm ảnh hưởng rất lớn đến cuộc sống và sinh hoạt hằng ngày. Trong trường hợp bạn không thể đến gặp bác sĩ thì có thể áp dụng một số biện pháp dưới đây để làm suy giảm những triệu chứng đã nêu ở trên.
Giảm đau bằng cách súc miệng với nước muối sinh lý
Muối có tính sát khuẩn vô cùng cao, cho nên việc sử dụng nước muối sinh lý để súc miệng khoảng hai lần mỗi ngày có thể giúp bạn loại bỏ hoàn toàn vi khuẩn, vụn thức ăn và các chất có thể làm dị ứng trong khoang miệng. Khi đó hiện tượng sưng đau do bị viêm sẽ giảm thiểu một cách rõ rệt.
Trị sưng lợi tại nhà bằng mật ong
Đầu tiên, bạn hãy dùng tăm bông thấm một ít mật ong rồi bôi trực tiếp lên vị trí lợi đang bị sưng. Cách này vừa giúp giảm đau lại còn hỗ trợ cực tốt trong việc làm lành vết thương nhanh chóng. Vì bên trong mật ong có đặc tính kháng khuẩn và chống viêm khá cao.
Phương pháp chữa viêm lợi tại nha khoa
Tại nha khoa Nhân Tâm, các bác sĩ sẽ tiến hành thăm khám và xác định nguyên nhân khiến lợi răng hàm của bạn bị sưng. Sau đó bác sĩ sẽ cứ vào kết quả thăm khám và lập ra kế hoạch điều trị phù hợp tùy theo tình trạng răng miệng của từng người. Sau đây là quy trình điều trị viêm lợi răng hàm tiêu chuẩn gồm 4 bước sau:
Bước 1: Thăm khám và xác định vị trí viêm
Các bác sĩ sẽ bắt đầu thăm khám tại chỗ rồi đưa ra kết luận tổng quát về tình trạng răng miệng cho bạn. Nói rõ tác nhân gây sưng lợi là gì, sau đó bác sĩ sẽ dựa vào kết quả của quá trình thăm khám và tư vấn cho mọi người những phương pháp điều trị phù hợp nhất.
Bước 2: Vệ sinh miệng trước khi điều trị
Bác sĩ sẽ hướng dẫn các bạn súc miệng bằng dung dịch chuyên dụng của nha khoa. Trong trường hợp bạn đang có cao răng thì họ sẽ tiến hành cạo sạch trước. Mục đích của thao tác này là để không bị hiện tượng lây lan và nhiễm trùng chéo trong quá trình điều trị.

Phương pháp chữa viêm lợi tại nha khoa
Bước 3: Bắt đầu điều trị
Nếu lợi của bạn bị sưng do phản ứng viêm, các bác sĩ sẽ cạo vôi răng trước, kết hợp với các biện pháp điều trị chuyên sâu khác để hỗ trợ cho việc phục hồi và tái tạo lại mô lợi.
Trường hợp bệnh đã hình thành viêm nha chu thì bác sĩ sẽ áp dụng kỹ thuật điều trị viêm nha chu. Đa phần các trường hợp đều phải kết hợp thêm các kỹ thuật nha khoa phức tạp khác như rạch áp xe, nạo nang hoặc mổ khối u… Nếu lợi bị sưng do mọc răng khôn thì bạn cần nhổ răng, đây là điều cần thiết để các bạn giảm đau đớn và ngăn ngừa các biến chứng sau này.
Bước 4: Kiểm tra sau khi hoàn tất
Sau khi điều trị xong, các bác sĩ sẽ kiểm tra lại để đảm bảo đã loại bỏ tất cả các tác nhân và nguy cơ làm sưng lợi răng hàm. Các bạn phải đến nha khoa để cạo vôi răng định kỳ và theo dõi tình trạng răng miệng thật kỹ.
Viêm lợi răng hàm dù không quá nguy hiểm nhưng nếu không điều trị sớm sẽ gây ra nhiều biến chứng khác. Ngay khi bạn bắt đầu có những dấu hiệu của sưng lợi thì hãy đến nha khoa Nhân Tâm để được thăm khám ngay nhé!



