Dán răng sứ veneer là phương pháp phục hình thẩm mỹ cho răng mà không gây ảnh hưởng nhiều đến răng thật và được rất nhiều người ưa chuộng. Tuy nhiên, không phải trường hợp nào cũng được bác sĩ chỉ định dán sứ Veneer mà cần phải được thăm khám trực tiếp và có sự tư vấn từ bác sĩ có chuyên môn, giàu kinh nghiệm.
Trường hợp cần thực hiện dán răng sứ veneer
Đối tượng chỉ định
Dán răng sứ Veneer được khuyến cáo áp dụng trong những trường hợp như:
– Răng mòn, chân răng bị ngắn.
– Răng bị chấn thương và sứt mẻ ở mức độ nhẹ.
– Răng thưa, có khe hở giữa các răng.
– Răng hơi lệch, có hình dạng bất thường hoặc phát triển không đồng đều
– Răng bị đổi màu, ố vàng do sử dụng kháng sinh, hút thuốc hoặc từng tẩy trắng răng nhưng không có hiệu quả.
Đối tượng chống chỉ định
Phương pháp này sẽ không phù hợp với những trường hợp sau:
– Bị viêm nha chu.
– Răng mọc lệch hoặc khớp cắn bị sai ở mức độ nặng.
– Răng bị sâu hoặc đã từng thực hiện chữa tủy.
Yếu tố ảnh hưởng đến tuổi thọ của răng sứ veneer
Dán răng sứ veneer là một phương pháp thẩm mỹ răng hiệu quả, nhưng không phải thực hiện ở bất cứ cơ sở nha khoa nào cũng đều đạt được chất lượng như nhau. Tuổi thọ của dán sứ veneer sẽ phụ thuộc vào các yếu tố như:
Chất lượng của miếng dán sứ
Tại các địa chỉ nha khoa lớn và chất lượng, miếng dán sứ sẽ được nhập khẩu từ các nước có nền nha khoa hàng đầu. Miếng dán sứ kém chất lượng sẽ có nguy cơ gây hại cho răng như khiến răng bị nứt vỡ, nhiễm màu hoặc dễ bong tróc…. Ngoài ra, bạn còn dễ mắc phải các bệnh lý răng miệng như sâu răng, viêm nha chu, hôi miệng,… và thậm chí là mất răng.

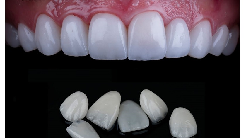
Miếng dán sứ veneer
Kỹ thuật chuyên môn của người thực hiện
Để miếng dán sứ đạt được hiệu quả cần phải tính toán cụ thể cần mài răng bao nhiêu, loại răng sứ nào phù hợp, dán lên như thế nào nào… Chính vì vậy, dán răng sứ cần phải được thực hiện bởi bác sĩ có tay nghề cao và đã có nhiều năm kinh nghiệm thực hiện phương pháp này.
Hệ thống trang thiết bị hỗ trợ
Khi thực hiện dán sứ, hệ thống trang thiết bị hỗ trợ là yếu tố có ảnh hưởng lớn đến độ bền của miếng sứ. Nếu các thiết bị không đủ hiện đại, cơ sở vật chất không được đảm bảo vệ sinh sạch sẽ và vô trùng, khả năng cao bạn sẽ bị nhiễm khuẩn và mắc các bệnh lý về răng miệng.
Ưu điểm của phương pháp dán sứ veneer là gì?
Tính thẩm mỹ cao
Thay vì sở hữu hàm răng bị ố vàng và luôn cảm thấy tự ti, bạn sẽ được thay đổi diện mạo khi sở hữu hàm răng trắng sáng tự nhiên sau khi dán răng sứ veneer. Mặt dán sứ có độ trong, bóng, tự nhiên như răng thật.
Độ bền cao
Với miếng dán nhập khẩu có nguồn gốc rõ ràng sẽ có độ bền cao, trung bình khoảng 10 – 15 năm và được bảo hành (nếu thực hiện ở các cơ sở phòng khám nha khoa uy tín). Vì vậy, bạn hoàn toàn có thể hoàn toàn yên tâm khi sử dụng.
Không ảnh hưởng đến răng thật
Dán sứ không gây tác động quá nhiều và gây tổn hại đến răng thật nên được rất nhiều khách hàng lựa chọn thực hiện. Ngoài ra, dán sứ veneer còn được kiểm chứng không gây tình trạng chết tủy và rất ít trường hợp phải chữa tủy.
Chức năng ăn nhai không bị ảnh hưởng
Phương pháp này chỉ tác động đến mặt ngoài của răng nên việc ăn uống hàng ngày của bạn sẽ không bị ảnh hưởng.

Ưu điểm của dán răng sứ veneer
Quá trình dán răng sứ
Thăm khám tổng quát
Bác sĩ tiến hành kiểm tra tổng quát răng miệng và chụp X-quang, kiểm tra xem bạn có phù hợp để dán sứ Veneer không. Nếu có bệnh lý thì cần phải thực hiện điều trị bệnh lý trước khi dán sứ.
Mài răng
Để chuẩn bị cho quá trình làm răng, bác sĩ cần mài bỏ men răng ở mặt trước của răng để tạo điều kiện thuận lợi cho quá trình dán sứ.
Lấy dấu hàm và chọn màu răng
Để biết được kích thước các răng cần dán sứ, bác sĩ sẽ lấy dấu hàm bằng công nghệ 3Shape 3D, sau đó sẽ chọn màu sắc răng tương đồng với với màu răng hiện tại của khách hàng.
Tạo hình mô phỏng veneer
Mẫu hàm sẽ được gửi đến phòng Labo để mô phỏng hình ảnh trên phần mềm 3D và được chế tạo bằng công nghệ CAD/CAM.
Dán veneer
Sau khi veneer được gửi về, bác sĩ sẽ hẹn lịch đặt thử và điều chỉnh sao cho miếng dán phù hợp và không gây khó chịu cho khách hàng. Sau khi đã hoàn tất, bề mặt răng cũng như khoang miệng sẽ được làm sạch và tiến hành dán sứ.
Chăm sóc răng sau khi dán sứ
Chăm sóc răng miệng
– Đánh răng đúng cách và tối thiểu 2 lần/ngày.
– Sử dụng bàn chải có lông mềm và có kích thước phù hợp.
– Kết hợp thêm chỉ nha khoa, nước súc miệng chuyên dụng và tăm nước (nếu có)….
– Thăm khám nha khoa định kỳ mỗi 3 – 6 tháng/lần để bác sĩ kiểm tra miếng dán veneer cũng như tình trạng răng miệng.

Chăm sóc răng miệng sau khi dán sứ
Chế độ ăn uống
– Loại bỏ thói quen hút thuốc lá.
– Hạn chế tối đa những thực phẩm, đồ uống đậm màu và có chất tạo màu.
– Hạn chế những đồ ăn ngọt, quá cứng, quá dai hoặc dùng răng để xé dẫn đến tổn thương.
– Chú ý nhai đều với 2 bên hàm, không dùng 1 hàm quá lâu.
Hy vọng bài viết trên đã giúp các bạn giải đáp được thắc mắc “Dán răng sứ veneer là gì?”. Việc tìm hiểu kỹ lưỡng các phương pháp thẩm mỹ răng sẽ giúp bạn chuẩn bị tốt cho quá trình thực hiện cũng như có được chế độ chăm sóc toàn diện cho răng miệng.




